Modul OZPP - Praktikum č. 12 (zoom)
Z WikiSkript
Preparát č.1 a č.2 - astrocytom
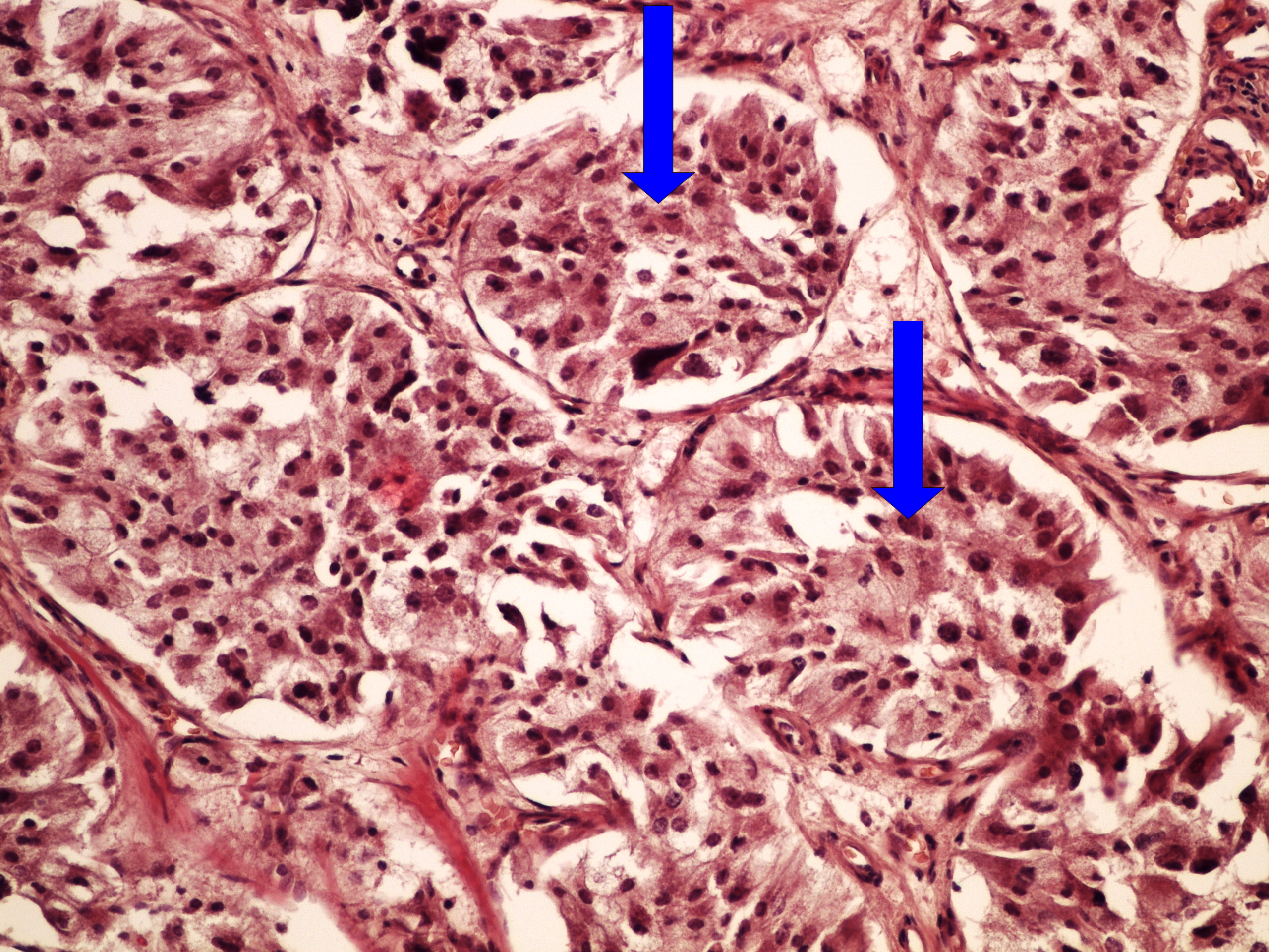
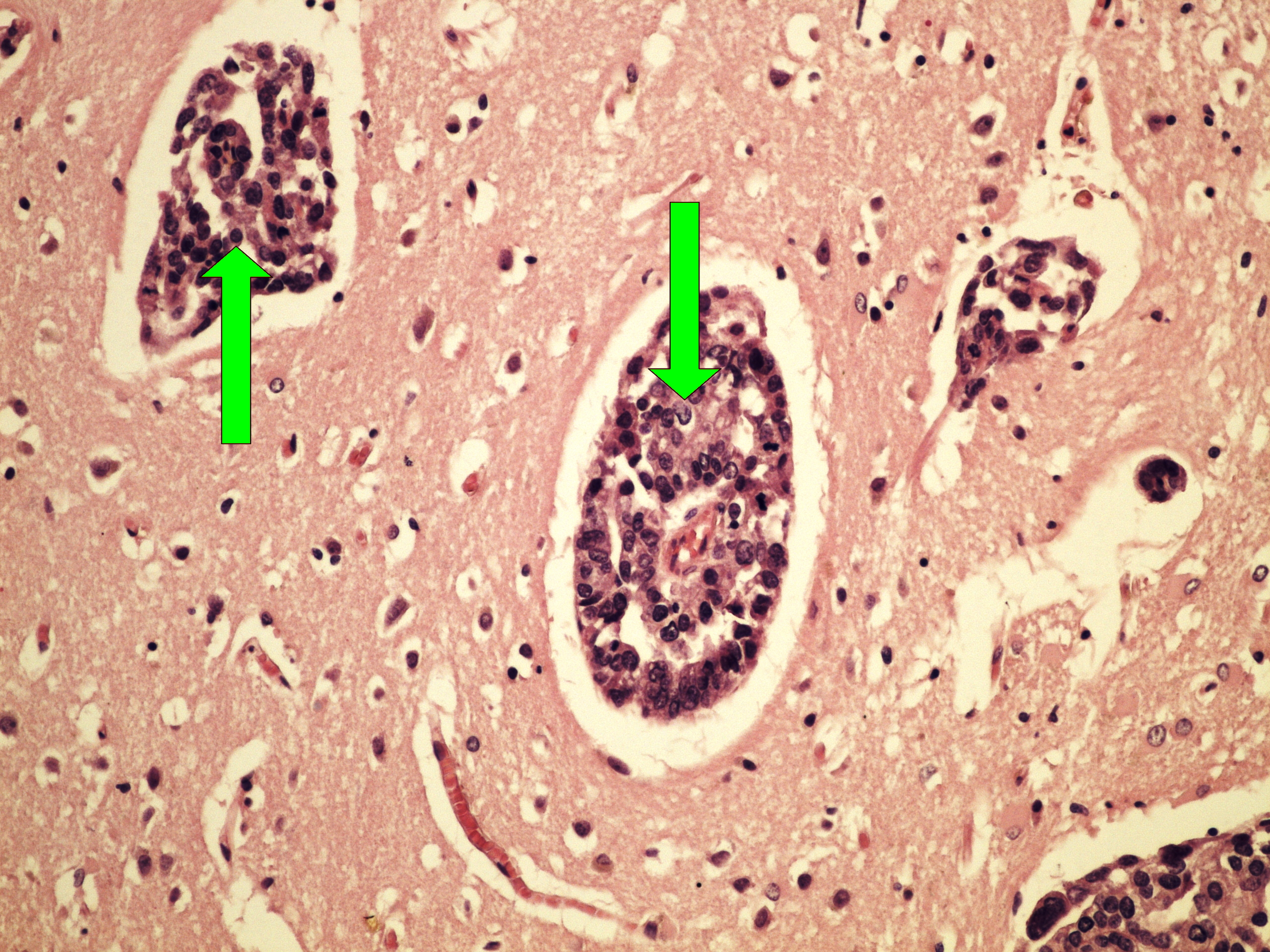
Preparát č.3 a č.4 - karcinosa mening
Struktury
- meningy
- nádorové epitelové čepy s atypiemi
Preparát č.5 a č.6 - ependymom
Struktury
- náznaky rozetovitých formací
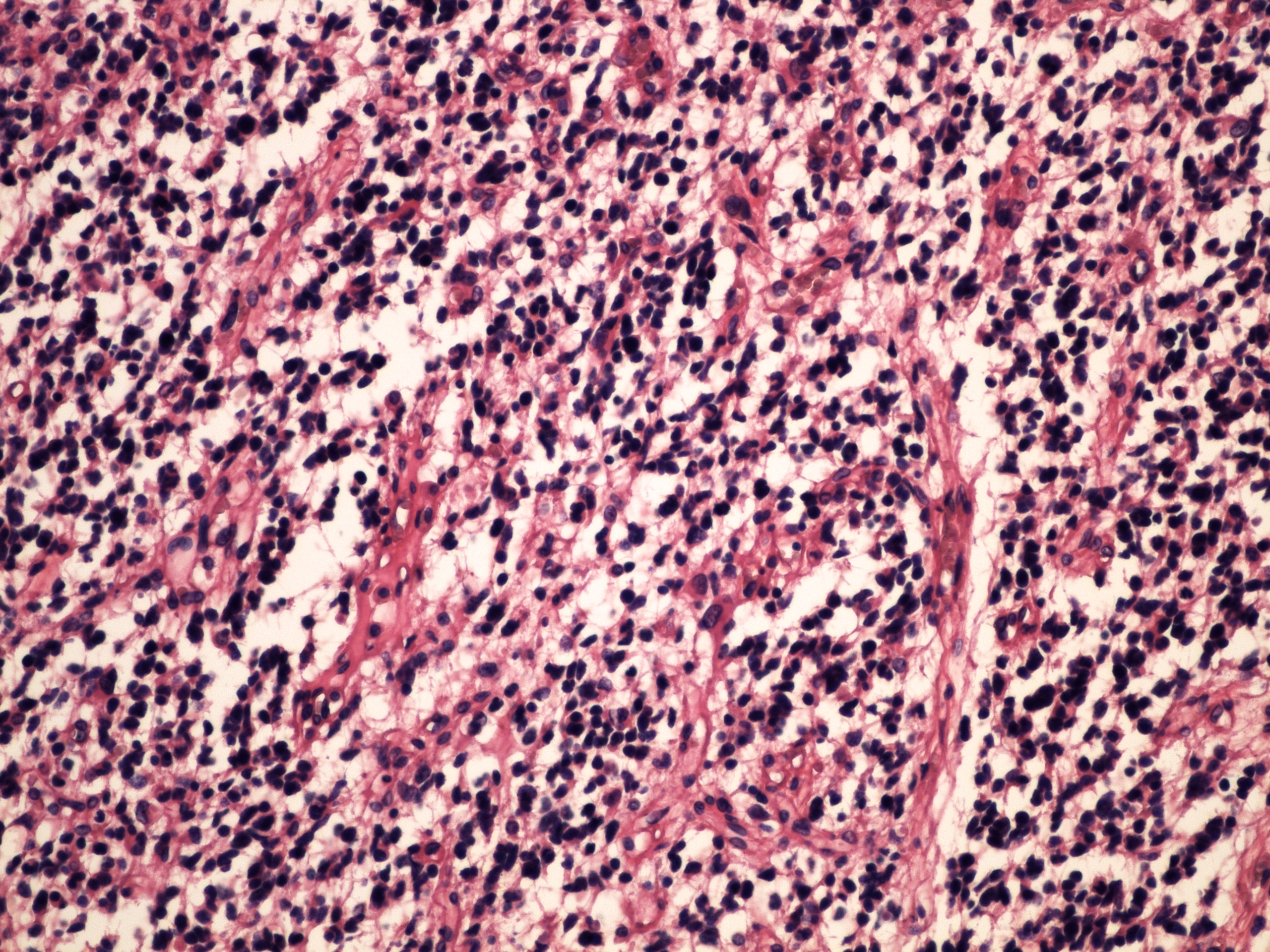
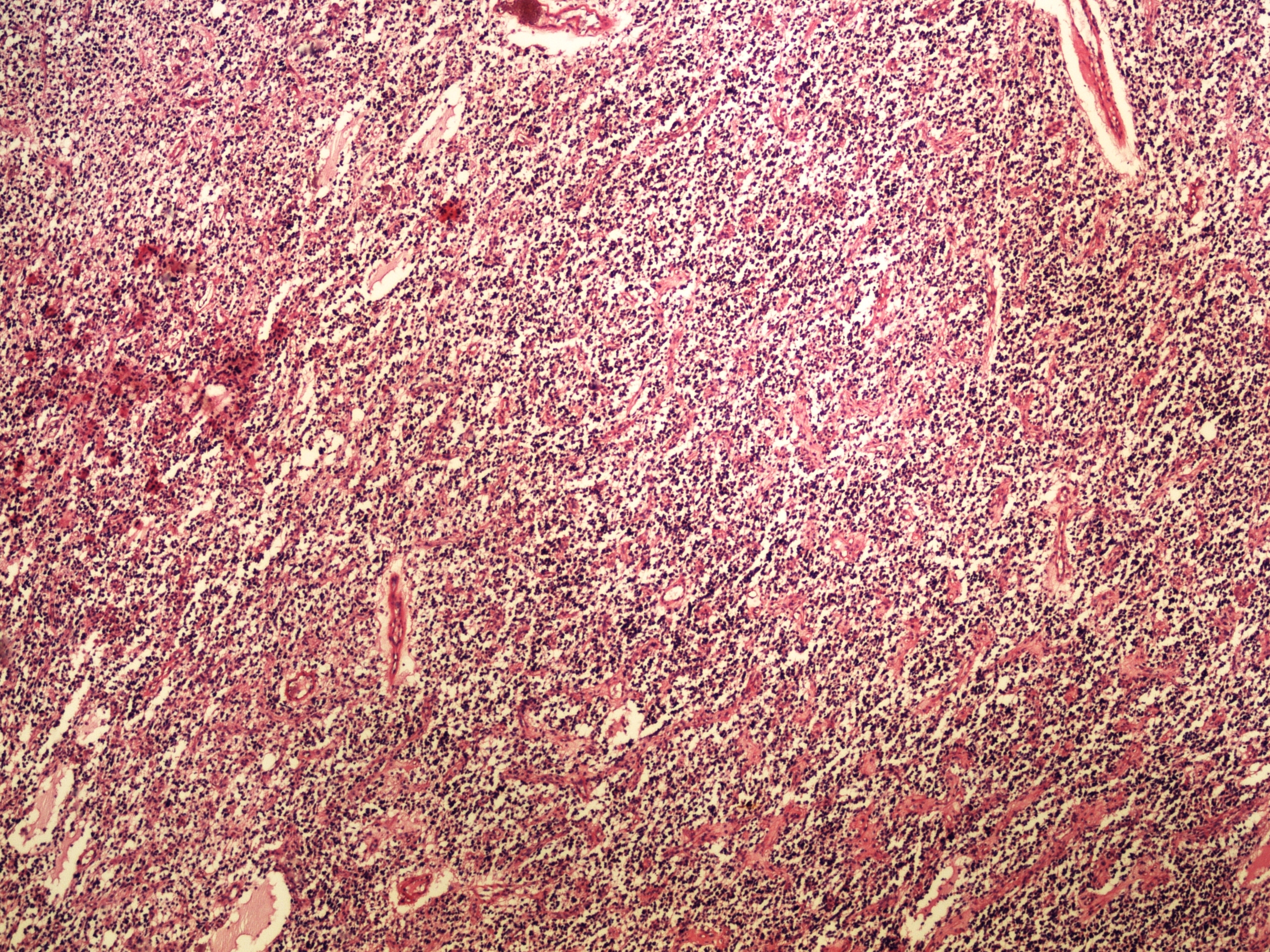
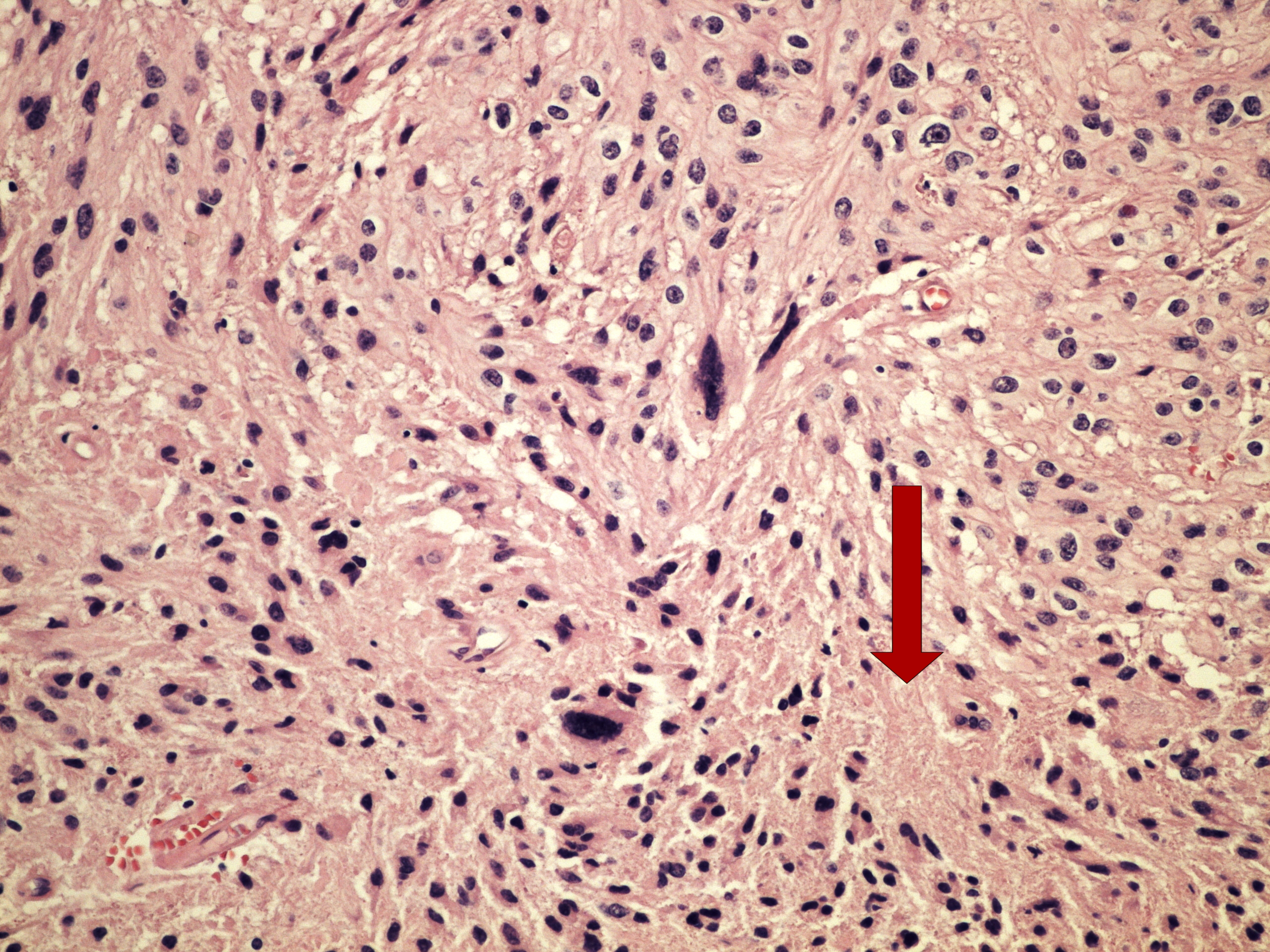
Preparát č.7 a č.8 - glioblastom
Struktury
- regresivní partie nádoru
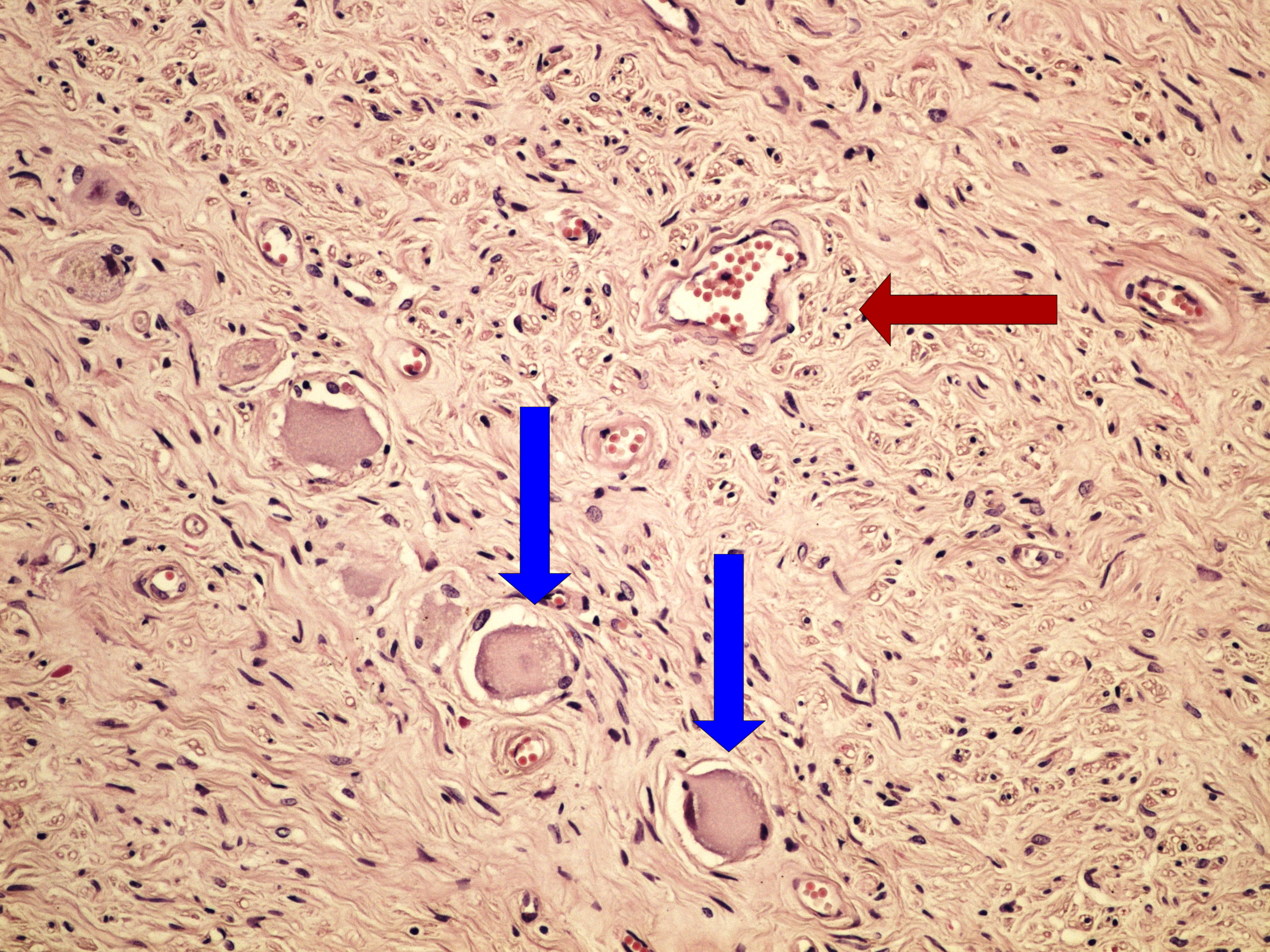
Preparát č.9 a č.10 - meningeom s psammomaty
Struktury
- psamomatózní tělíska
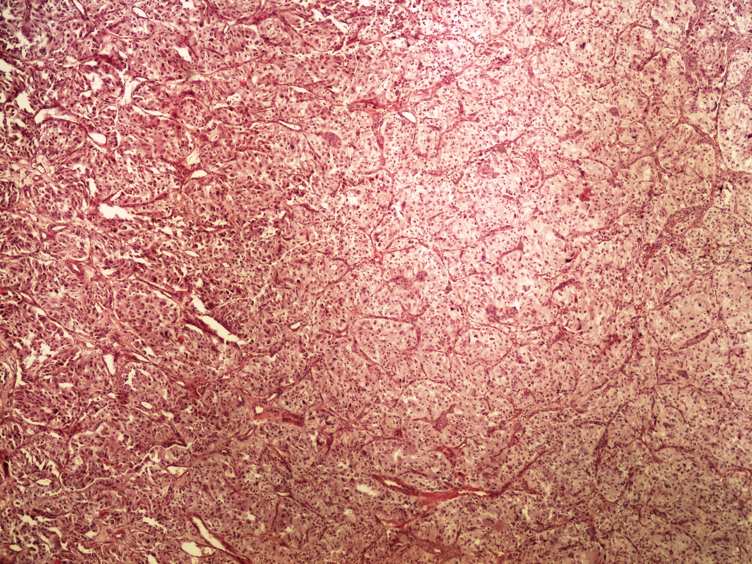
Preparát č.11 a č.12 - feochromocytom
Struktury
- čepy nádorových buněk
Preparát č.13 a č.14 - ganglioneurom
Struktury
- vřetenité buňky nádoru
- gangliové buňky nádoru
Preparát č.15 a č.16 - neurinom
Struktury
- palisáda (Antoni A)
Preparát č.17 a č.18 - plexiformní neurofibrom
Struktury
- nádor
Odkazy
Modul Obecné základy patologie a patofyziologie (3. LF UK)
