Modul OZPP - Praktikum č. 1 (zoom)
From WikiSkripta
Preparát č.1 a č.2 - barvení van Gieson (elastická vlákna)
Struktury
- tunica intima
- tunica media
- tunica adventitia
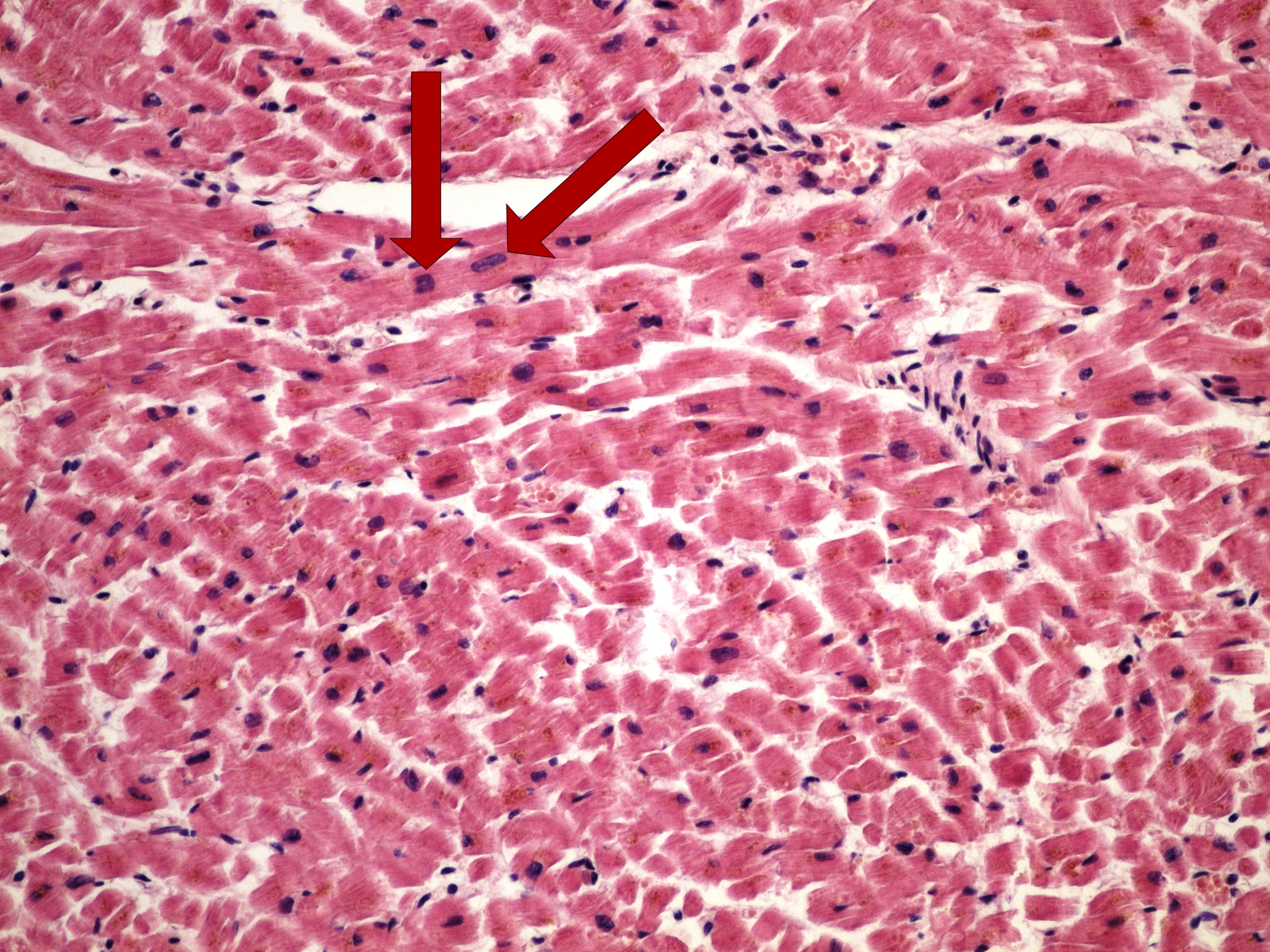
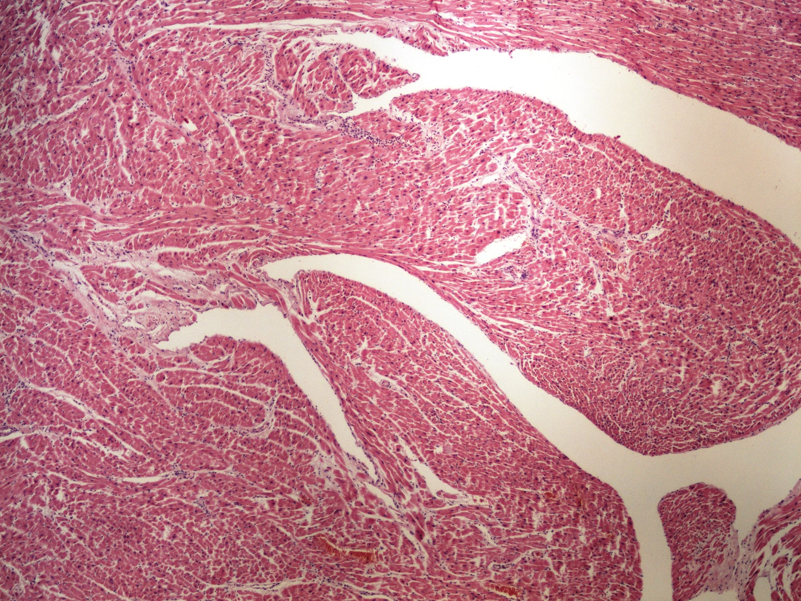
Preparát č.3 a č.4 - myokard (HE)
Struktury
- kardiomyocyty
- krabicovitá jádra kardiomyocytů
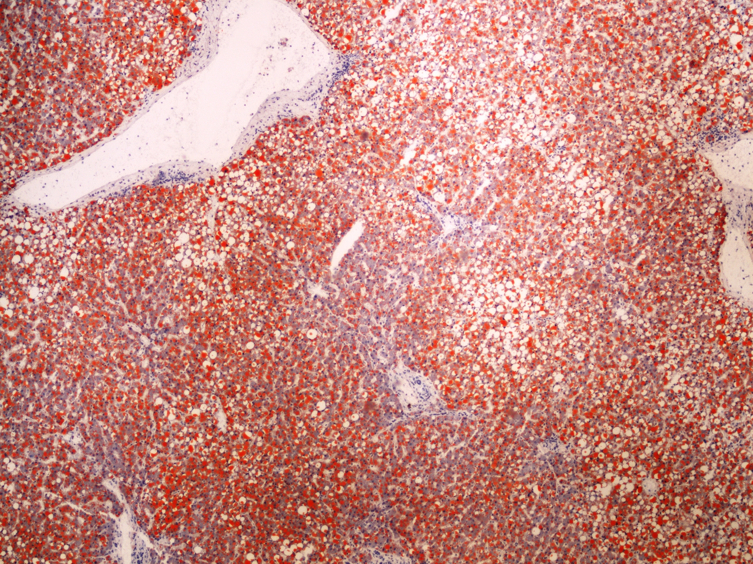
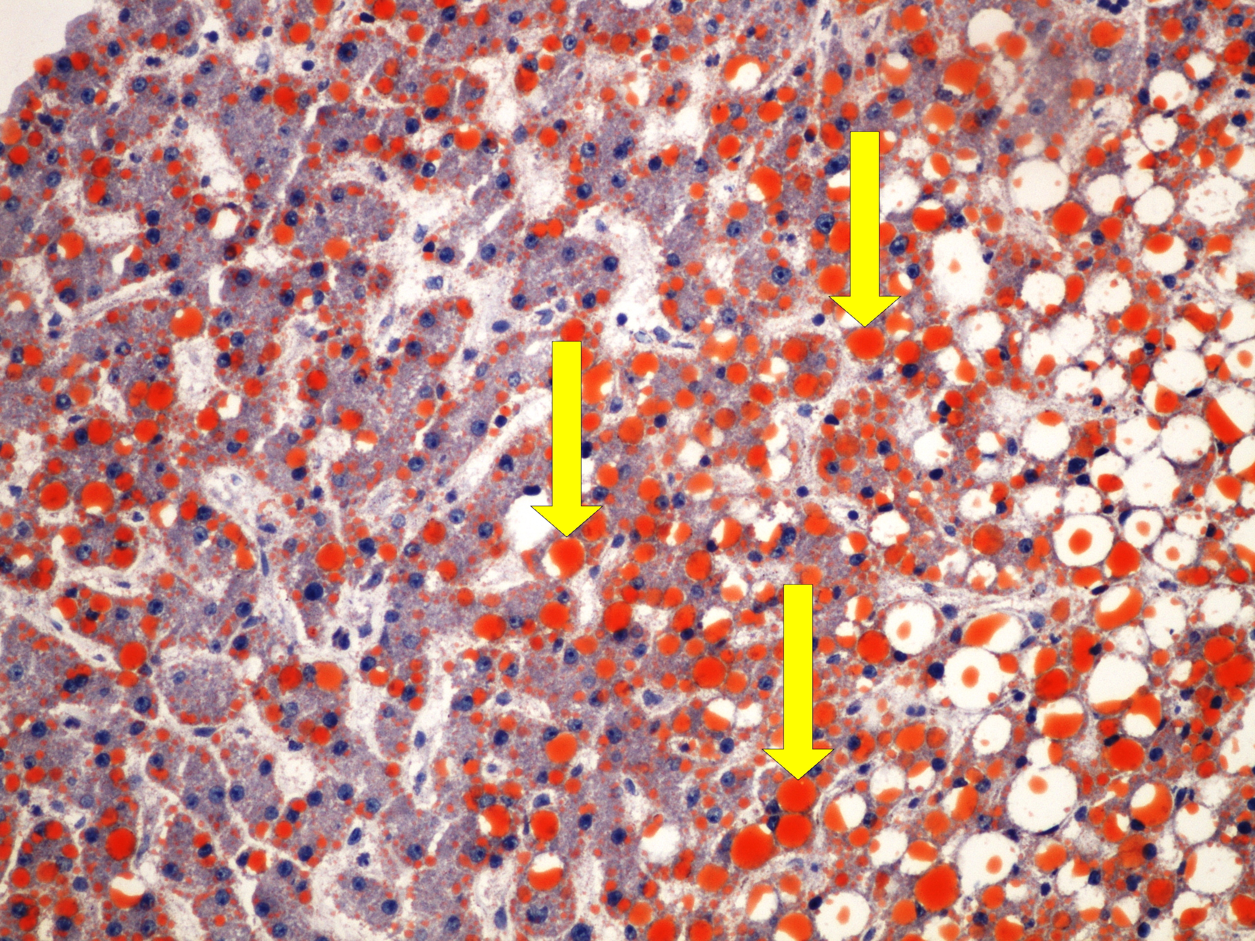
Preparát č.5 a č.6 - průkaz tuku (játra)
Struktury
- intracytoplazmatické tukové vakuoly v hepatocytech
Preparát č.7 a č.8 - stříbření dle Grocotta (průkaz plísně)
Preparát č.9 a č.10 - barvení modrý trichrom (ledvina)
Struktury
- kolagenní vazivo
Preparát č.11 a č.12 - barvení van Gieson (žlučník)
Struktury
- hladká svalovina
- vazivo
Preparát č.13 a č.14 - barvení na retikulární vlákna (játra)
Struktury
- retikulární vlákna
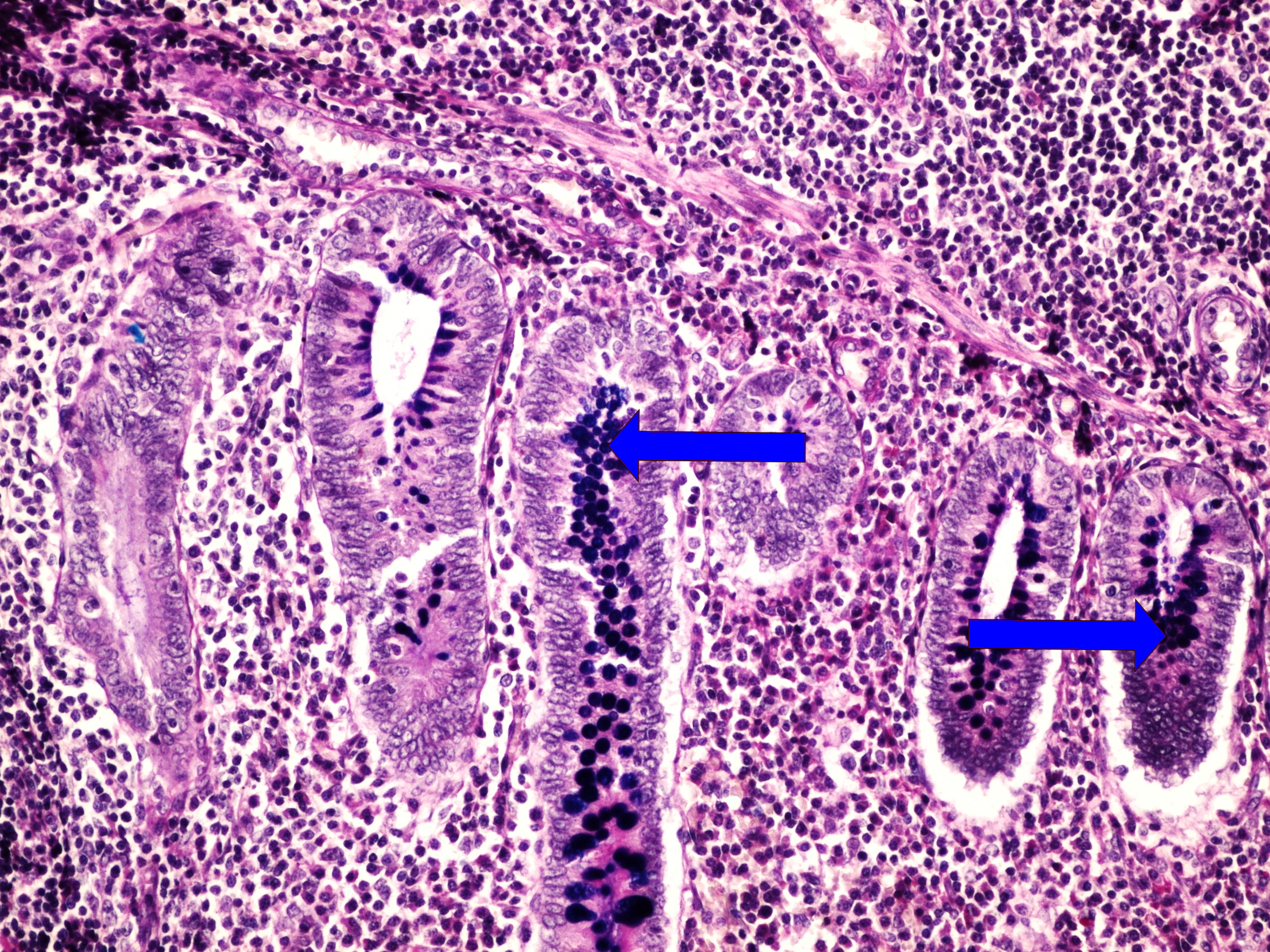
Preparát č.15 a č.16 - barvení dle Mowryho (appendix vermiformis)
Struktury
- lymfatický folikul se zárodečným centrem
- intracytoplazmatické hlenové vakuoly v buňkách výstelky sliznice
Preparát č.17 a č.18 - barvení PAS (Grawitzův ca)
Struktury
- PAS pozitivní glykogenová zrna v cytoplazmě nádorových buněk
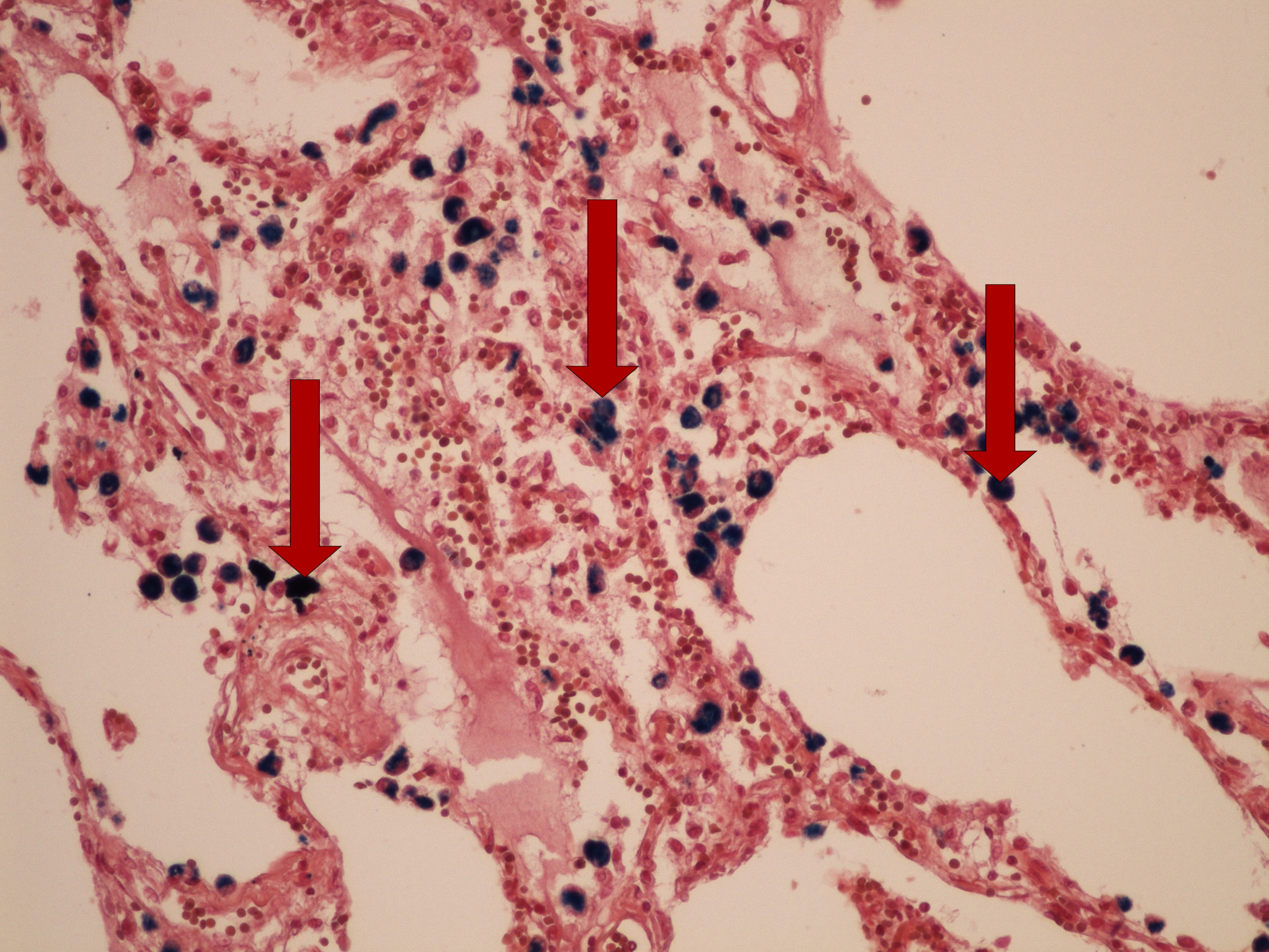
Preparát č.19 a č.20 - průkaz železa Perlsovou reakcí (plíce)
Struktury
- alveoly
- pozitivní siderofágy v průkazu železa dle Perlse
Odkazy
Modul Obecné základy patologie a patofyziologie (3. LF UK)
