Modul OZPP - Praktikum č. 10 (zoom)
Z WikiSkript
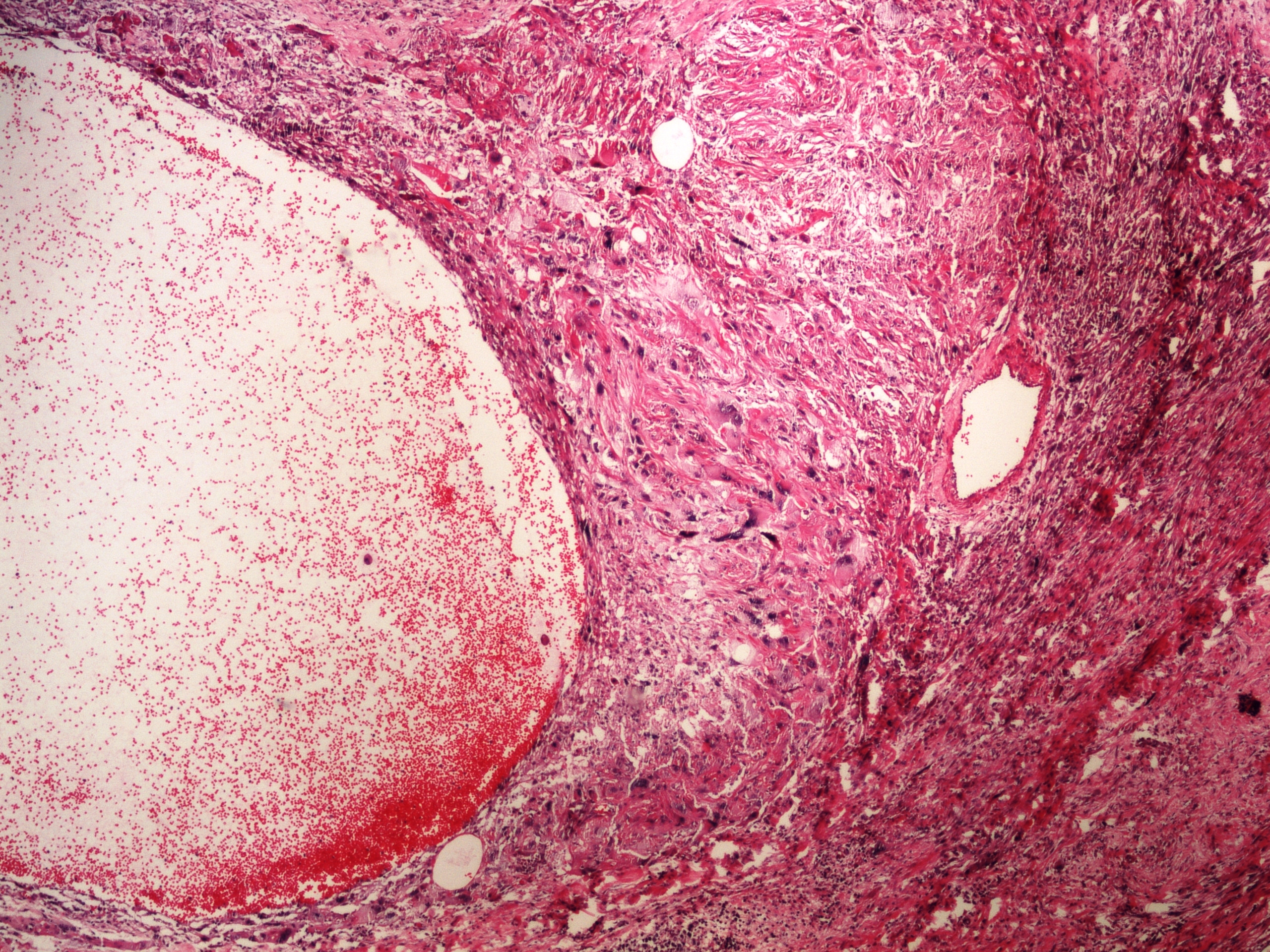
Preparát č.1 a č.2 - kavernósní hemangiom jater
Struktury
- hemangiom
- jaterní parenchym
- blandní epitelie - stěna hemangiomu
Preparát č.3 a č.4 - nádor z granulárních buněk
Struktury
- nádorová tkáň
- pseudoepiteliomatózní hyperplazie dlaždicového epitelu sliznice jícnu
- granulární cytoplazma nádorových buněk
Preparát č.5 a č.6 - leiomyom dělohy
Struktury
- vřetenité buňky
- doutníkovitá jádra
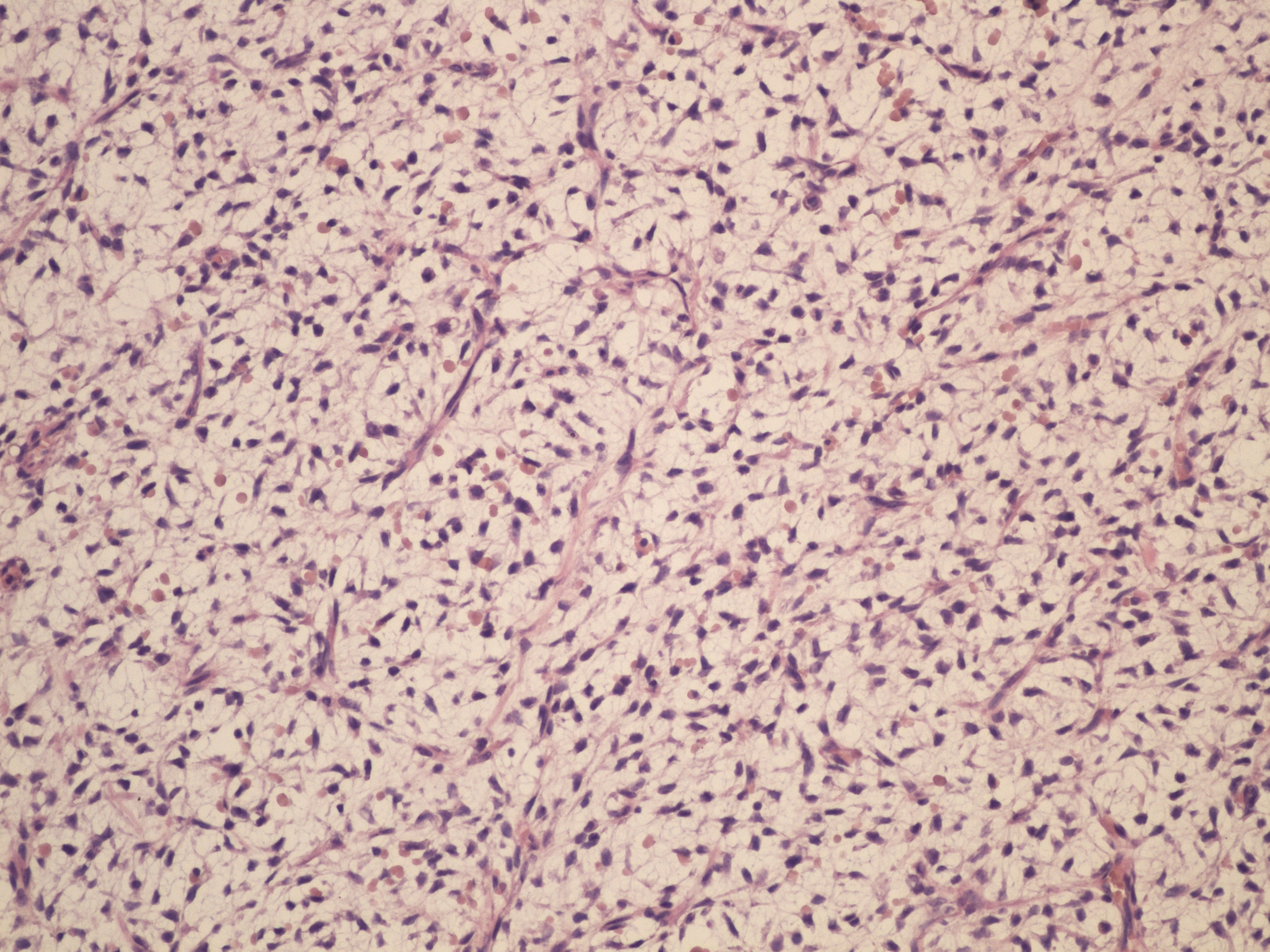
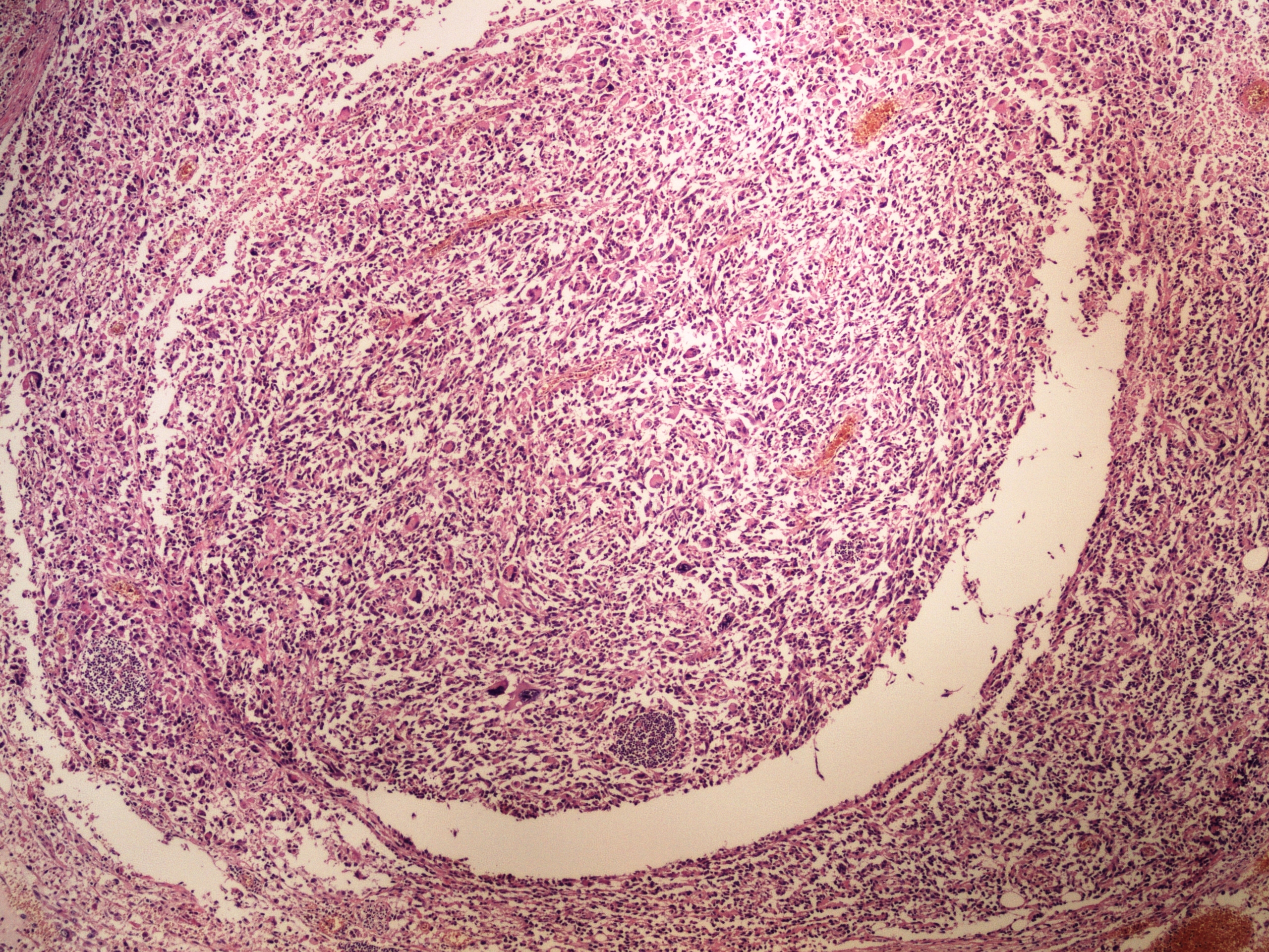
Preparát č.7 a č.8 - leiomyocelulární sarkom
Struktury
- vyšší buněčnost než u preparátu č. 5
- pravidelné mitózy
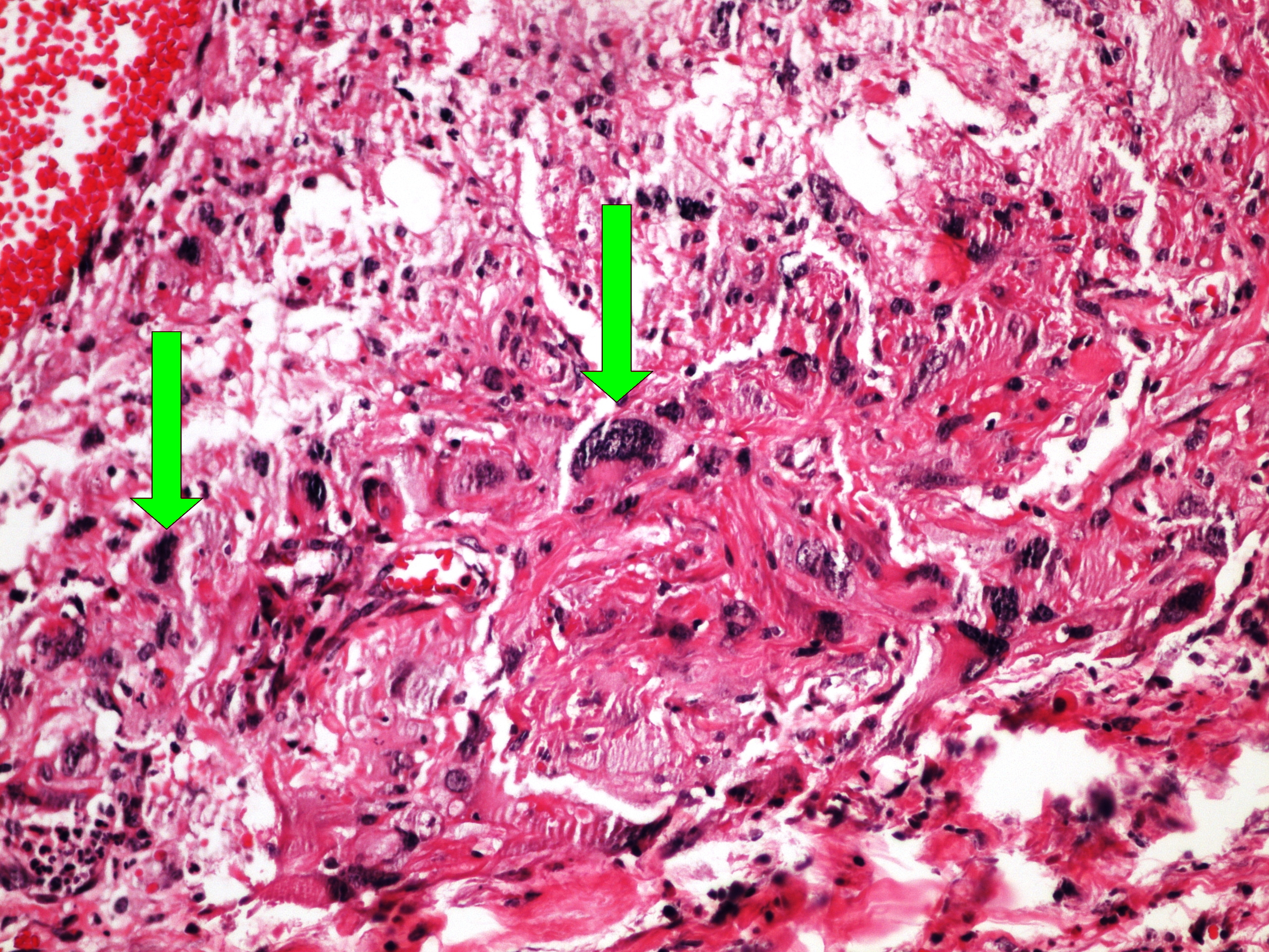
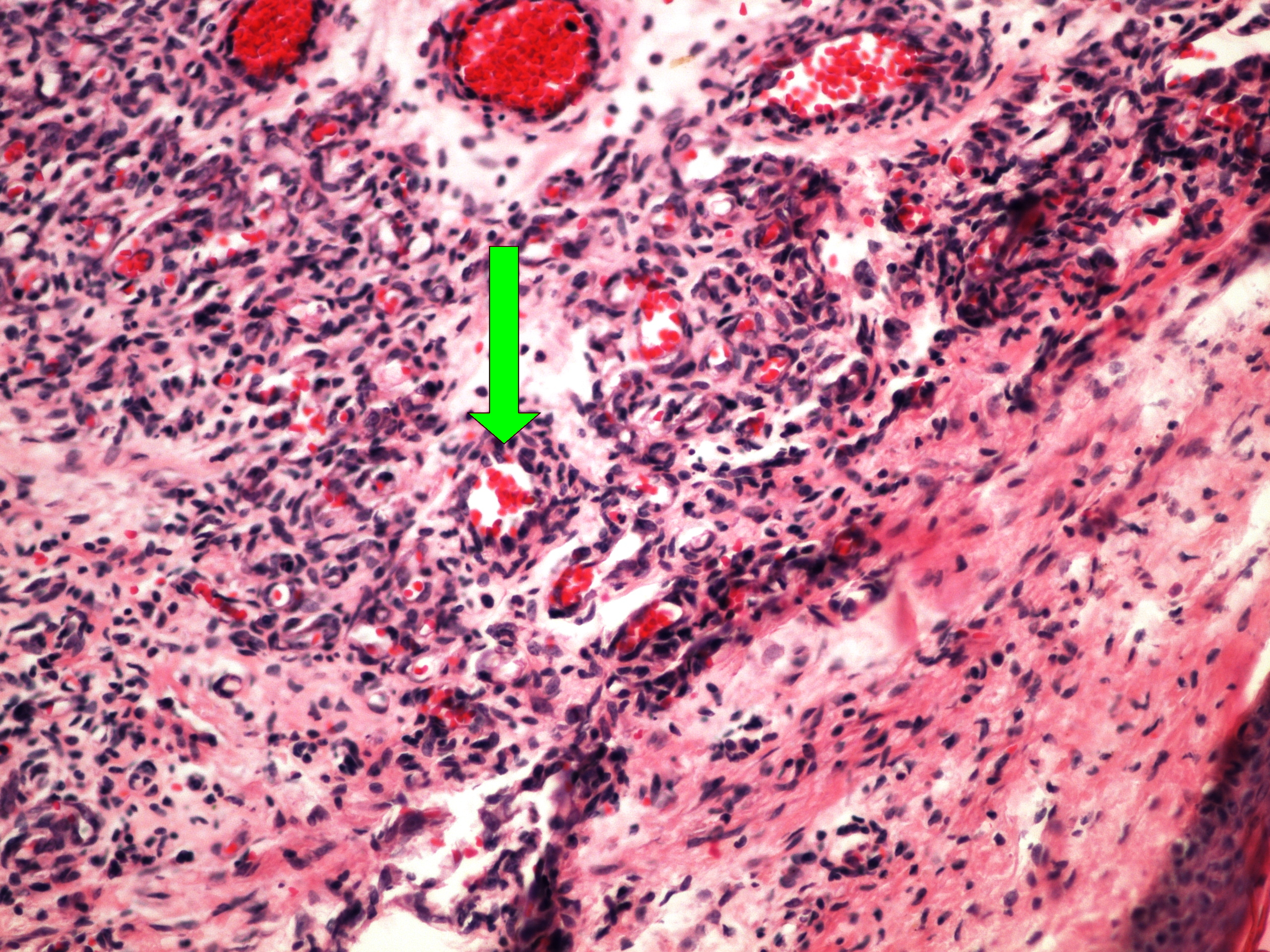
Preparát č.9 a č.10 - polymorfocelulární sarkom
Struktury
- atypické elementy rhabdomyoidnho vzhledu
- cytologické atypie
Preparát č.11 a č.12 - rhabdomyosarkom
Struktury
- atypické elementy
Preparát č.13 a č.14 - lipom
Struktury
- vyzrálá tuková tkáň
- jádro na periferii
Preparát č.15 a č.16 - liposarkom
Struktury
- vyšší buněčnost
- cytologické atypie
Preparát č.17 a č.18 - dermatofibrom
Struktury
- pseudoepiteliomatózní hyperplazie epidermis
- vlastní tumor
- storiformní uspořádání
Preparát č.19 a č.20 - kapilární hemangiom kůže
Struktury
- epidermis
- blandní endotelové výstelky cév
Preparát č.21 a č.22 - fibroxanthom
Struktury
- tumor
- epidermis
- jednojaderné nádorové buňky
- "floret cells"
Preparát č.23 - maligní fibrosní histiocytom
Odkazy
Modul Obecné základy patologie a patofyziologie (3. LF UK)
