Jícen / Esophagus - HE
From WikiSkripta
< Jícen
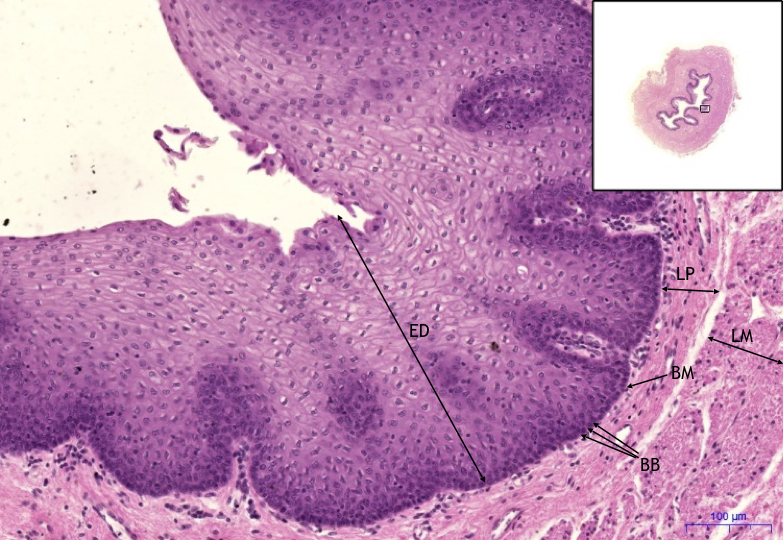
Jícen/Esophagus, HE 11,2x
Vrstevnatý dlaždicový epitel nerohovějící / Stratified squamous non-keratinized epithelium
- ED – dlaždicový epitel/squamous epithelium
- BM – bazální membrána/ basement membrane
- BB – bazální vrstva buněk / basal layer of cells
- LP – lamina propria
- LM – lamina muscularis
- Další příklady / Other examples:
Dutina ústní / oral cavity, hrtan/larynx, pochva/vagina (34)
| Navigace: Epitely / Epithelial tissue | ||||
|---|---|---|---|---|
| ← Preparát č. 8 | | | Seznam preparátů | | | Preparát č. 10 → |
Jícen/Esophagus, HE 0,5x
Jícen/Esophagus.
Jícen/Esophagus, HE 2x
Jícen/Esophagus:
- 1) TM – tunica mucosa
- 2) ED – vrstevnatý dlaždicový epitel / stratified squamous epithelium
- 3) LP – lamina propria
- 4) LPM – lamina propria mucosae
- 5) LM – lamina muscularis mucosae
- 6) TS – tunica submucosa
7) TME – tunica muscularis externa
- a) VC – vnitřní cirkulární vrstva / inner circular layer
- b) ZL – zevní longitudinální vrstva / outer longitudinal layer
- 4) TA – tunica adventitia
- pozn.: Krátký břišní úsek jícnu je pokryt serosou (tunica serosa). / note: Short abdominal part of esophagus is covered with serosa (tunica serosa).
Jícen/Esophagus, HE 5x
Jícen/Esophagus:
- 1) TM – tunica mucosa
- 2) ED – vrstevnatý dlaždicový epitel / stratified squamous epithelium
- 3) LP – lamina propria
- 4) LPM – lamina propria mucosae
- 5) LM – lamina muscularis mucosae
- 6) TS – tunica submucosa
7) TME – tunica muscularis externa
- a) VC – vnitřní cirkulární vrstva / inner circular layer
- b) ZL – zevní longitudinální vrstva / outer longitudinal layer
Jícen/Esophagus, HE 10x
Jícen/Esophagus:
- 1) TM – tunica mucosa
- 2) ED – vrstevnatý dlaždicový epitel / stratified squamous epithelium
- 3) LP – lamina propria
- 4) LPM – lamina propria mucosae
- 5) LM – lamina muscularis mucosae
- 6) TS – tunica submucosa
- a) MŽ – glandulae oesophageales (mucinózní) / esophageal glands (mucinous)
- b) V – vývod / excretory duct
| Navigace: Močový sestém / Urinary system | ||||
|---|---|---|---|---|
| ← Preparát Z8 | | | Seznam preparátů | | | Preparát Z10 → |

