Modul OZPP - Praktikum č. 8 (zoom)
From WikiSkripta
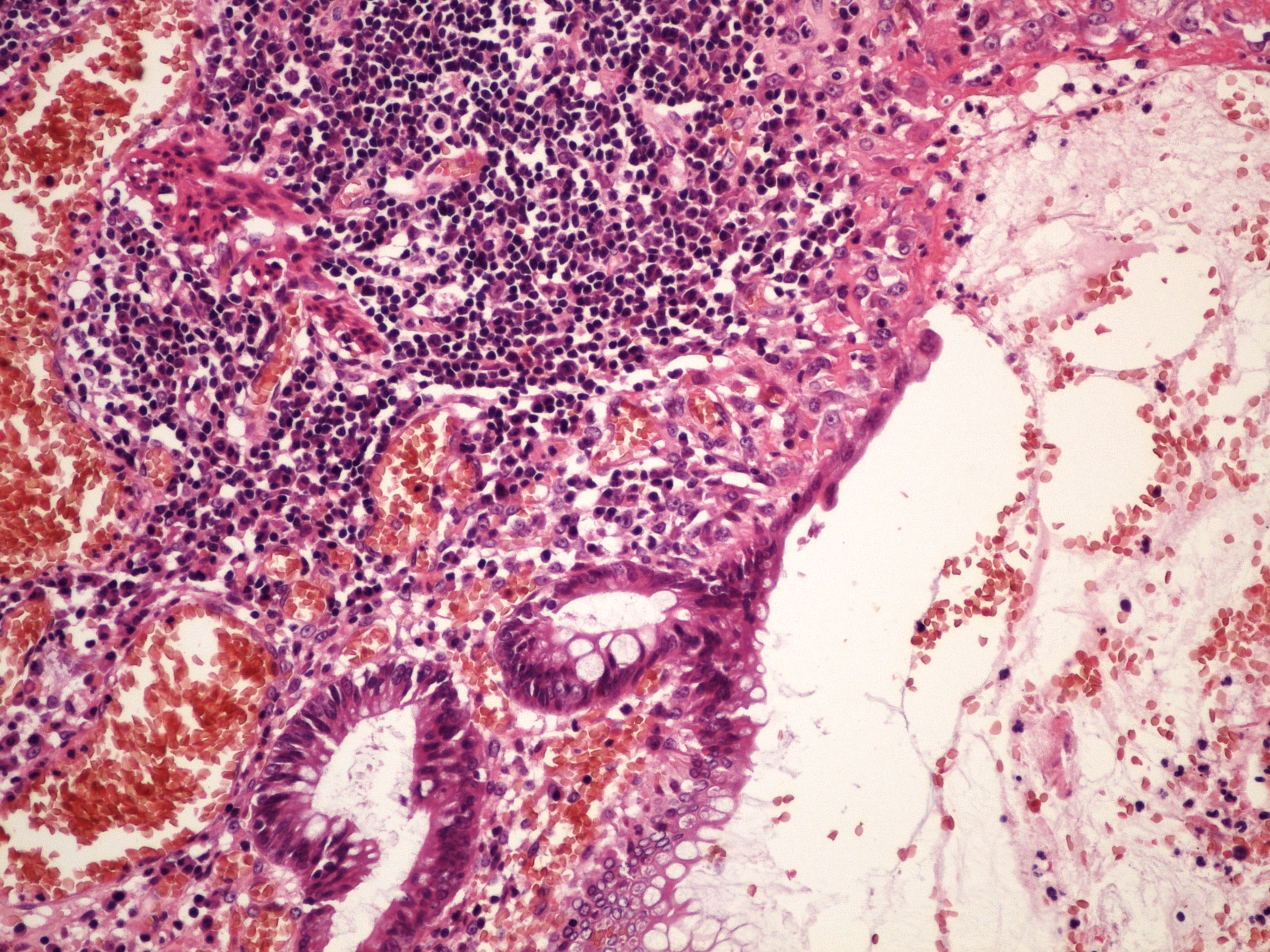
Preparát č.1 a č.2 - ulcerósní kolitis
Struktury
- zánětlivý infiltrát; nezasahuje transmurálně
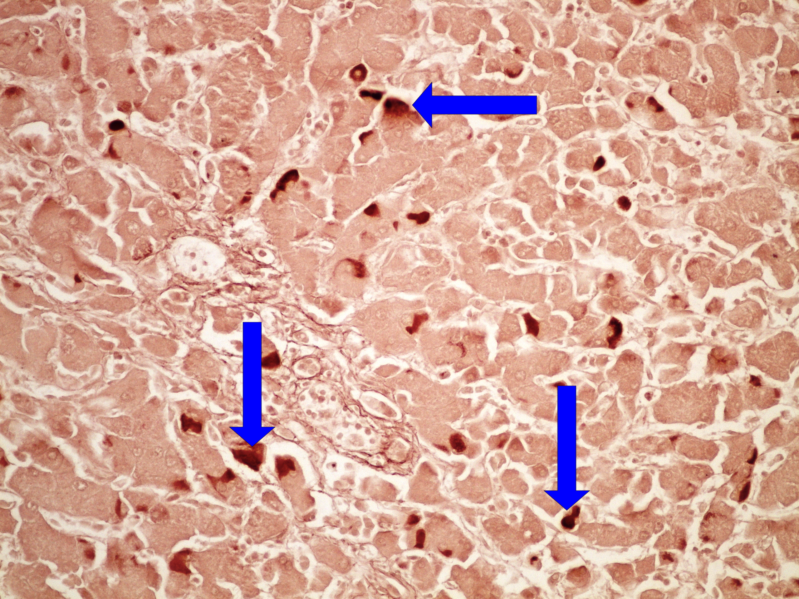
Preparát č.3 a č.4 - hepatitis (orcein)
Struktury
- pozitivní barvení na orcein u chronické hepatitidy B
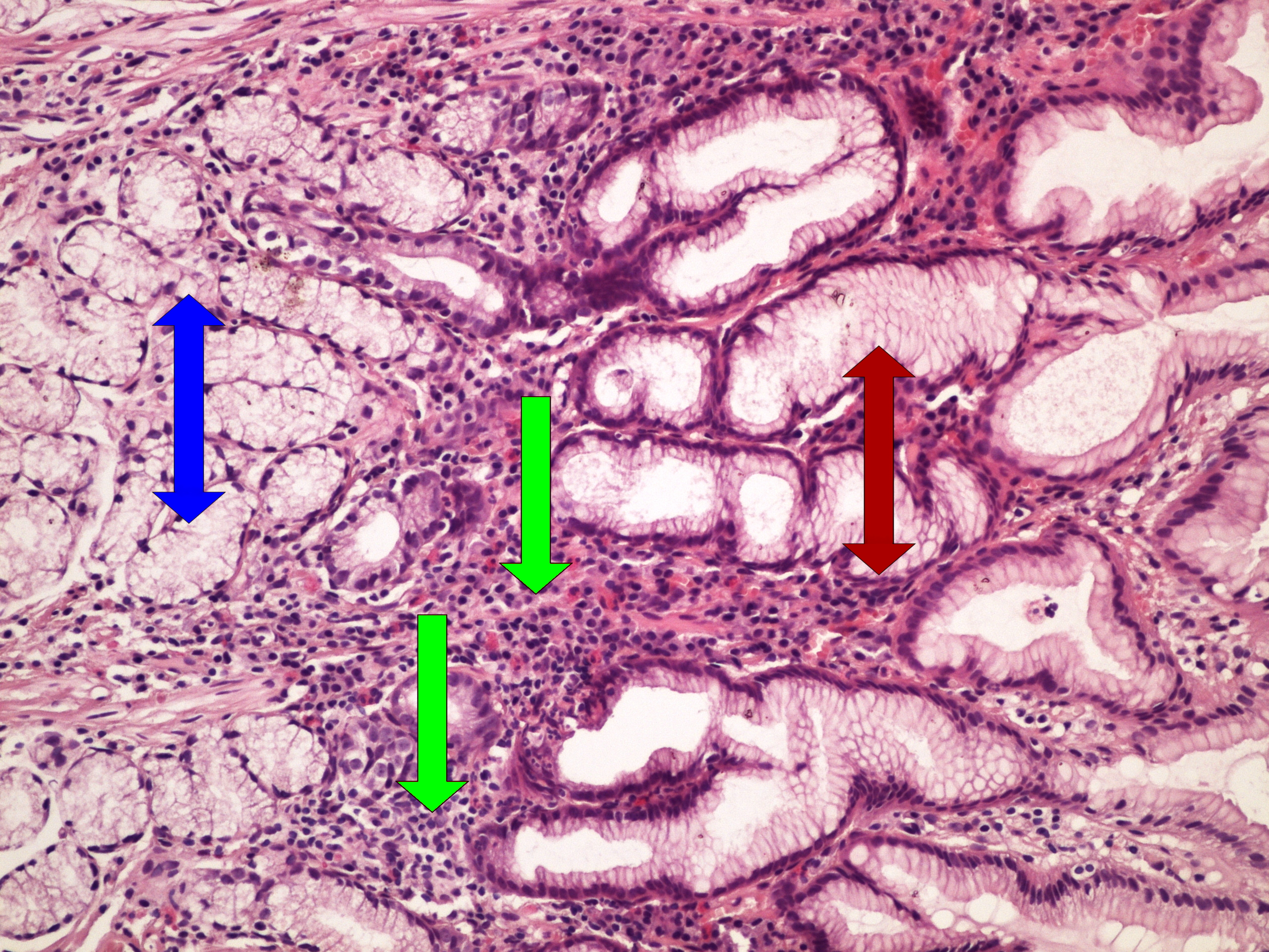
Preparát č.5 a č.6 - chronická gastritis
Struktury
- žlázky
- zánětlivý infiltrát
- foveolární vrstva
Preparát č.7 a č.8 - Crohnova nemoc
Struktury
- transmurální zánět
- jizvení
- ulcerace
- fibrin
Preparát č.9 a č.10 - pankreatitida
Struktury
- jizevnatě změněná tkáň
- tuková tkáň
- steatocytonekrózy ("Balzerovy" nekrózy)
Odkazy
Modul Obecné základy patologie a patofyziologie (3. LF UK)
