Modul OZPP - Praktikum č. 9 (zoom)
Z WikiSkript
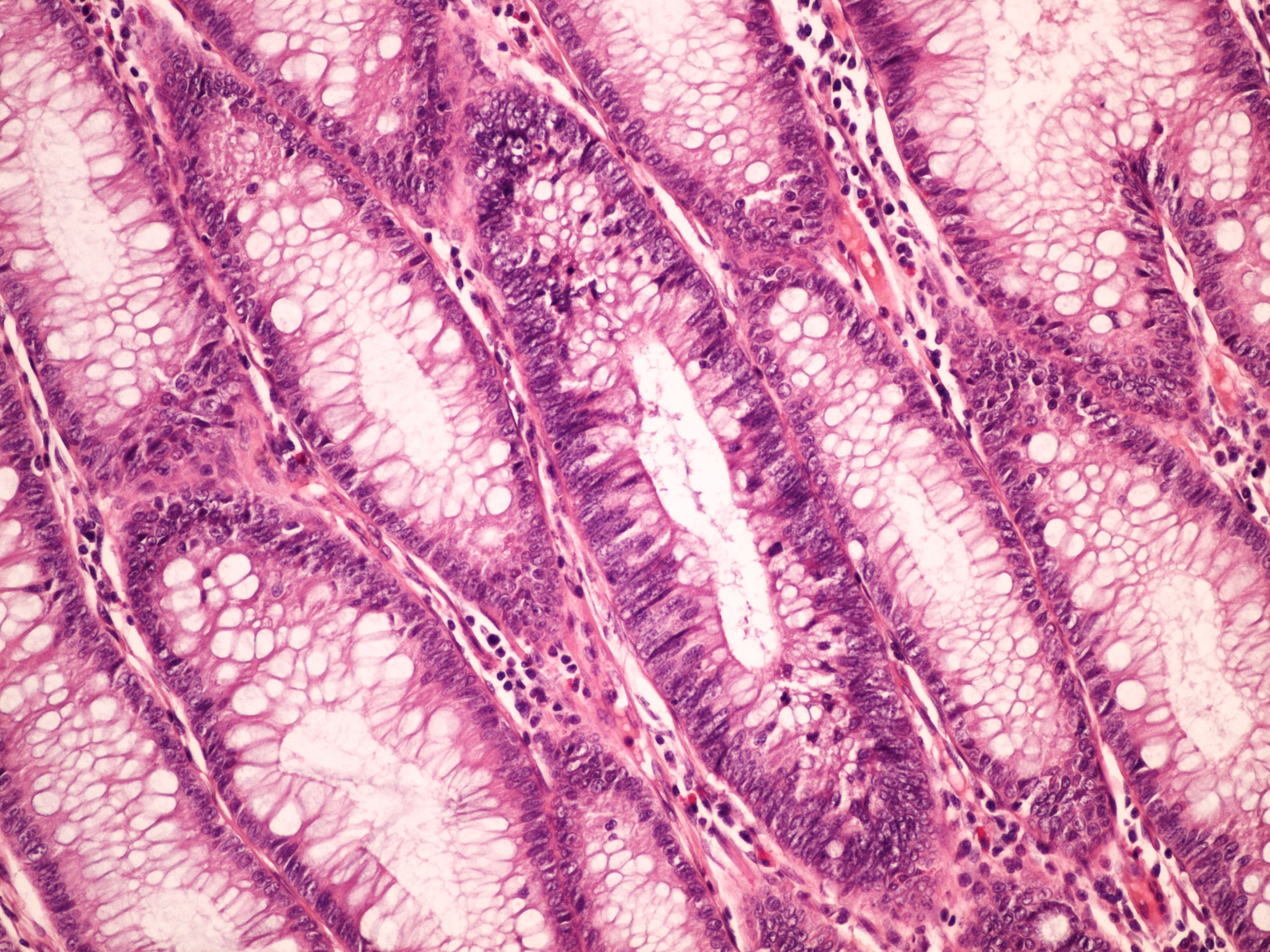
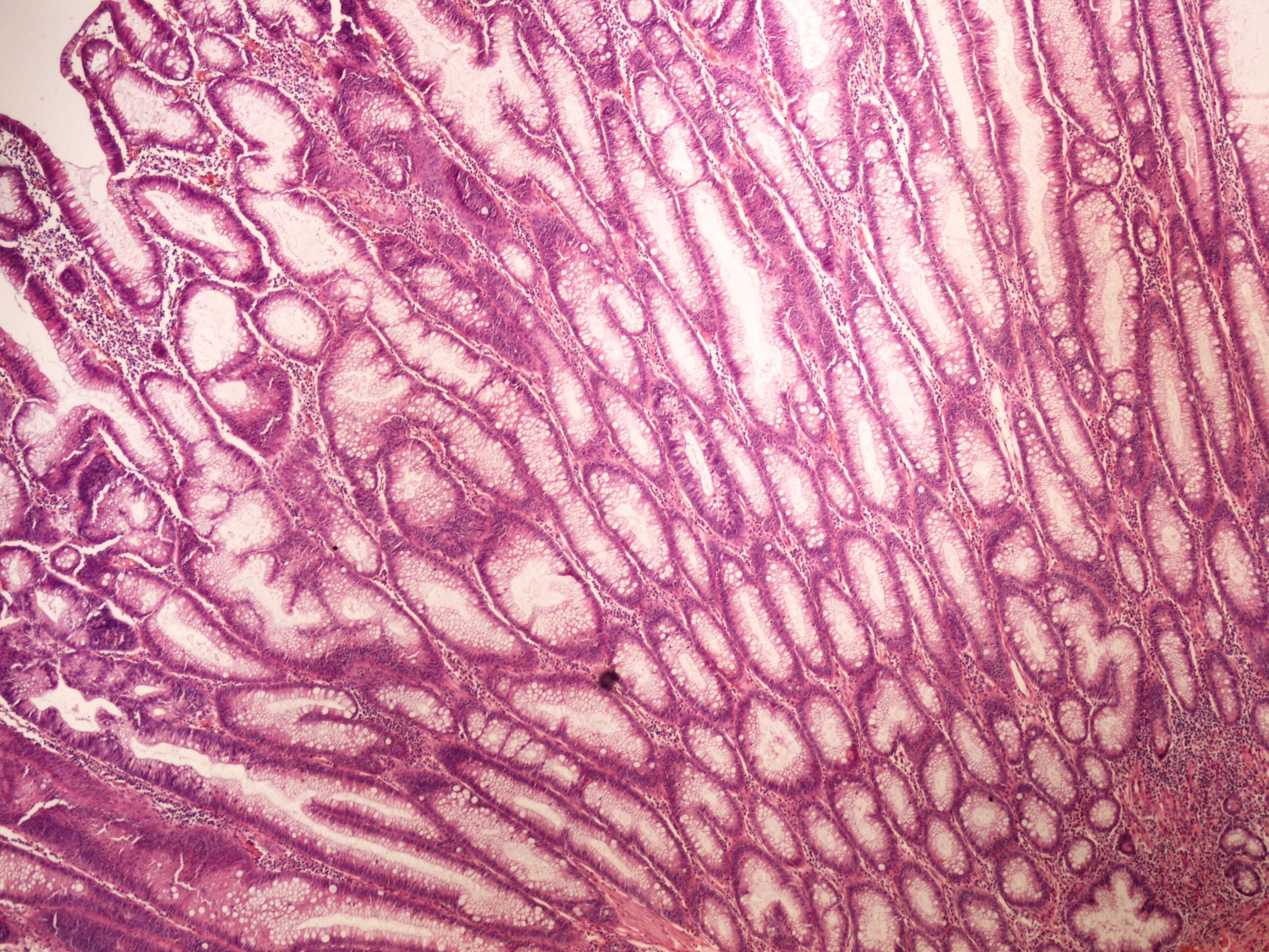
Preparát č.1 a č.2 - tubulovilósní adenom tlustého střeva
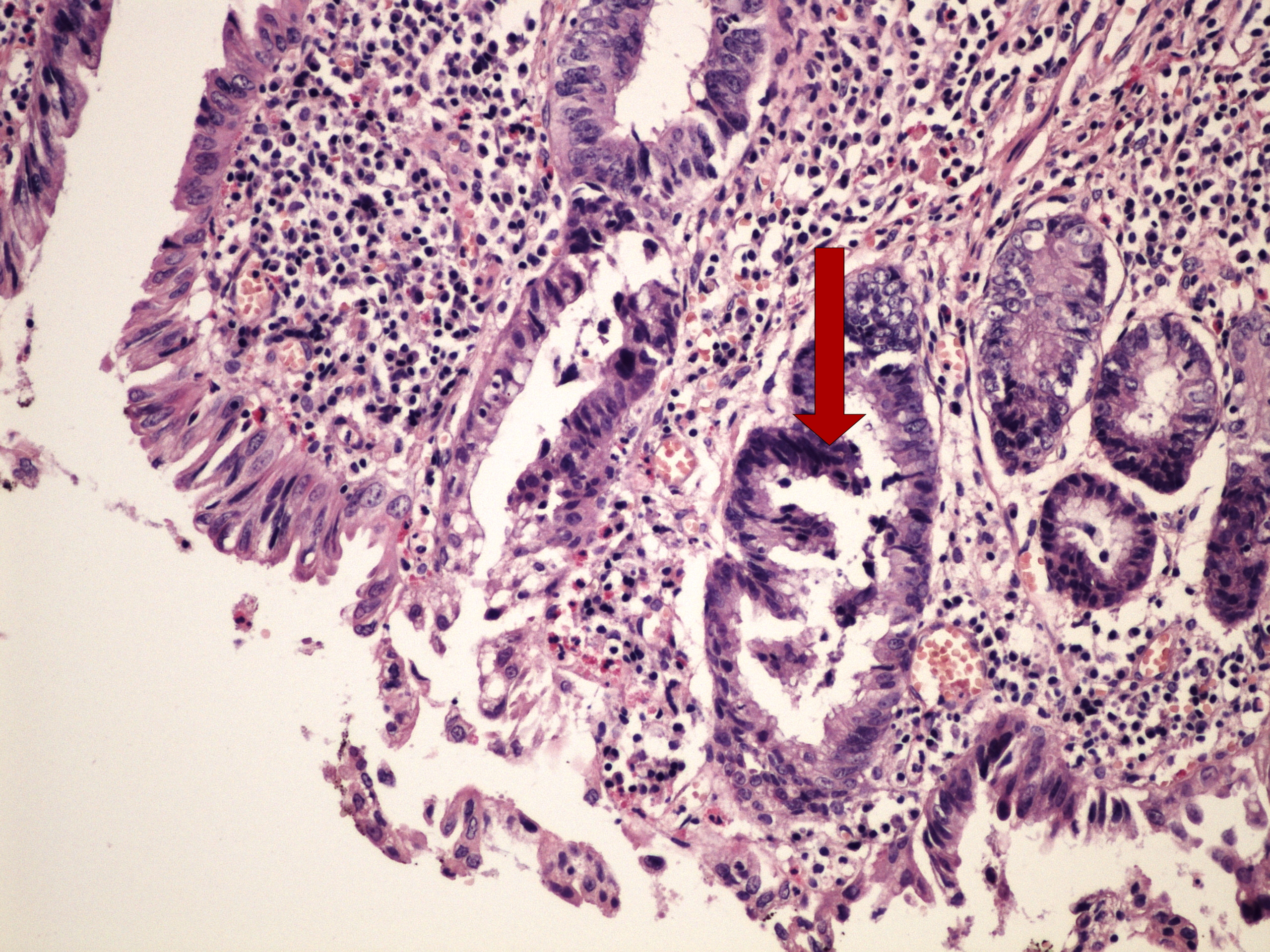
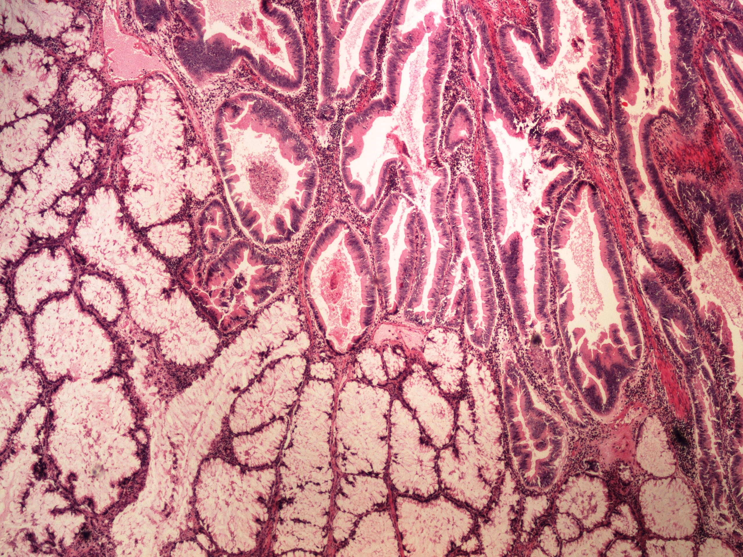
Preparát č.3 a č.4 - kancerisovaný adenom tlustého střeva
Struktury
- úseky těžké dysplazie výstelky
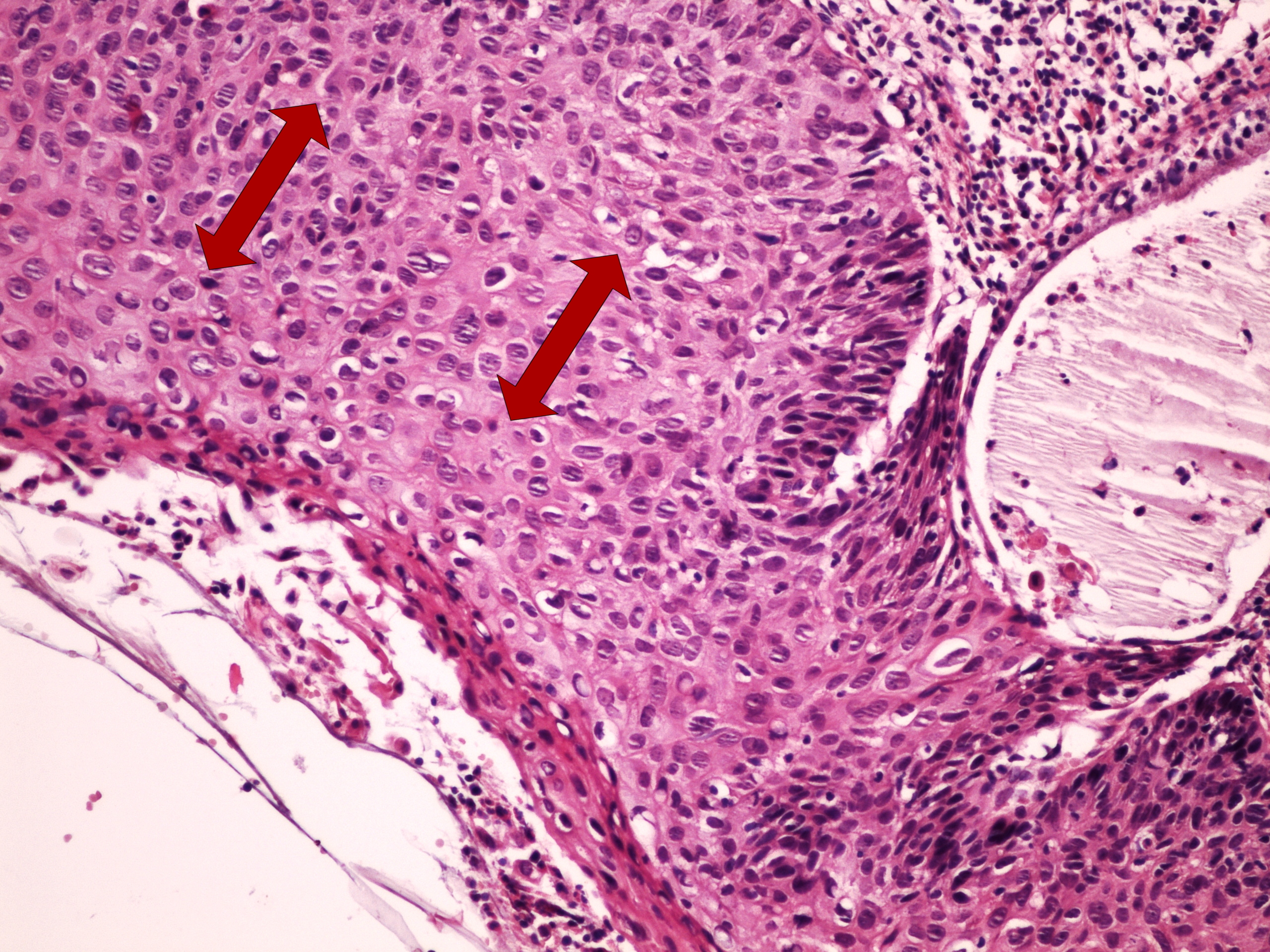
Preparát č.5 a č.6 - DALM
Struktury
- zánět
- dysplastické změny v detailu
Preparát č.7 a č.8 - leukoplakie
Struktury
- hyperkeratosa
- parakeratóza
- porucha vyzrávání
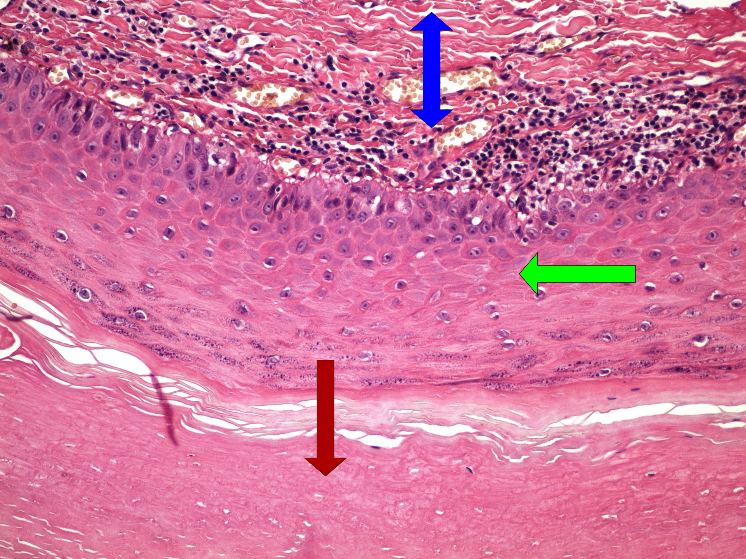
Preparát č.9 a č.10 - aktinická keratosa
Struktury
- hyperkeratosa
- solární degenerace vaziva škáry
- mírné atypie
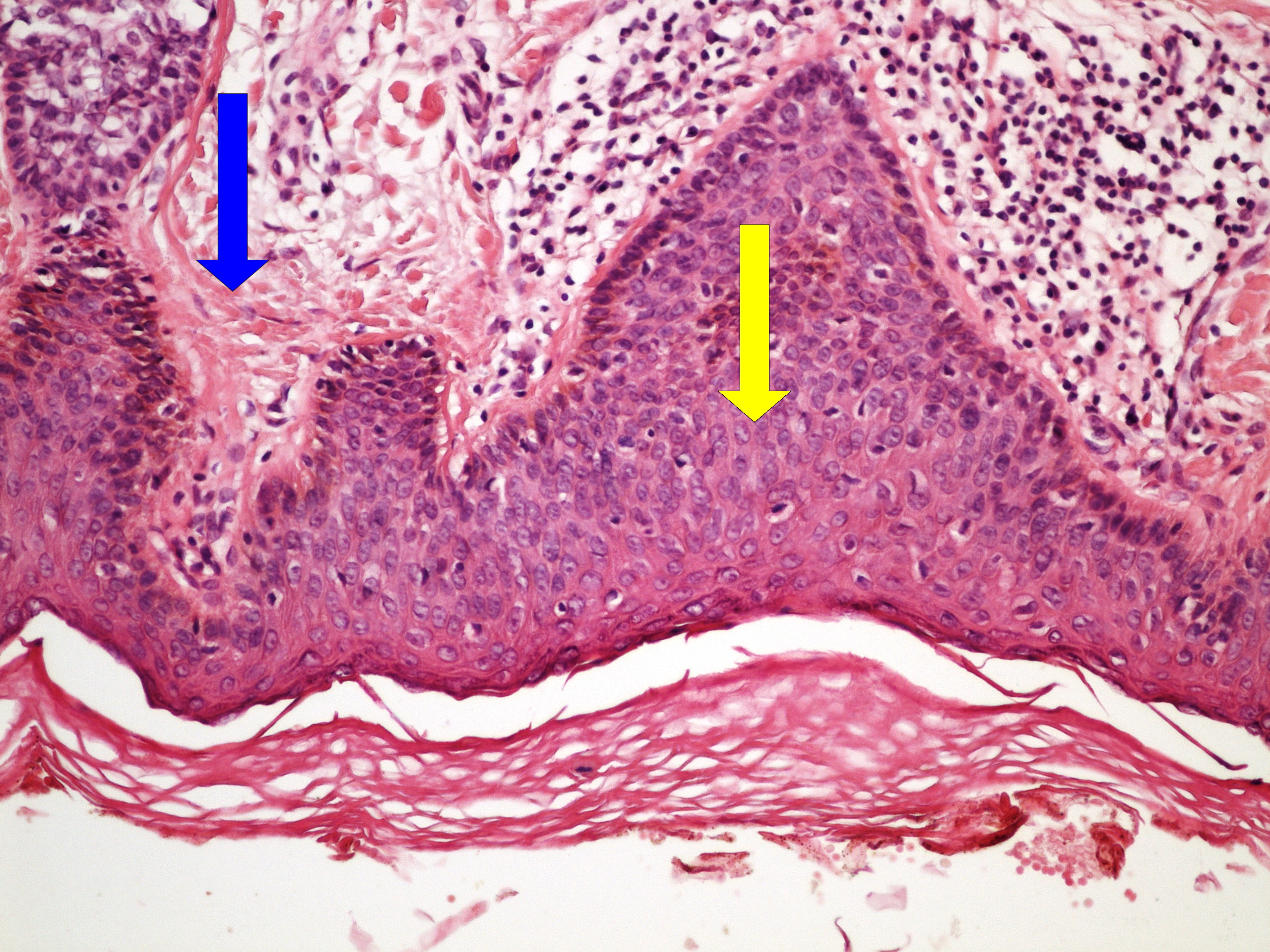
Preparát č.11 a č.12 - Bowenova dermatosa
Struktury
- zánětlivý infiltrát
- hyperparakeratosa a parakeratosa
- těžká dysplazie - ca in situ
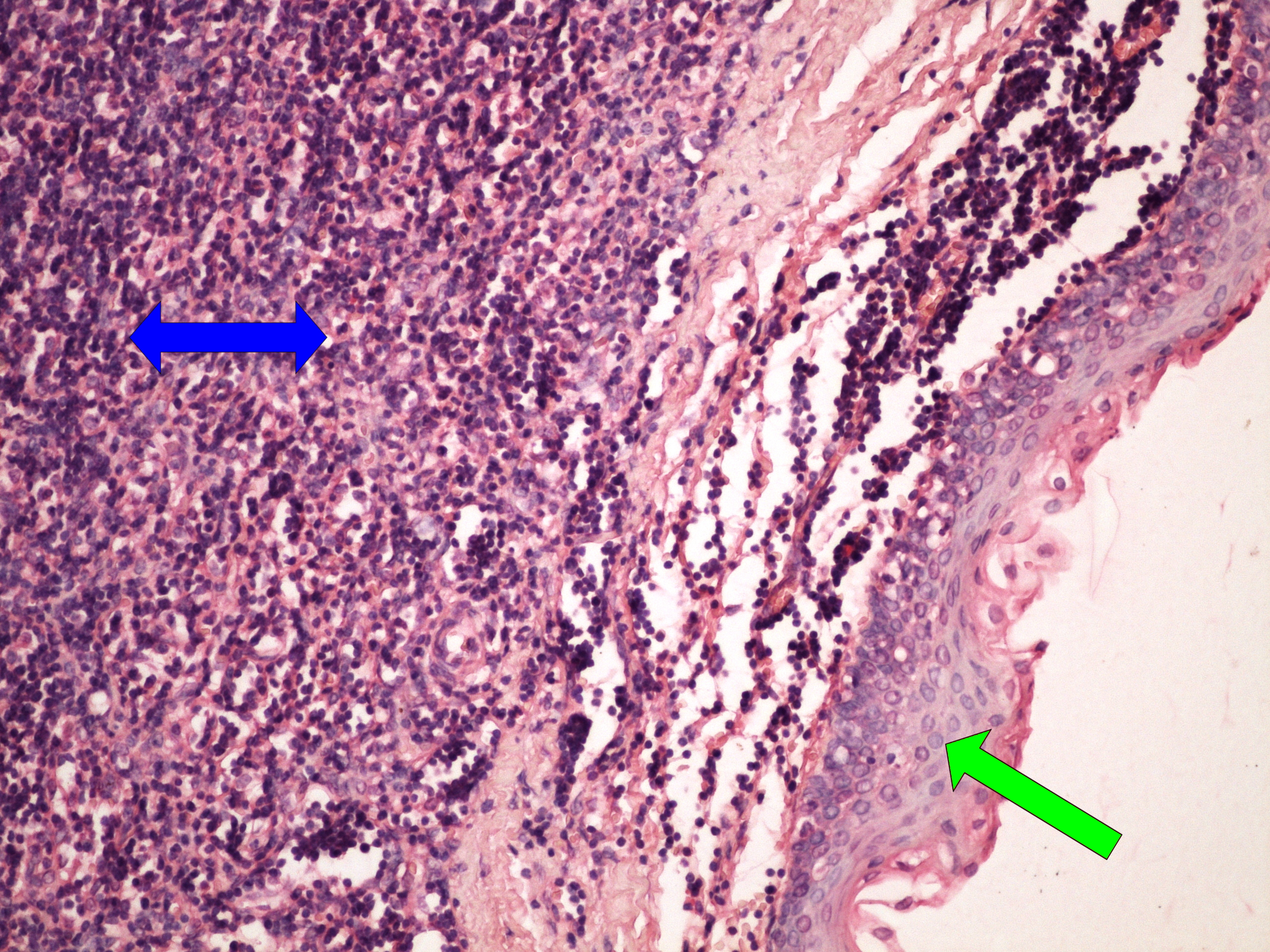
Preparát č.13 a č.14 - CIN
Struktury
- žlázka
- ložiska CIN bez invaze
- zánětlivé ložisko
- atypie v celé šíri epitelu
Preparát č.15 a č.16 - hyperplasie prostaty
Struktury
- stroma
- žlázky
- vrstva bazálních buněk (charakt. pro hyperplazii)
Preparát č.17 a č.18- epidermoidní cysta
Struktury
- vazivo
- dlaždicový epitel (stěna cysty)
- rohové hmoty
- lumen cysty
Preparát č.19 a č.20 - branchiogenní cysta
Struktury
- zánětlivý infiltrát
- dlaždicový epitel (stěna cysty)
- lumen cysty
- epitel bez atypií
Odkazy
Modul Obecné základy patologie a patofyziologie (3. LF UK)
