Modul OZPP - Praktikum č. 5 (zoom)
From WikiSkripta
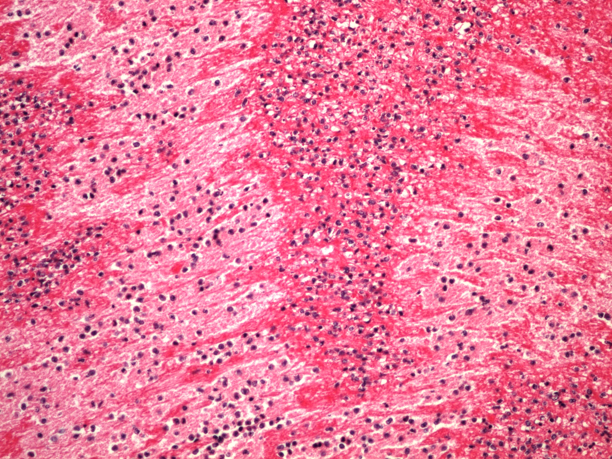
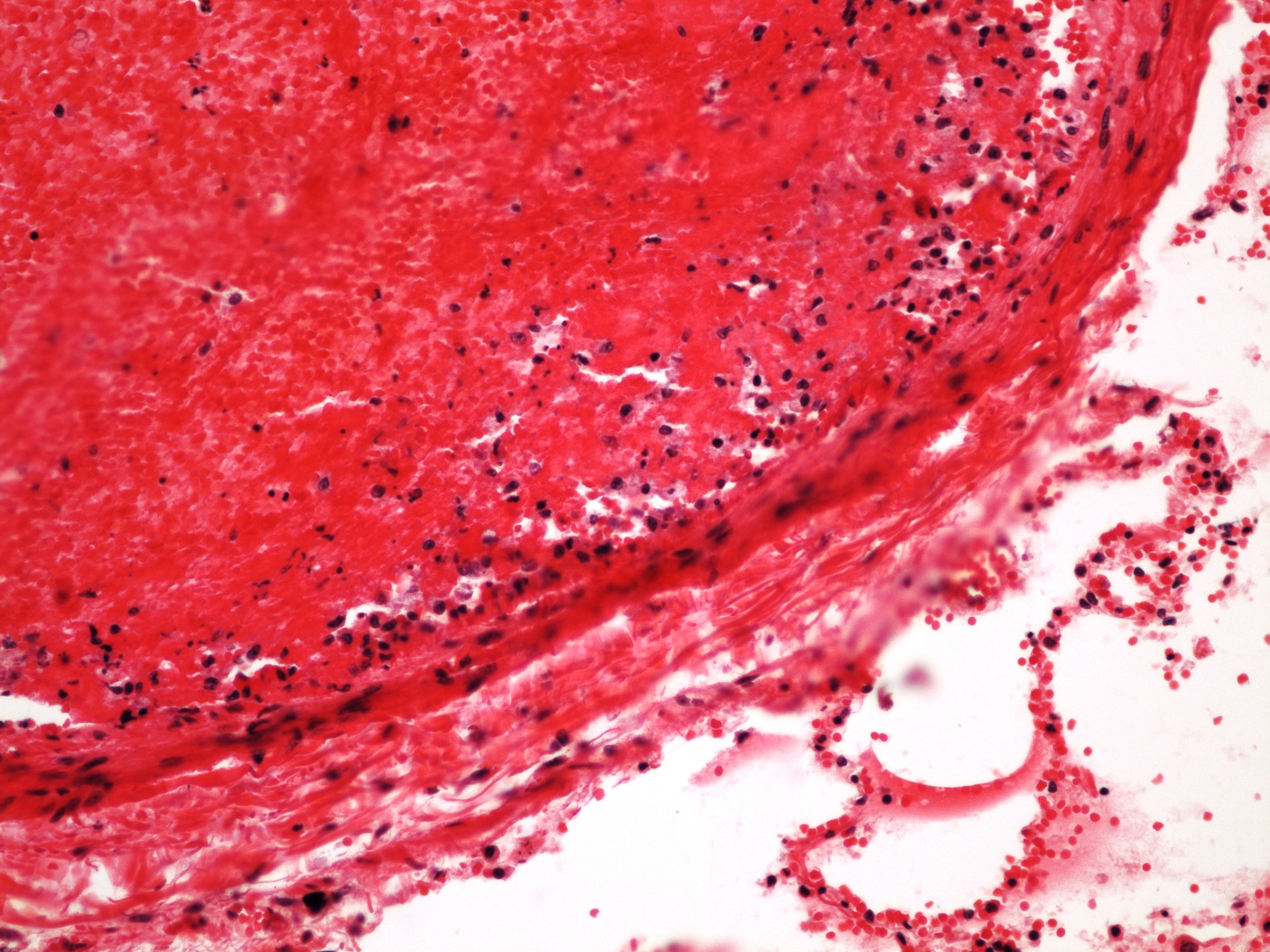
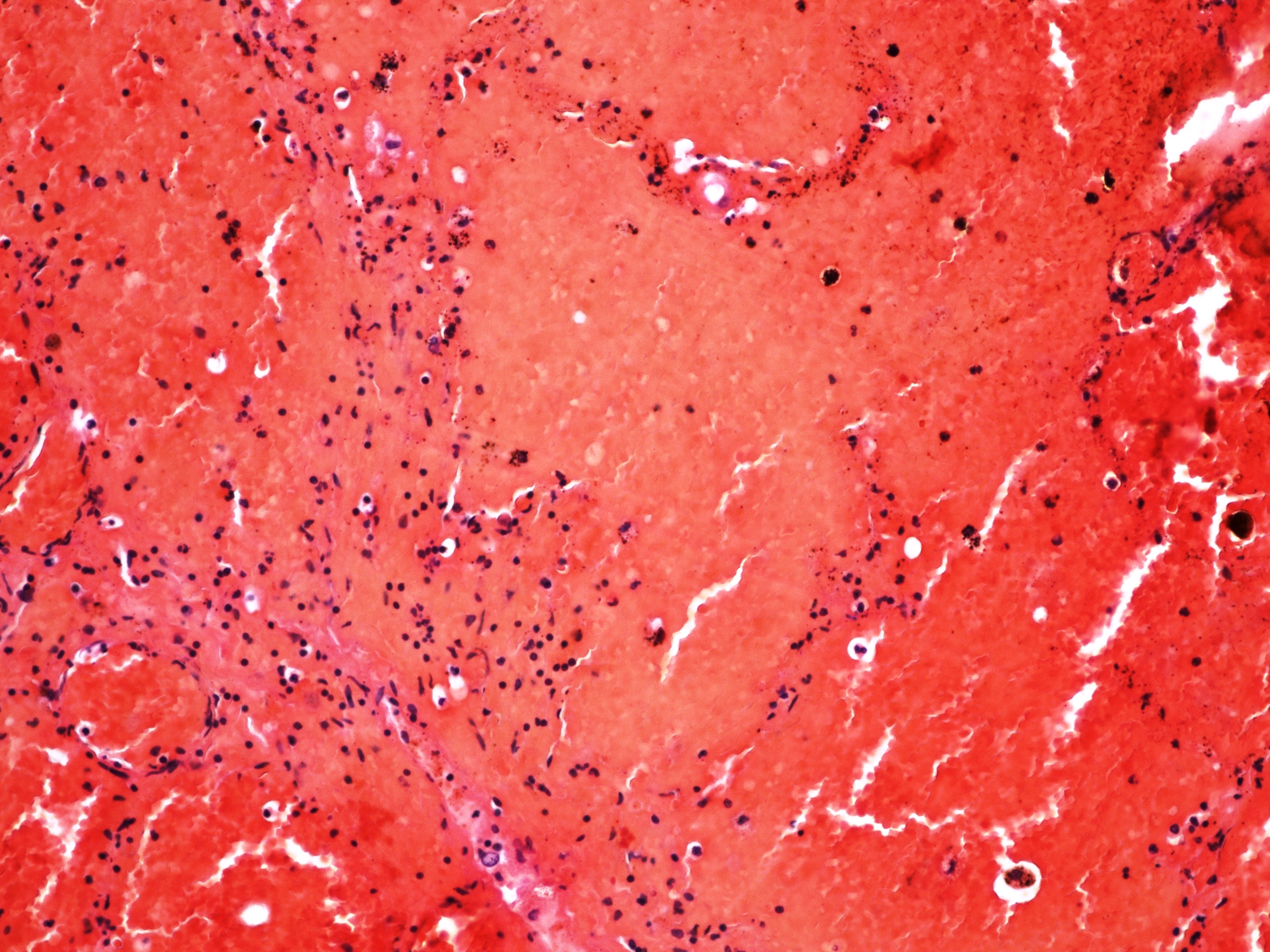
Preparát č.1 a č.2 - hemoragická nekróza
Struktury
- plicní parenchym
- nekróza
Preparát č.3 a č.4 - edém plic
Struktury
- alveoly s edematózní tekutinou
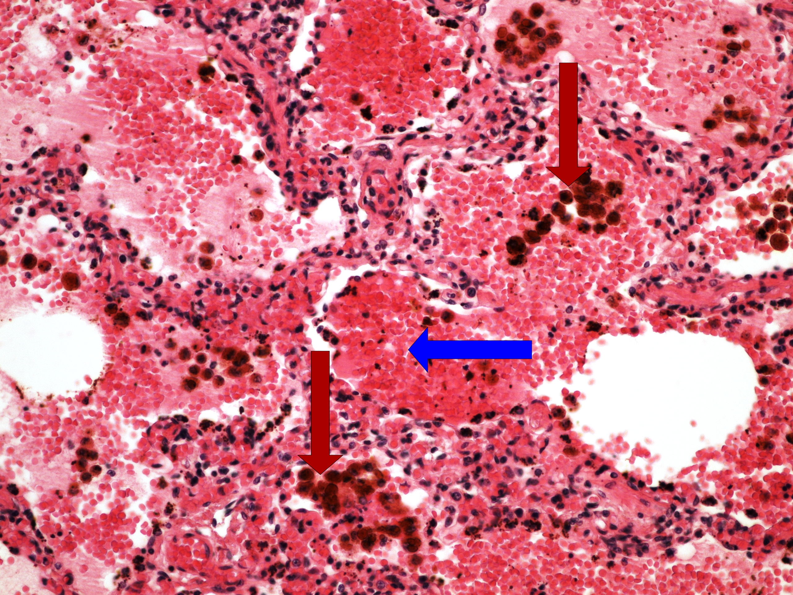
Preparát č.5 a č.6 - rezavá indurace plic
Struktury
- prokrvácení
- siderofágy v alveolech
Preparát č.7 a č.8 - chronická venostáza jater
Struktury
- "hepar moschatum"
- překrvená oblast
- zbytky jaterního parenchymu
Preparát č.9 a č.10 - čerstvá trombóza
Struktury
- cévní stěna
- trombus
Preparát č.11 a č.12 - trombóza v organizaci
Struktury
- nespecifická granulační tkáň
Preparát č.13 a č.14 - nádorová embolie
Struktury
- nádorové buňky v cévě
Preparát č.15 a č.16 - smíšený trombus
Preparát č.17 a č.18 - trombotická embolie plicnice
Struktury
- periferní plicní tepna s embolií
Odkazy
Modul Obecné základy patologie a patofyziologie (3. LF UK)
