Modul OZPP - Praktikum č. 7 (zoom)
From WikiSkripta
Preparát č.1 a č.2 - krupózní pneumonie
Struktury
- fibrinová vlákna v alveolech
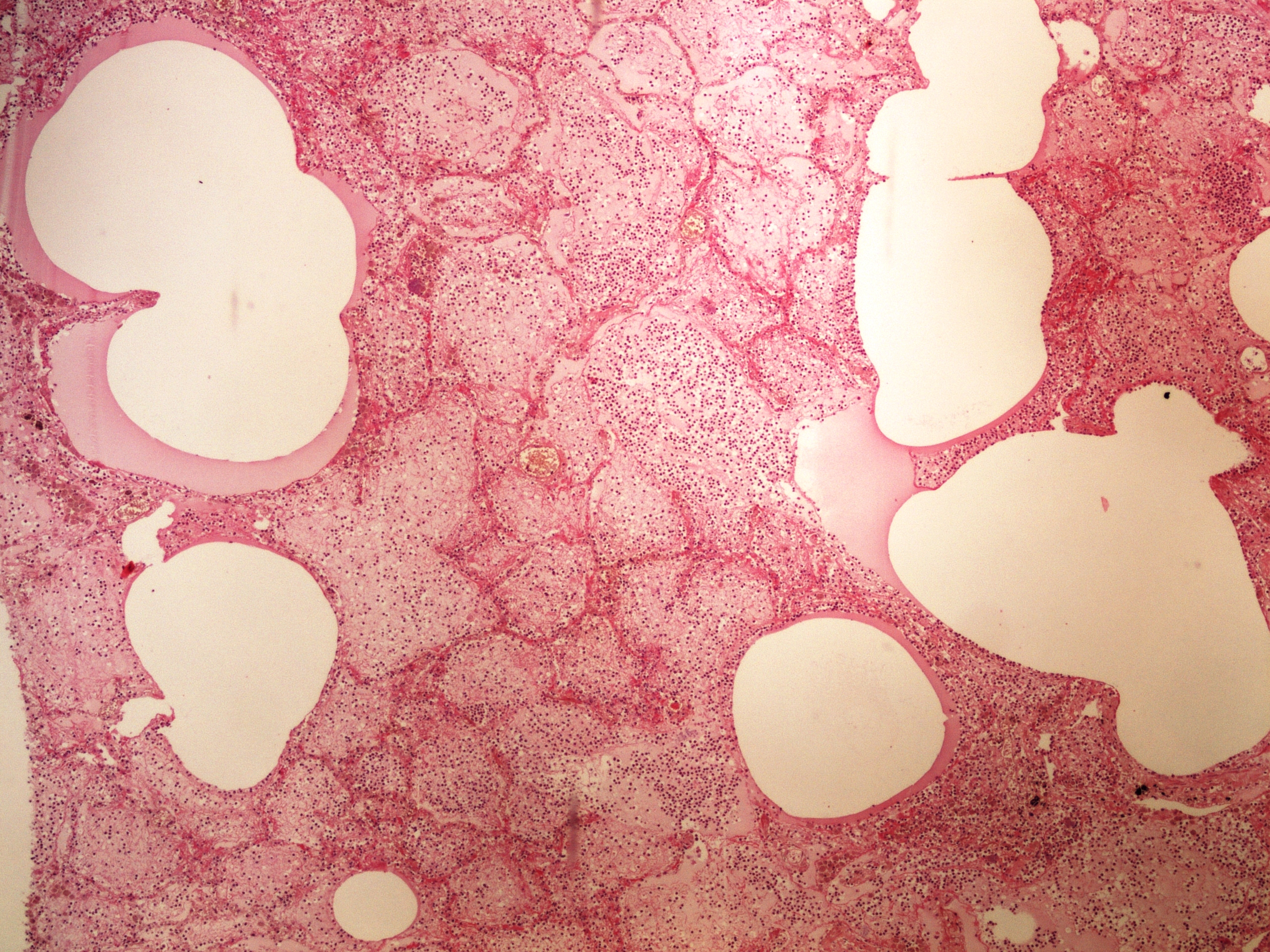
Preparát č.3 a č.4 - karnifikace plic
Struktury
- nespecifická granulační tkáň v luminech alveolů
Preparát č.5 a č.6 - chronická cholecystitis
Struktury
- zárodečná centra v chronickém lymfoplazmocytárním infiltrátu
Preparát č.7 a č.8 - granulační tkáň spodiny bércového vředu
Struktury
- fibrin
- nespecifická granulační tkáň
Preparát č.9 a č.10 - keloid
Struktury
- hrubé snopce kolagenního vaziva
Preparát č.11 a č.12 - hojení kostní zlomeniny
Struktury
- novotvořená kostní tkáň
- osteoklastický lem
Preparát č.13 a č.14 - čerstvá fibrinózní perikarditis
Struktury
- fibrin
- epikard
Preparát č.15 a č.16 - chronická fibrinózní perikarditis
Struktury
- perikard
- fibrin
- ložiska granulační tkáně
Preparát č.17 a č.18 - pablánová kolitis
Struktury
- zbytky sliznice
- pseudomembrány
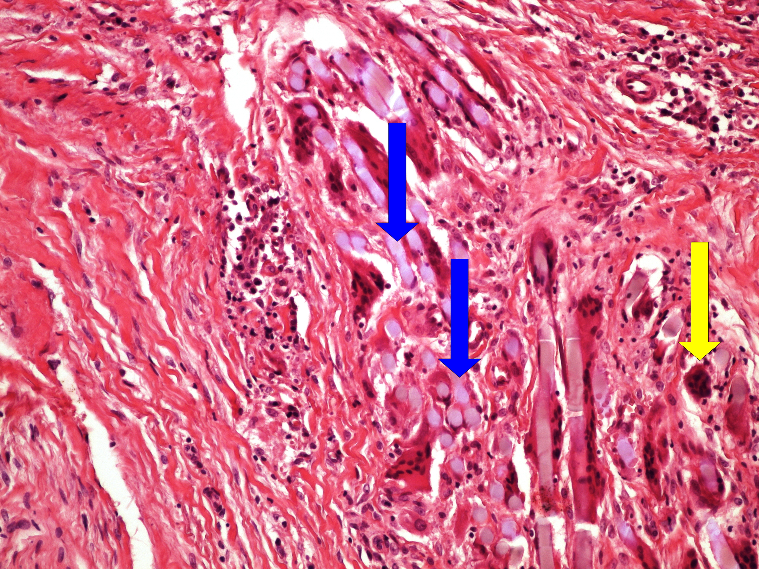
Preparát č.19 a č.20 - obrovskobuněčný granulom
Struktury
- cizorodý světlolomný materiál
- obrovské vícejaderné buňky
Preparát č.21 a č.22 - sarkoidóza
Struktury
- nekaseifikující granulomy
- obrovské vícejaderné buňky
- epiteloidní makrofágy
- zánětlivý infiltrát
Preparát č.23 a č.24 - miliární TBC plic
Struktury
- miliární uzlík
- vícejaderné buňky Langhansova typu
Preparát č.25 a č.26 - miliární TBC jater
Struktury
- miliární uzlík
- vícejaderné buňky Langhansova typu
Preparát č.27 a č.28 - kaseózní pneumonie
Struktury
- kaseózní nekróza
- zbytek plicního parenchymu
Preparát č.29 - kaseózní pneumonie (Ziehl Nielsen)
Struktury
- Mycobacterium tuberculosis
Odkazy
Modul Obecné základy patologie a patofyziologie (3. LF UK)
