Procvičování:Histologie/Kůže II

Z WikiSkript

1 Jaká je hlavní funkce kožních Langerhansových buněk?

Epidermální bazální buňky
Antigen prezentující buňky
Mechanoreceptory
Termoreceptory

2 Jaký typ buněčného spojení spojuje keratinocyty s epidermální bazální membránou?

Tight junction
Hemidesmozomy
Gap junction
Desmozomy

3 Do jaké skupiny proteinů patří základní proteiny tonofilament patrných v keratinocytech?

Vimentiny
Keratiny
Desminy
Aktiny

4 Která vrstva epidermis je charakterizována přítomností keratohyalinních granul?

Stratum lucidum
Stratum granulosum
Stratum spinosum
Stratum basale

5 Lamelární tělíska keratinocytů jsou bohatá na jeden typ organických molekul. Jaký?

Nukleové kyseliny
Oligosacharidy
Polysacharidy
Lipidy

6 Jaká aminokyselina je výchozí materiál pro syntézu melaninu v melanocytech?

Tyrosin
Arginin
Prolin
Lysin

7 Jaký typ tkáně tvoří stratum reticulare dermis?

Husté neuspořádané kolagenní vazivo
Husté uspořádané kolagenní vazivo
Řídké kolagenní vazivo
Retikulární vazivo

8 Jaký typ sekrece je vlastní mazovým žlázám?

Holokrinní
Merokrinní
Endokrinní
Apokrinní

9 Ve které z níže uvedených lokalit se vyskytují mazové žlázy asociované s vlasovými folikuly?

Regio hypochondriaca
Prsní bradavka
Červeň rtu
Penis

10 Jaký typ žlázy je běžná potní žláza?

Jednoduchá stočená tubulární žláza
Jednoduchá stočení acinární žláza
Složená tubulární žláza
Složená acinární žláza

11 Jaká struktura je označena zeleně na preparátu kůže (hematoxylin eosin)?

Kuze potni.png

Vývod aromatické žlázy
Vývod mazové žlázy
Vývod potní žlázy
Vlasový folikul

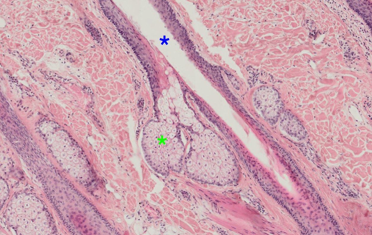
12 Na snímku je detail tenkého typu kůže (hematoxylin eosin). Zelenou hvězdičkou je označená mazová žláza. Co je označeno modrou hvězdičkou?

Kuze mazova.png

Vývod mazové žlázy
Vývod potní žlázy
Vlasový folikul
Artefakt

13 Který z níže uvedených popisů se nejlépe hodí na preparát na snímku?

Klidova mlecna zlaza.png

Neúplná láza představená pouze vývody s ojedninělými alveoly zanořená do tukové tkáně
Neúplná láza představená pouze vývody s ojedninělými alveoly zanořená do vaziva
Bohatě větvená tuboalveolární žláza zanořená do tukové tkáně
Bohatě větvená tuboalveolární žláza zanořená do vaziva

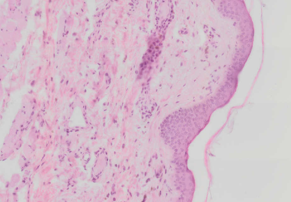
14 Na snímku je tenký typ kůže barvený hematoxylinem eosinem. Co je tenká eosinofilní linie probíhající nad epitelem v pravé části preparátu?

Kuze tenky typ.png

Zbytek oděvu, který zůstal na těle při příliš rychlém zpracování preparátu
Kompletní stratum corneum, u tenkého typu kůže jde jen o vrstvu 2-4 buněk
Nekompletní stratum corneum, při zpracovnání často velká část odpadne
Artefakt z barvení