Modul OZPP - Praktikum č. 3 (zoom)
From WikiSkripta
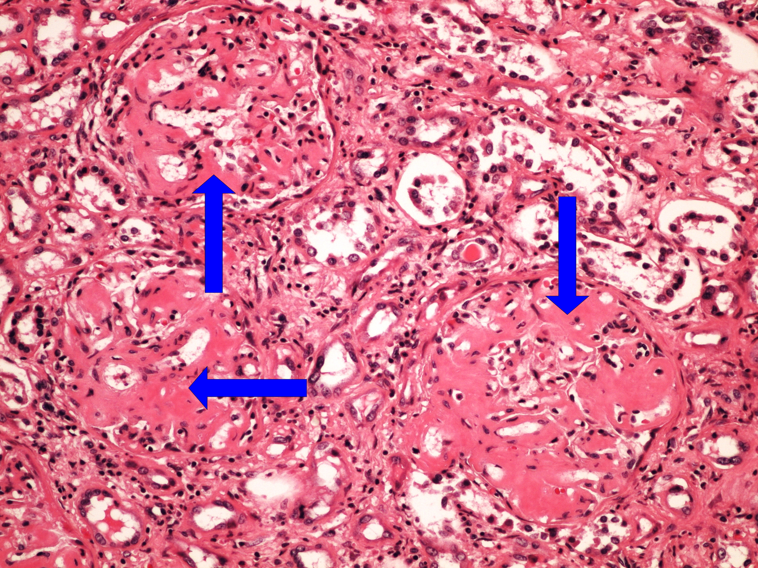
Preparát č.1 a č.2 - amyloidóza ledviny (HE)
Struktury
- amyloid v glomerulu
Preparát č.3 a č.4 - amyloidóza jater (HE)
Struktury
- trámce hepatocytů
- amyloidová depozita
Preparát č.5 a č.6 - amyloidóza jater (kongo červeň)
Struktury
- trámce hepatocytů
- amyloid
Preparát č.7 a č.8 - hyalinní zkapénkovatění ledviny
Struktury
- hyalinní kapénky
- tubulus
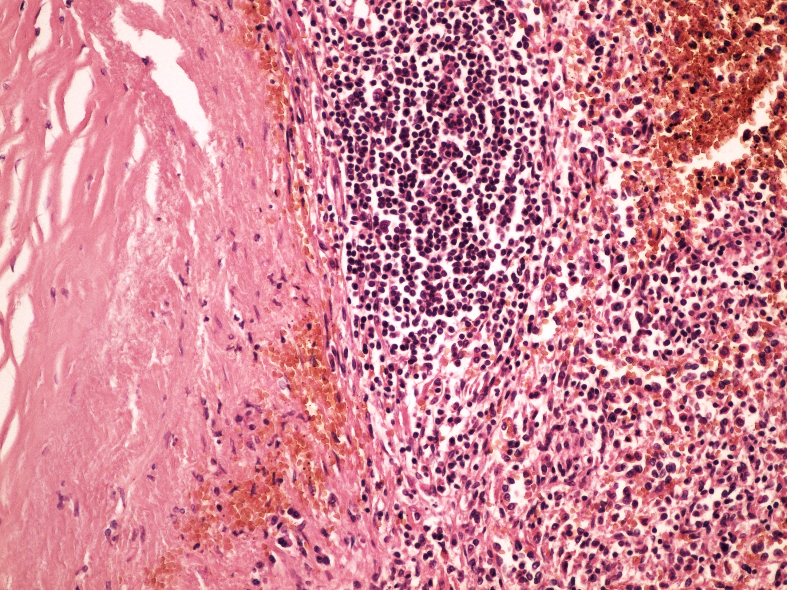
Preparát č.9 a č.10 - Russelova tělíska
Struktury
- Russelova tělíska
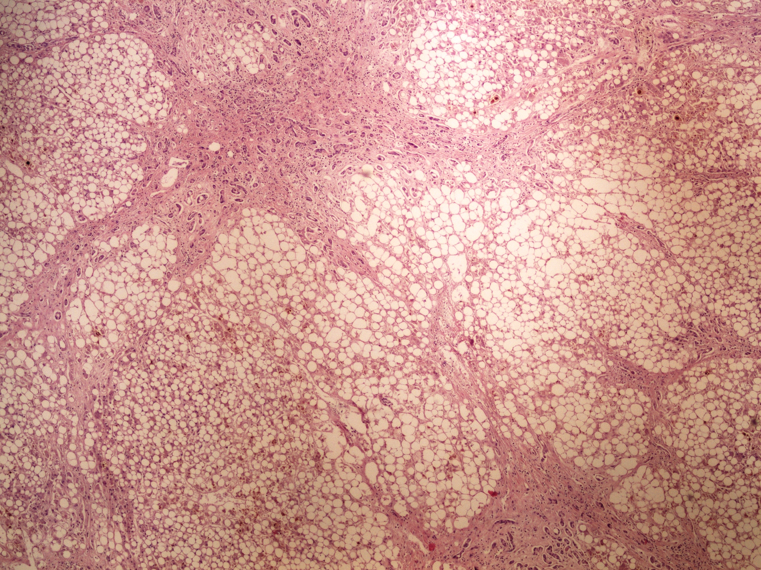
Preparát č.11 a č.12 - steatosa jater
Struktury
- zbytky jaterního parenchymu
Preparát č.13 a č.14 - zánětlivý pseudoxantom
Struktury
- vazivo
- buňky pseudoxanthomu (makrofágy)
Preparát č.15 a č.16 - cholesterolosa žlučníku
Struktury
- makrofágy v subepiteliální lokalizaci
- "jahodový žlučník"
Preparát č.17 a č.18 - perisplenitis cartilaginea
Struktury
- ložiska vaziva
Preparát č.19 a č.20 - fibrinodní dystrofie
Struktury
- céva s fibrinoidní dystrofií stěny (obraz "terče")
Odkazy
Modul Obecné základy patologie a patofyziologie (3. LF UK)
