Modul OZPP - Praktikum č. 13 (zoom)
From WikiSkripta
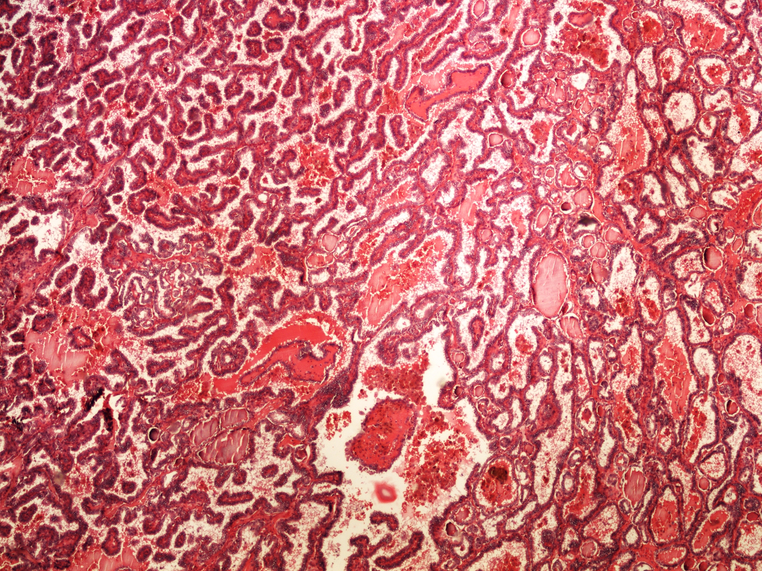
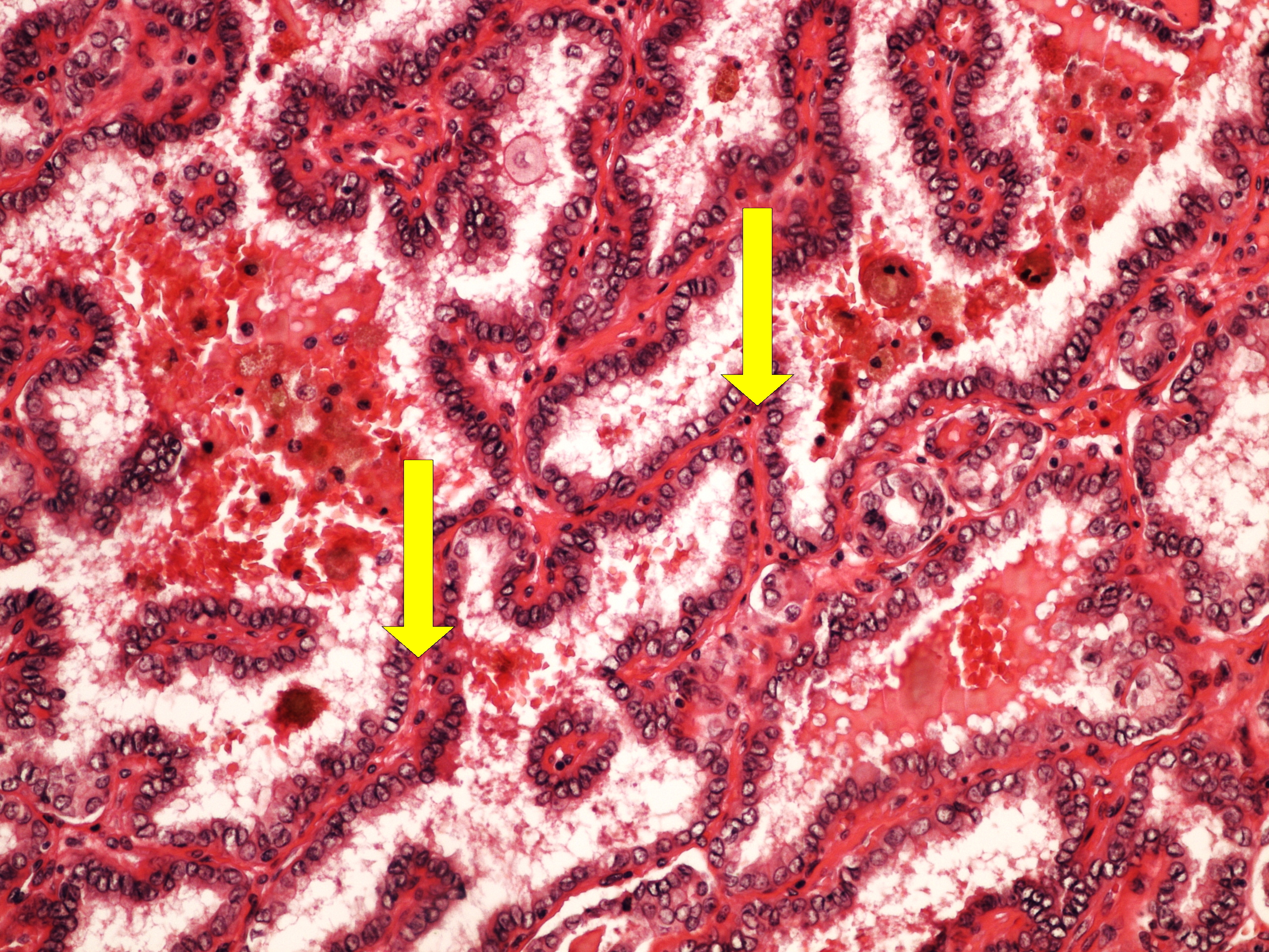
Preparát č.1 a č.2 – papilární karcinom štítné žlázy
Struktury
- papilární formace nádoru
- "oči sirotka Aničky"
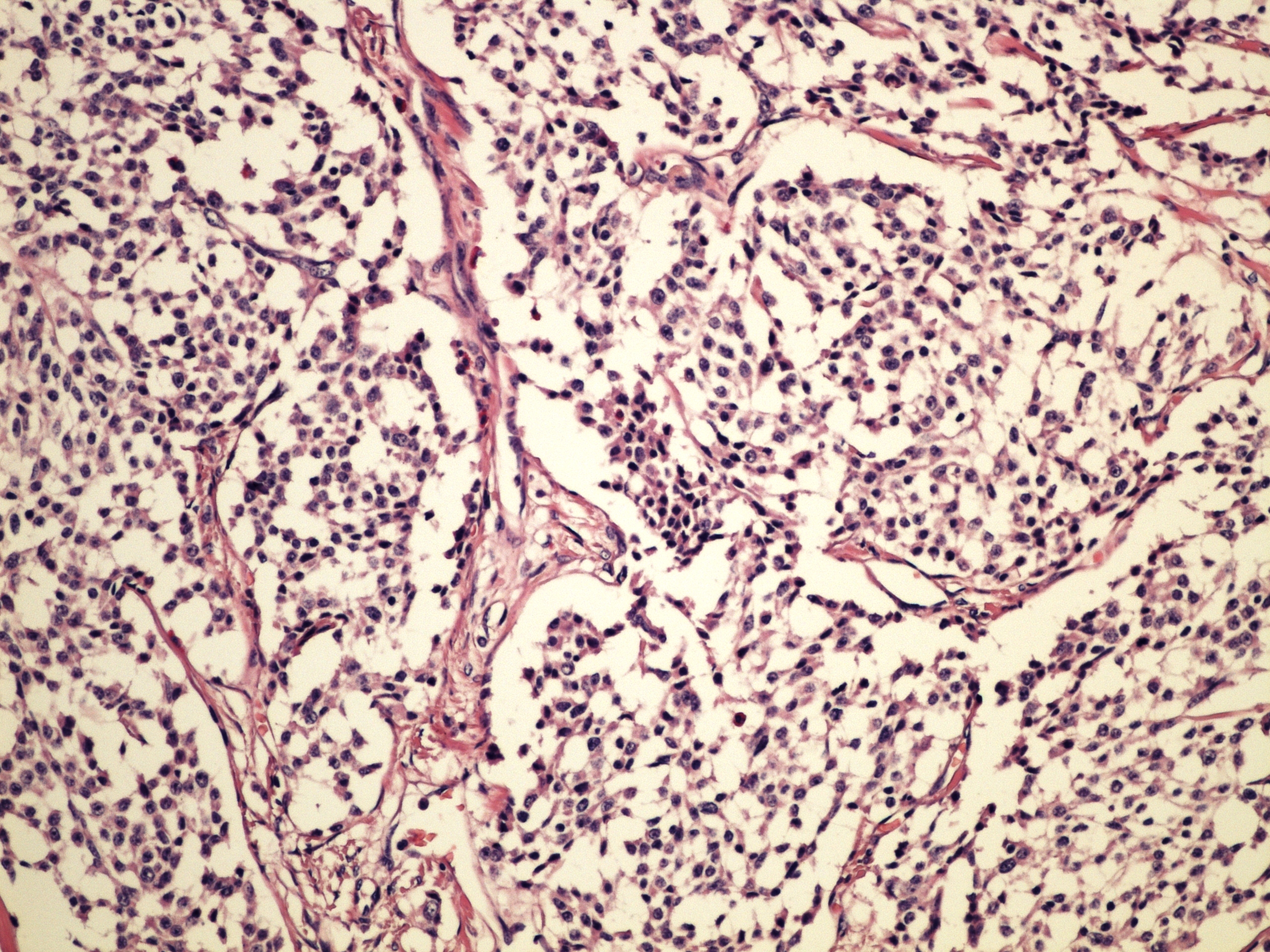
Preparát č.3 a č.4 – neuroendokrinní tumor
Struktury
- nádor
- stroma
Preparát č.5 a č.6 – choriocarcinom
Struktury
- trofoblastické elementy
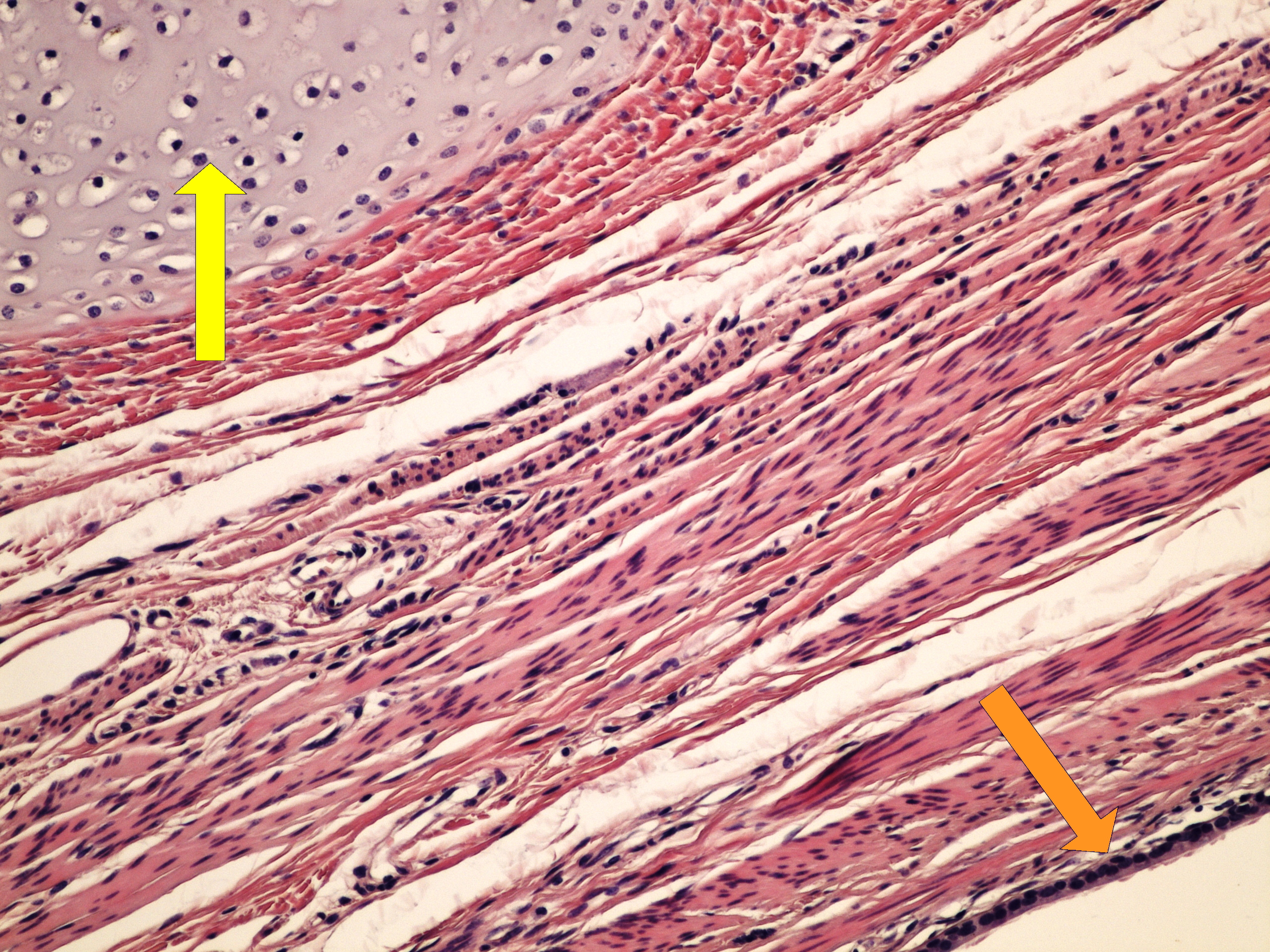
Preparát č.7 a č.8 – koetánní teratom ovaria
Struktury
- chrupavka
- tuková tkáň
- sebaceózní žlázka
- potní žláza
- epitel
Preparát č.9 a č.10 – smíšený germinální nádor
Struktury
- chrupavčitá tkáň
Preparát č.11 a č.12 – seminom
Struktury
- kanálky varlete
- tumor
- světlé nádorové buňky
- lymfocyty ve stromatu
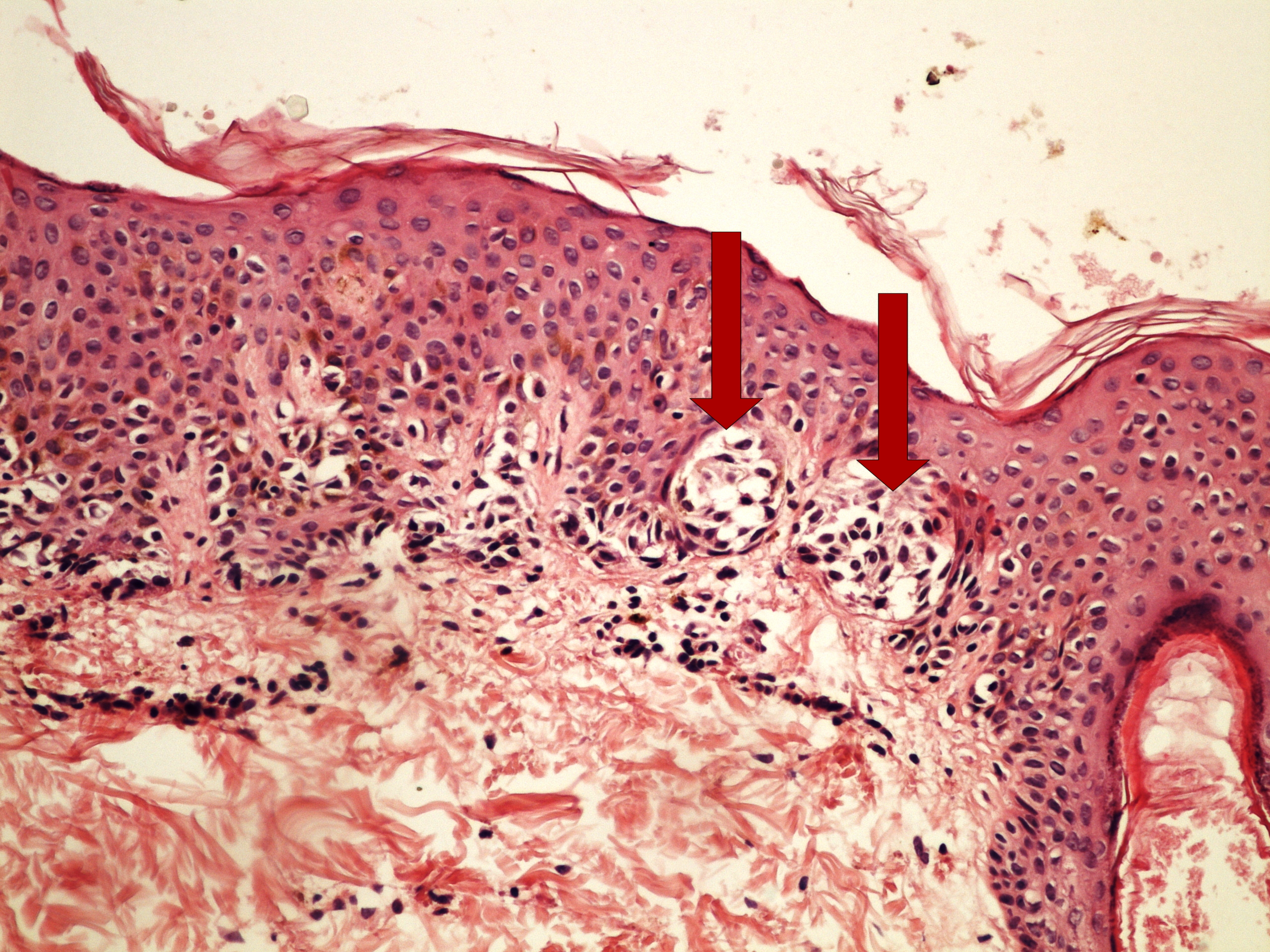
Preparát č.13 a č.14 – junkční pigmentový névus
Struktury
- junkční névus
- junkční hnízda
Preparát č.15 a č.16 – intradermální pigmentový névus
Struktury
- névové buňky
Preparát č.17 a č.18 – melanom
Struktury
- hnědá pigmentace - melanin
Preparát č.19 a č.20 – mesotheliom
Struktury
- epiteloidní buňky
Odkazy
Modul Obecné základy patologie a patofyziologie (3. LF UK)
