Modul OZPP - Praktikum č. 14 (zoom)
From WikiSkripta
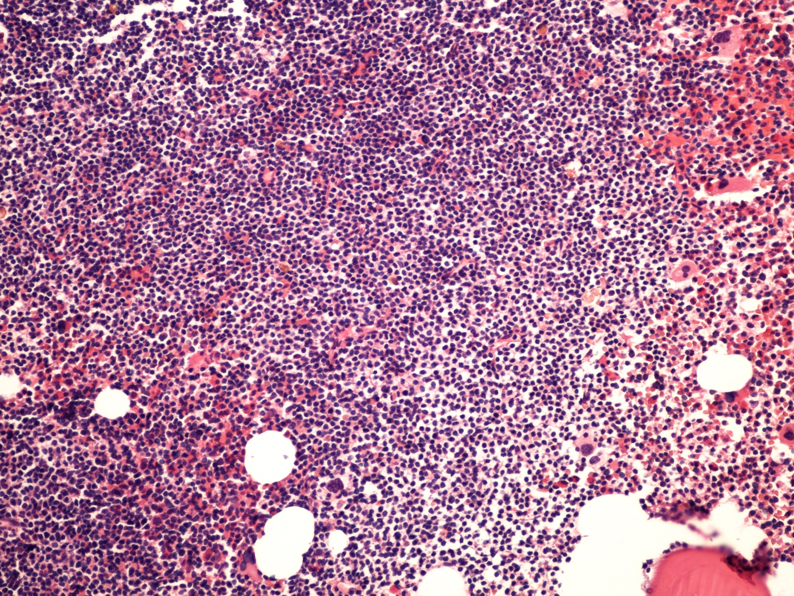
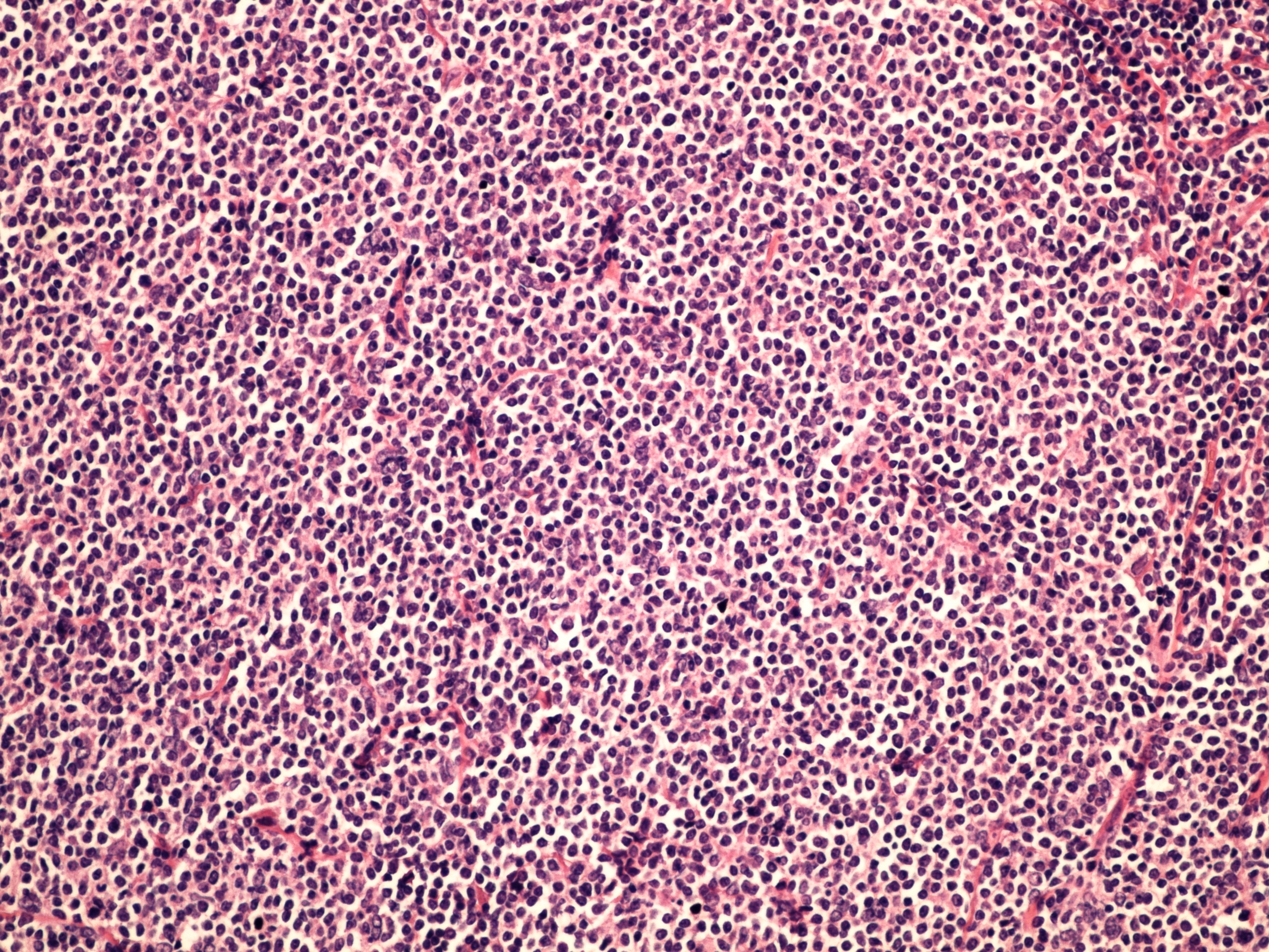
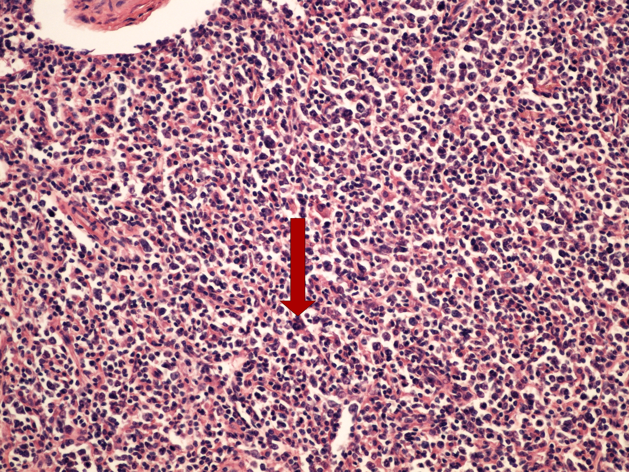
Preparát č.1 a č.2 - CLL SCL
Struktury
- difuzní infiltrace lymfoidními elementy
Preparát č.3 a č.4 - infiltrace jater při CLL
Struktury
- lymfoidní infiltráty
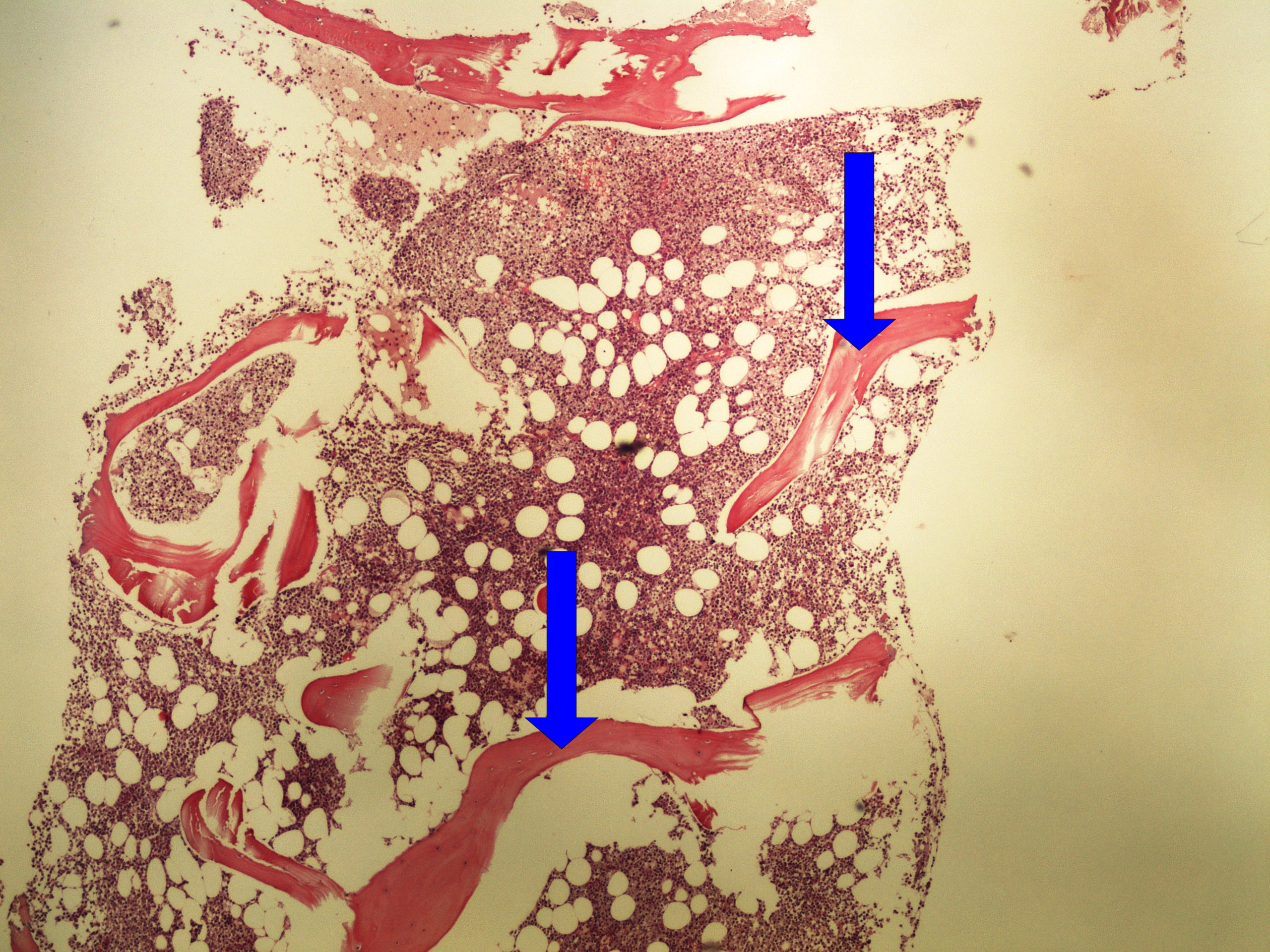
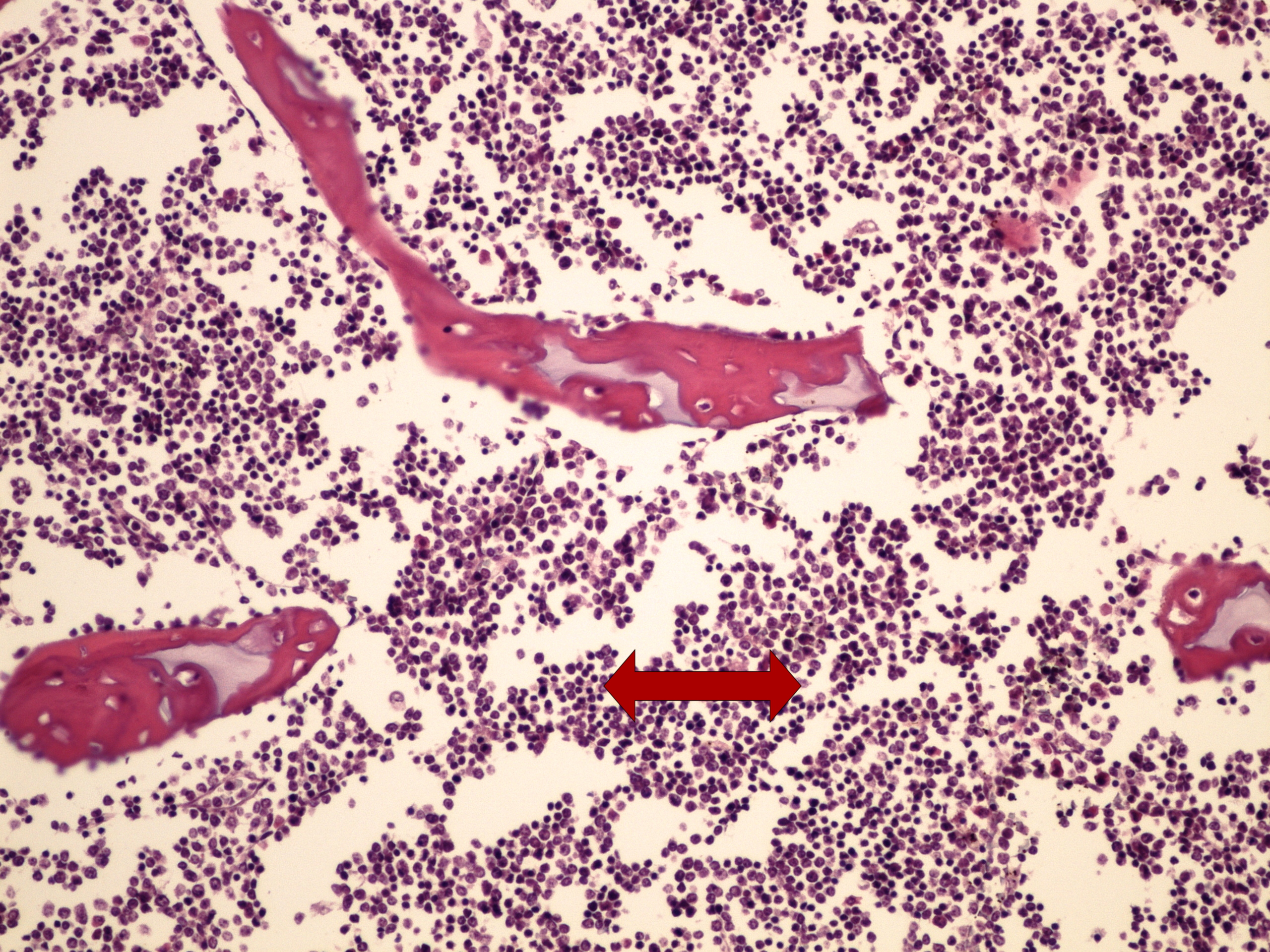
Preparát č.5 a č.6 - infiltrace kostní dřeně při CLL
Struktury
- peritrabekulární infiltrace malými lymfoidními elementy
- trabekuly
Preparát č.7 a č.8 - AML
Struktury
- periost
- kostní trámce
- infiltrace myelodními elementy
Preparát č.9 a č.10 - folikulární lymfom
Struktury
- folikulární formace nádoru
Preparát č.11 a č.12 - DLBCL
Struktury
- difuzní infiltrace
- blasty
Preparát č.13 a č.14 - mnohotný myelom
Struktury
- kostní trámce
- nádorové plazmocytoidní elementy
Preparát č.15 a č.16 - klasický Hodgkinův lymfom - nodulární sklerosa
Preparát č.17 a č.18 - klasický Hodgkinův lymfom - smíšená celularita
Struktury
- RS buňka
Odkazy
Modul Obecné základy patologie a patofyziologie (3. LF UK)
