Modul OZPP - Praktikum č. 4 (zoom)
Z WikiSkript
Preparát č.1 a č.2 - melanin
Struktury
- melanin v melanocytech
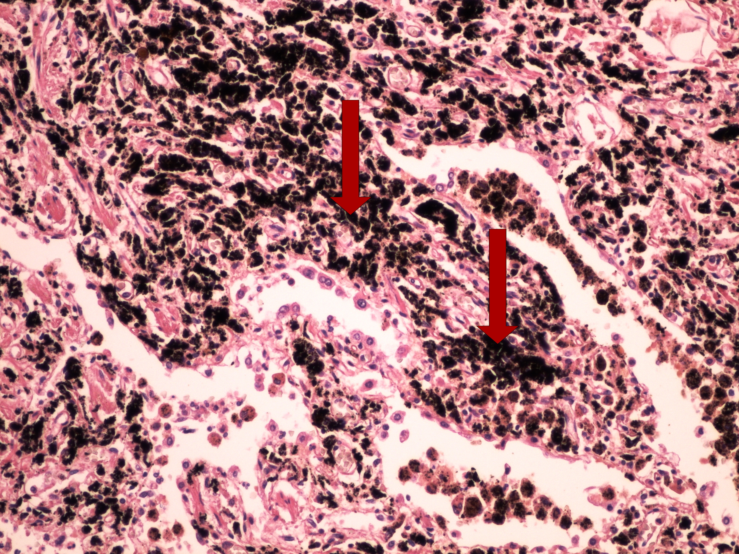
Preparát č.3 a č.4 - hemosiderin
Struktury
- siderofágy s hemosiderinem
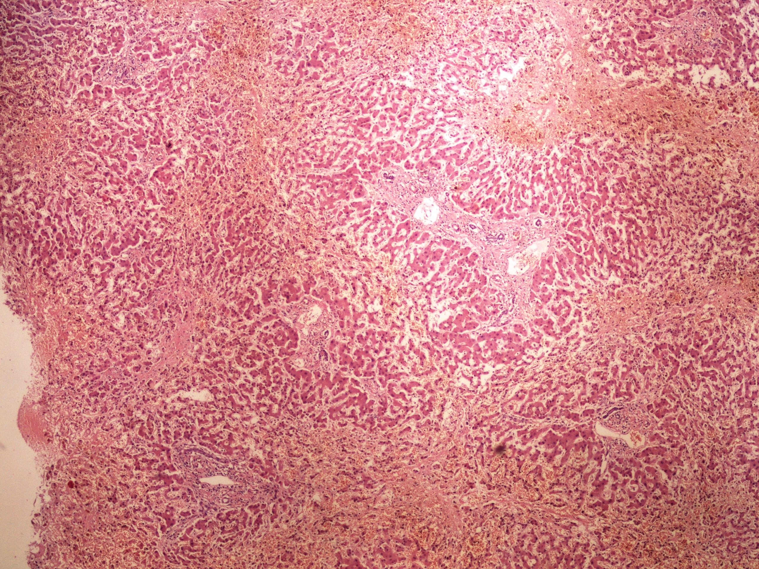
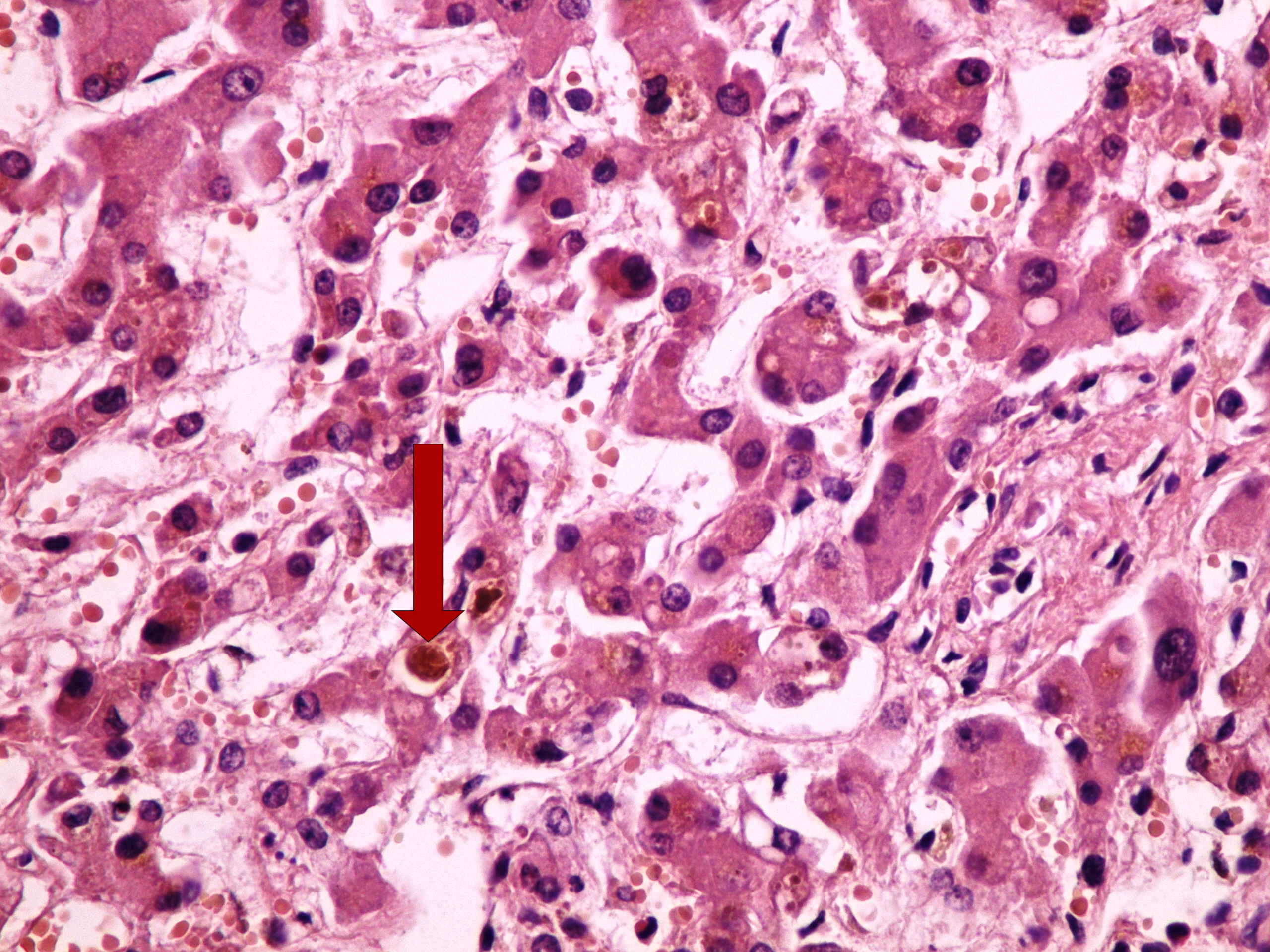
Preparát č.5 a č.6 - bilirubin
Struktury
- žlučový "trombus" v játrech
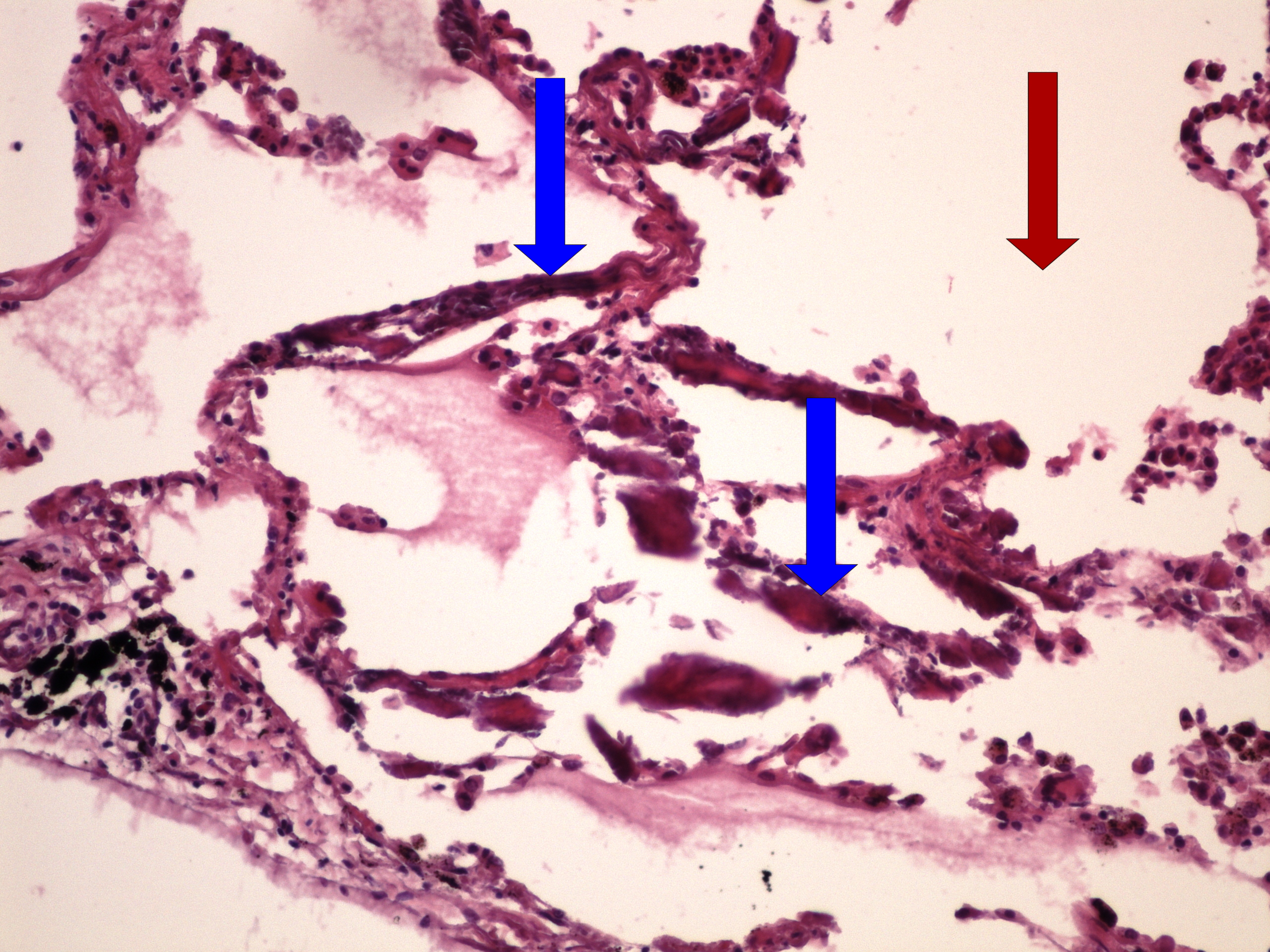
Preparát č.7 a č.8 - antrakóza
Struktury
- makrofágy
- alveoly
Preparát č.9 č.10 - silikóza
Struktury
- silikotické uzlíky
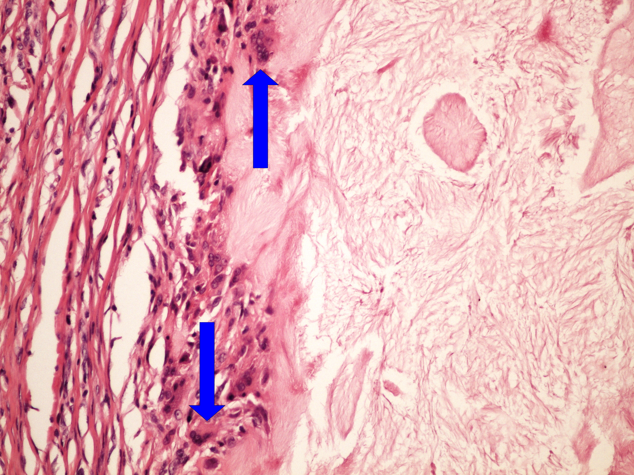
Preparát č.11 a č.12 - cholesterolové krystaly
Struktury
- cholesterolové krystaly
Struktury
- tofus
- makrofágy
Preparát č.15 a č.16 - dystrofická kalcifikace
Struktury
- dystrofická kalcifikace
Preparát č.17 a č.18 - metastatická kalcifikace (HE)
Struktury
- alveoly
- kalcifikace v septech
- "pemzová plíce"
Preparát č.19 a č.20 - metastatická kalcifikace (Kossa)
Odkazy
Modul Obecné základy patologie a patofyziologie (3. LF UK)
