Modul OZPP - Praktikum č. 11 (zoom)
Z WikiSkript
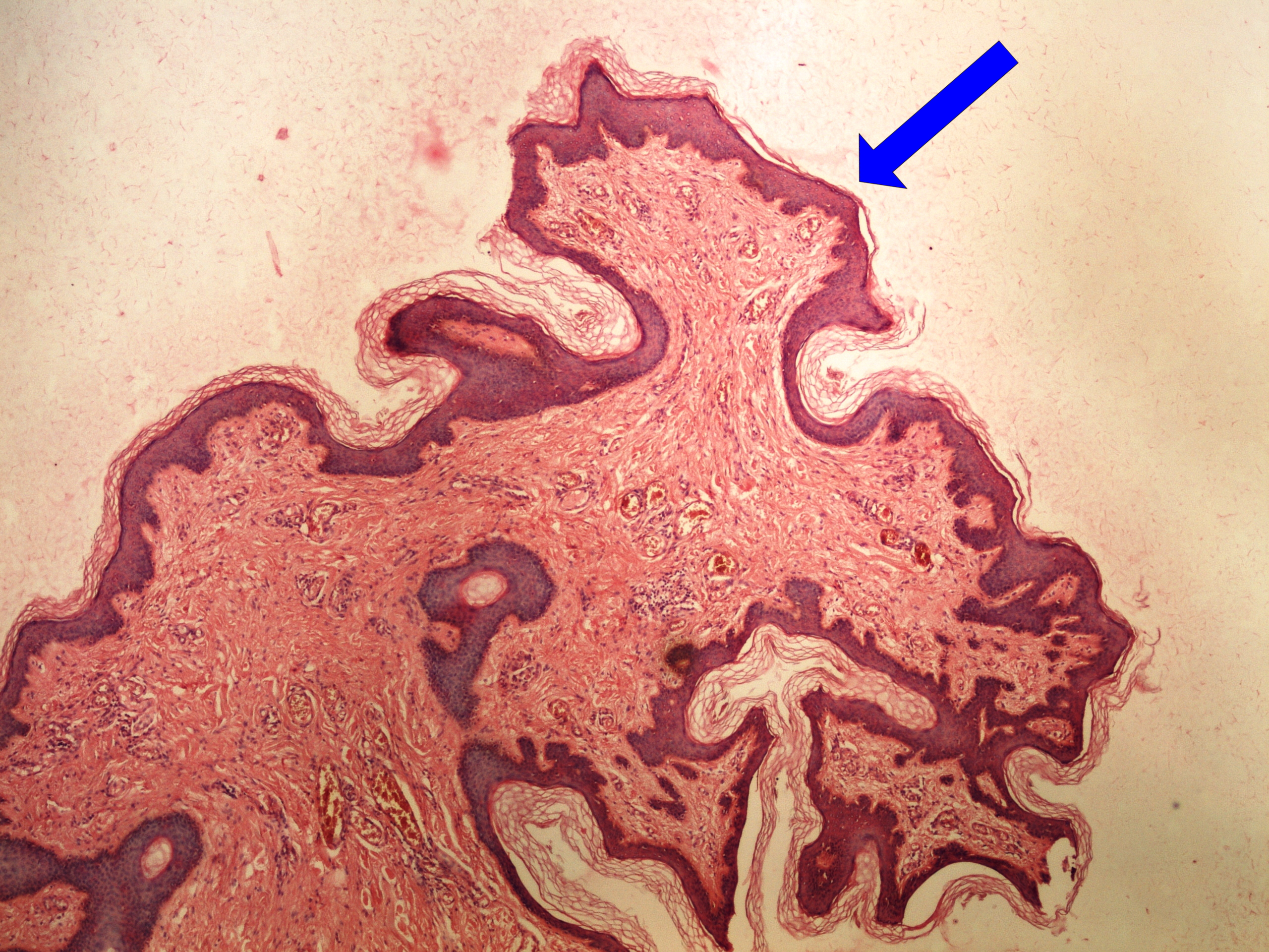
Preparát č.1 a č.2 - fibroepiteliální polyp
Struktury
- dlaždicový epitel blandního vzhledu
- blandní fibrózní stroma
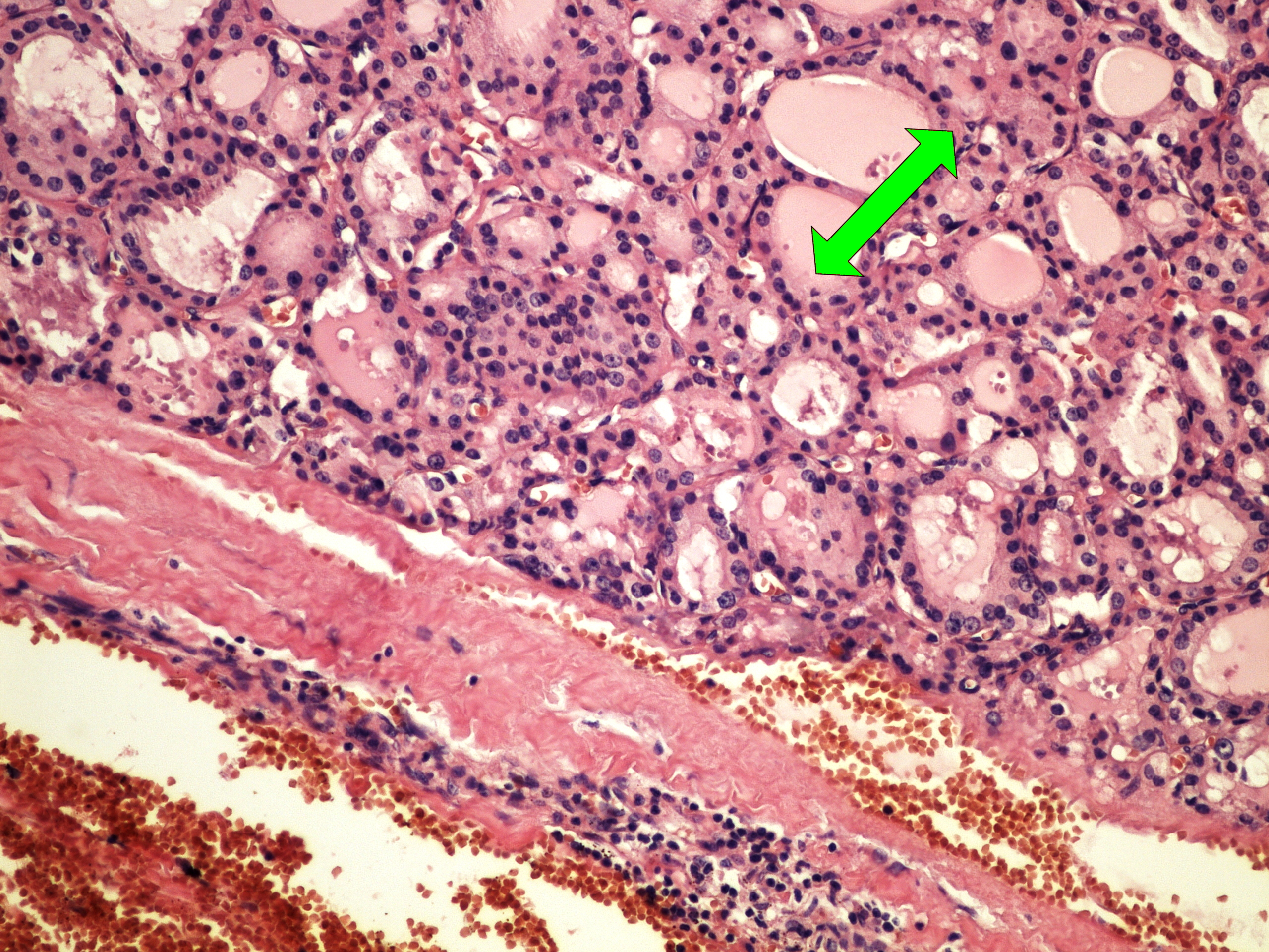
Preparát č.3 a č.4 - folikulární adenom štítné žlázy
Struktury
- tumor
- pouzdro
- ultačený parenchym štítné žlázy
- folikulární partie nádoru
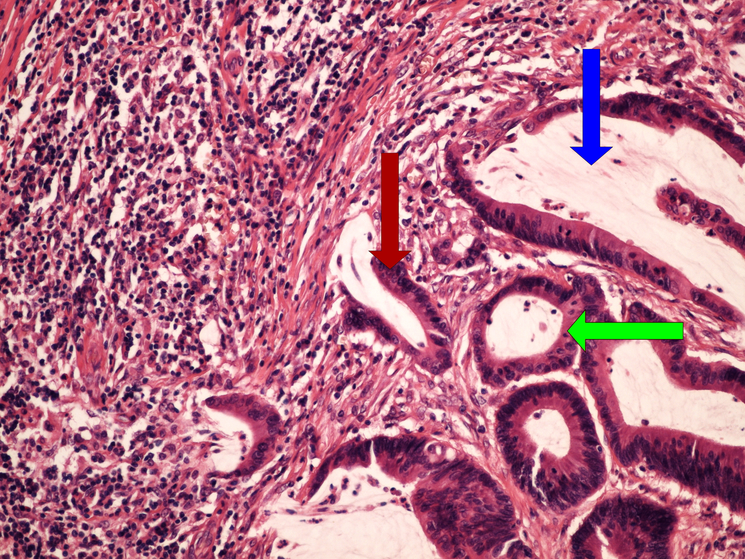
Preparát č.5 a č.6 - tubulární adenokarcinom
Struktury
- tumor
- invazivní čepy
- tubulární formace
Preparát č.7 a č.8 - solidní adenokarcinom
Struktury
- stroma nádoru
- tumor
- nekróza
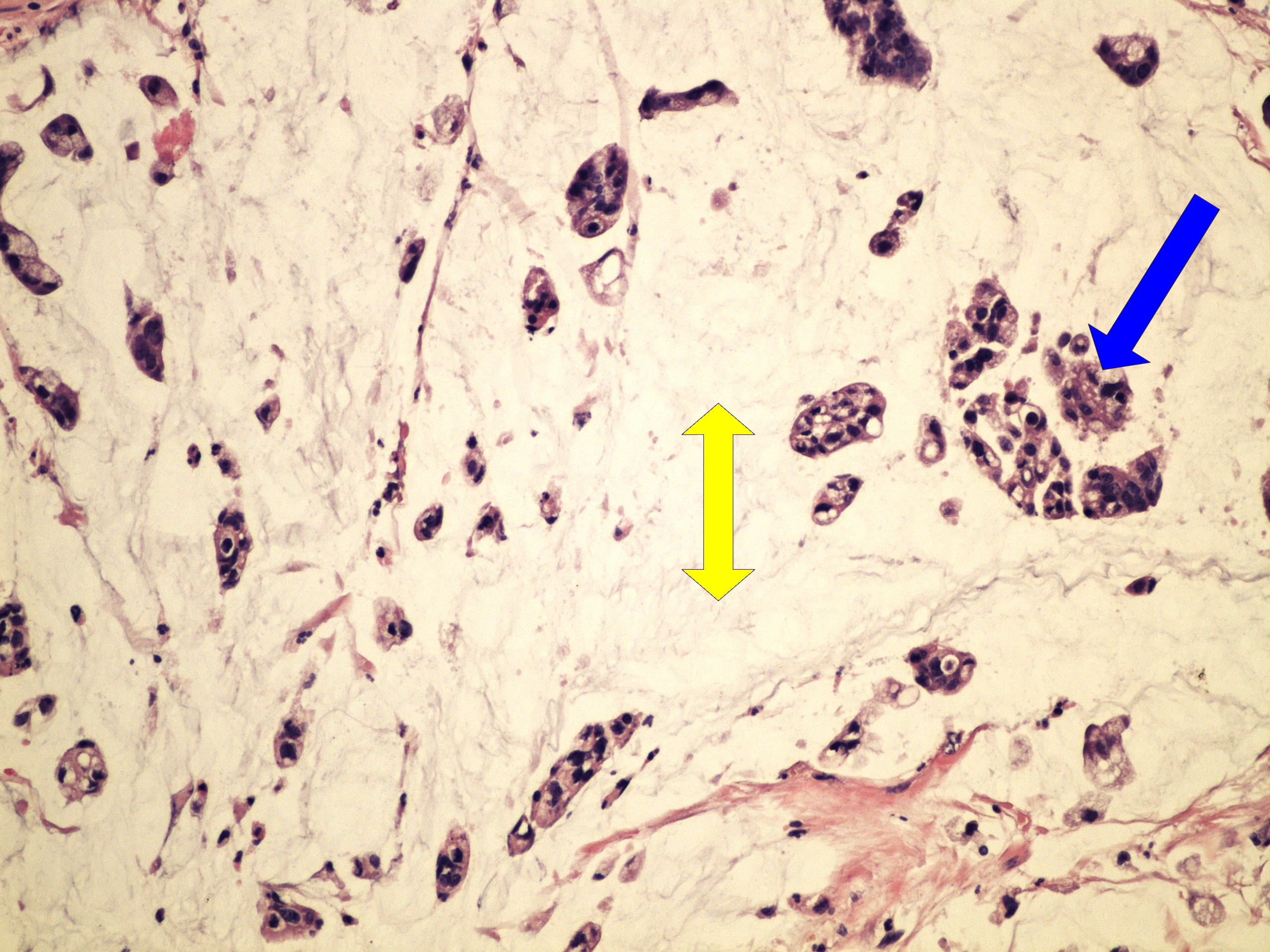
Preparát č.9 a č.10 - gelatinósní karcinom
Struktury
- nádor
- sliznice
- extracelulární hlenové hmoty
- nádorové buňky
Preparát č.11 a č.12 - difúsní adenokarcinom
Struktury
- difuzní infiltrace stěny
- sliznice
- nádorové buňky
Preparát č.13 a č.14 - hepatocelulární karcinom
Struktury
- nekróza
- tumor
- nádorový trámec
Preparát č.15 a č.16 - dlaždicový karcinom
Struktury
- nádorové čepy
- výrazná cytologická atypie
- monocelulární rohovění (syté partie)
Preparát č.17 a č.18 - basaliom
Struktury
- bazaliom; palisádování
- epidermis
- solidní čepy nádoru
Preparát č.19 a č.20 - uroteliální papilokarcinom
Struktury
- papila
- stroma
- atypické urotelie
Odkazy
Modul Obecné základy patologie a patofyziologie (3. LF UK)
