Modul OZPP - Praktikum č. 6 (zoom)
From WikiSkripta
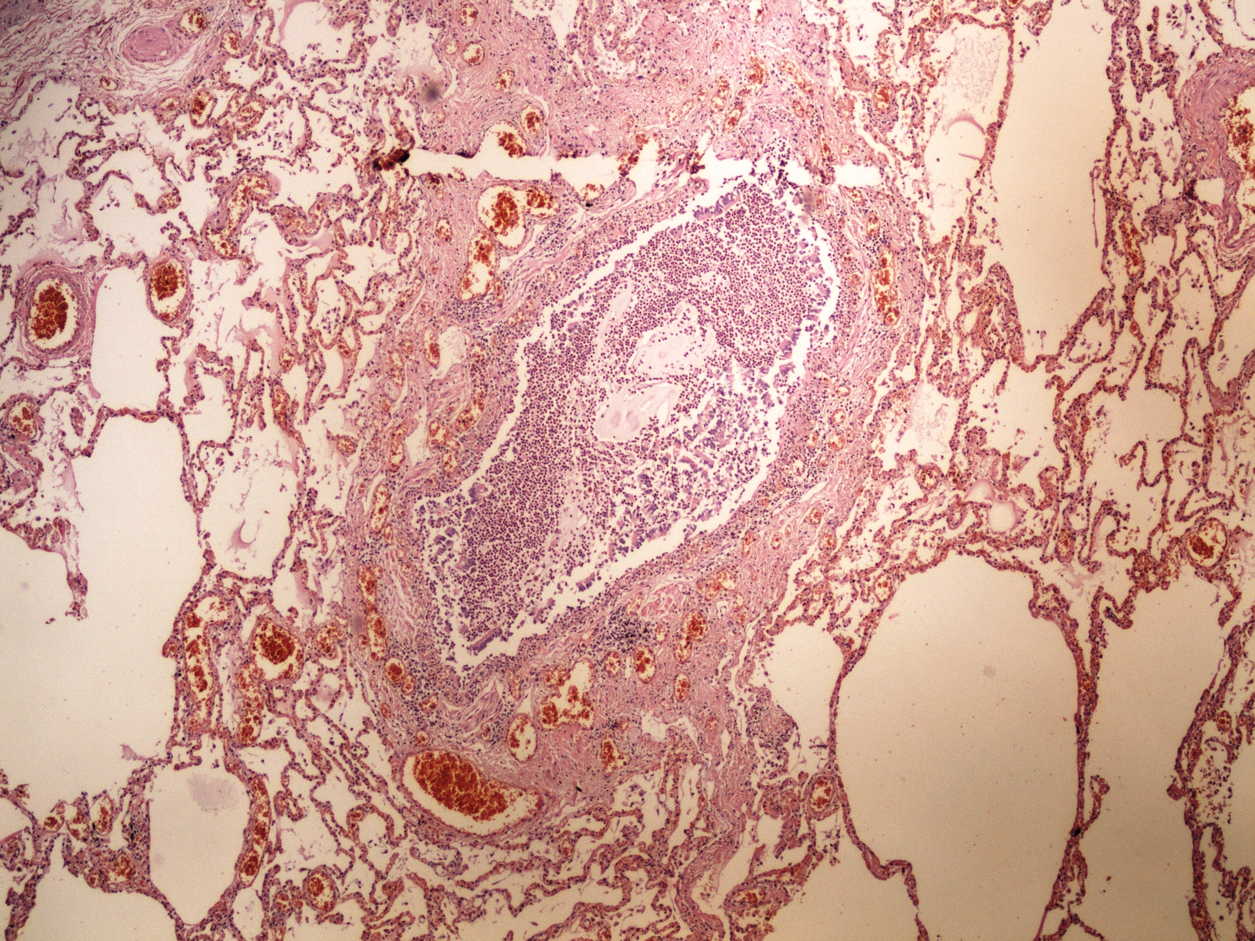
Preparát č.1 a č.2 - katarální bronchopneumonie
Struktury
- alveolus vyplněný granulocyty
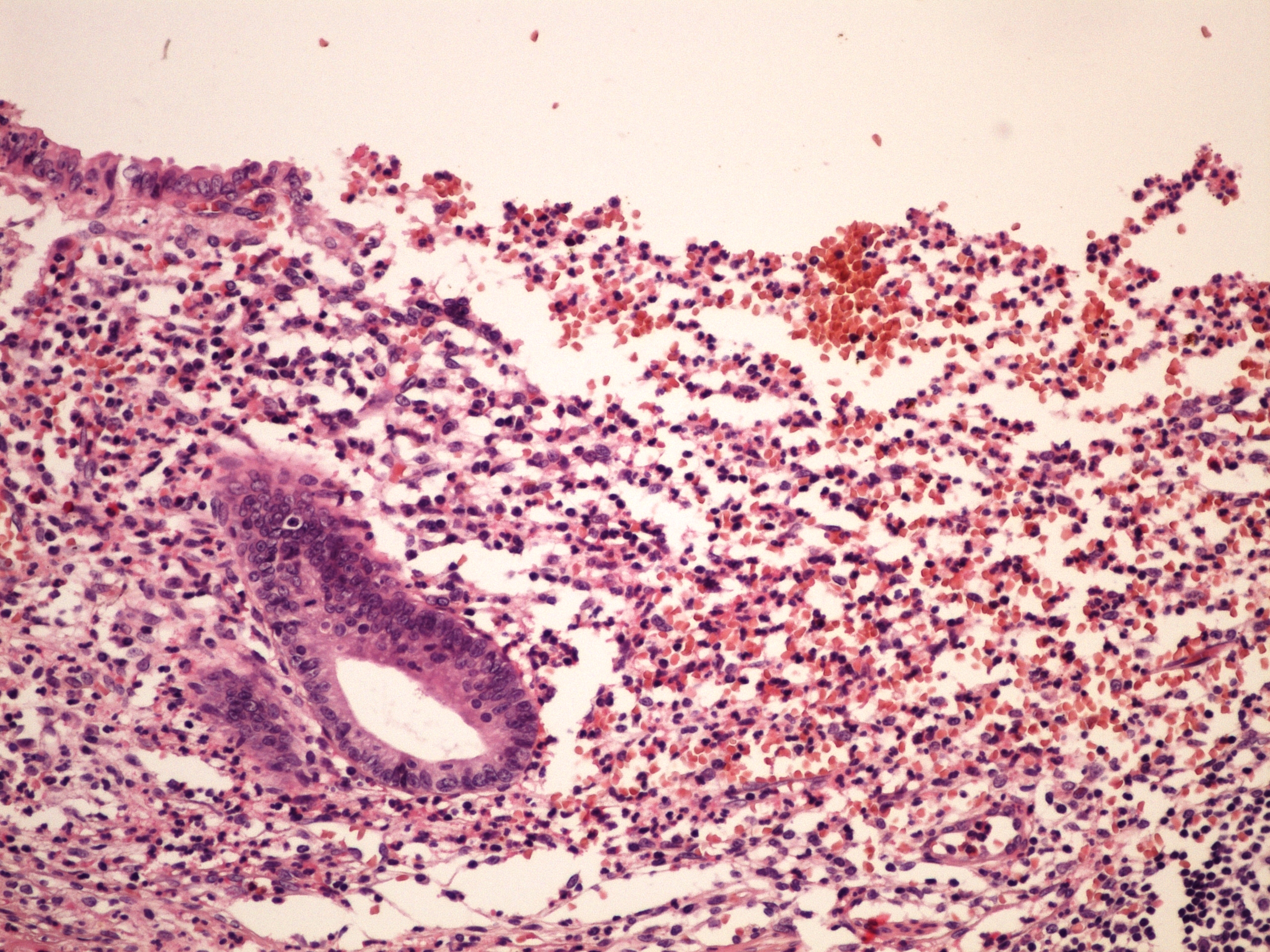
Preparát č.3 a č.4 - akutní bronchitis
Struktury
- granulocyty
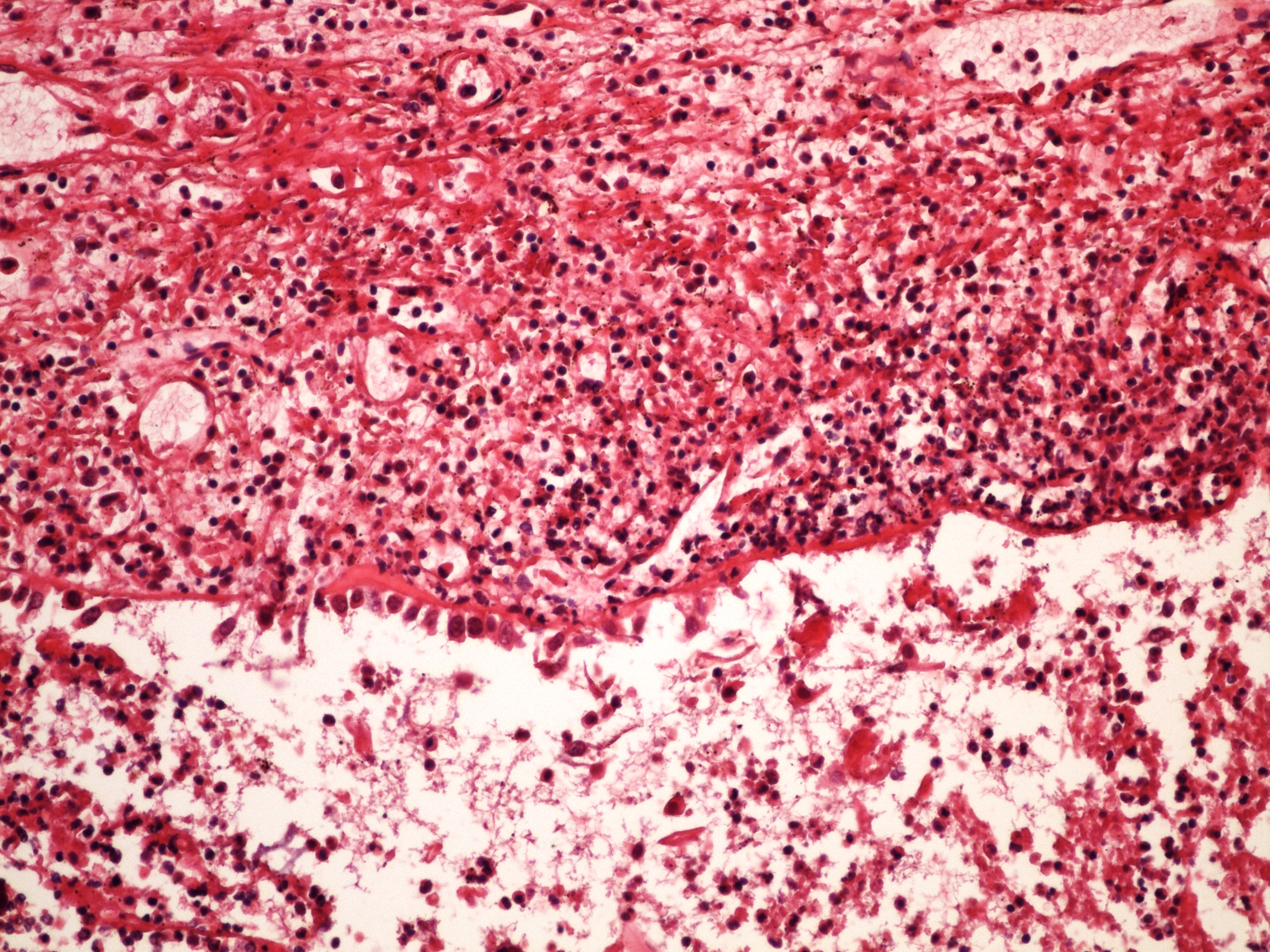
Preparát č.5 a č.6 - hnisavá leptomeningitida
Struktury
- mozek
- mozkové obaly
- zánětlivý infiltrát
Preparát č.7 a č.8 - akutní abscedující pyelonefritis
Struktury
- glomeruly s granulocyty
- glomerulus se zánětlivým infiltrátem
Preparát č.9 a č.10 - chronický plicní absces
Struktury
- nespecifická granulační tkáň
Preparát č.11 a č.12 - ulceroflegmonósní appendicitis
Struktury
- exsudát v lumen appendix vermiformis
- ulcerace
- flegmonózní infiltrace
Preparát č.13 a č.14 - pablánová tracheitis
Struktury
- pablána
Odkazy
Modul Obecné základy patologie a patofyziologie (3. LF UK)
