Wilmsův tumor
| Nefroblastom | |
| 8960/3 | |
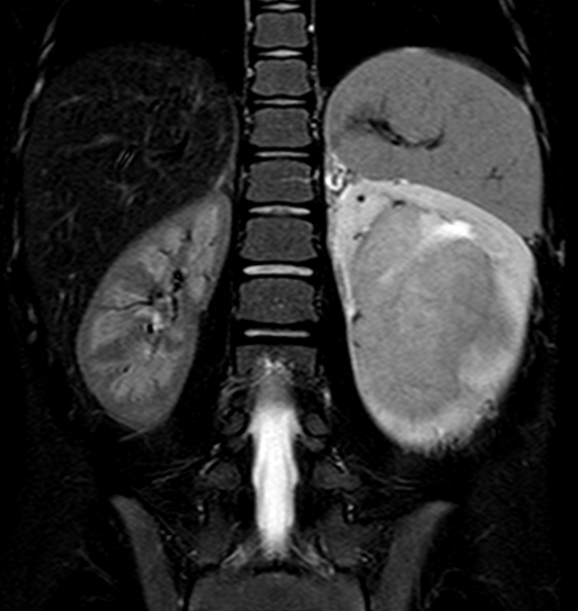
![]() MRI snímek zachycující nefroblastom levé ledviny u šestileté pacientky | |
| Lokalizace | ledvina |
|---|---|
| Incidence v ČR | 1:10000 |
| Prognóza | u lokalizovaných forem se daří vyléčit 90% dětí |
| Klíčová mutace | WT1 gen (11p13) |
| Součást syndromu | hematurie |
Wilmsův tumor neboli nefroblastom (WT, OMIM: 194070) je relativně častý solidní tumor dětského věku. Konkrétně jde o zhoubný nádor ledviny (unilaterální či bilaterální) charakterizovaný shluky buněk embryonálního nefrogenního blastému.
Tvoří asi 5–6 % nádorů dětského věku a jedná se o šestý nejčastější nádor u dětí. Typicky postihuje děti předškolního věku, maximum výskytu má mezi 2. a 3. rokem života. Asi v 7 % případů postihuje obě ledviny.[1][2]
Velmi často bývá sdružen s kongenitálními vadami. Patří sem vady urogenitálního traktu, aniridie, pseudohermafroditismus, makroglosie.
Etiopatogeneze[upravit | editovat zdroj]
Jen přibližně 1 % případů má hereditární příčinu, naprostá většina případů vzniká sporadicky. Hereditární forma je spojená především s mutací WT1 genu na 11. chromosomu (11p13). Vzácně se mohou uplatňovat i mutace dalších genů (WT2–WT5). WT1 tumor-supresorový gen kóduje transkripční faktor (typu zinc finger) zúčastněný v diferenciaci urogenitálního traktu. Hereditární syndrom se někdy vyskytuje v asociaci se sporadickou aniridií (chybění duhovky), někdy též v asociaci s neurofibromatózou typu 1, mutací BRCA1 genu či Bloomovým syndromem. Mezi vrozené syndromy, které mají vysoké riziko vzniku WT patří syndrom Beckwithův-Wiedemannův – hemihypertrofie končetin a Drashův. Děti s těmito syndromy musí být minimálně prvních 6 let života sledovány onkologem.[1][2]
Klinický obraz[upravit | editovat zdroj]
- Nejčastějším projevem je nebolestivá rezistence v břiše; rodiče si někdy mohou všimnout nárůstu obvodu bříška ("těsné kalhoty");
- nespecifické obtíže – nechutenství, zácpa, zvracení, teploty;
- asi u 20 % dětí je prvním projevem hematurie[2] nebo bolest břicha.
Metastazy[upravit | editovat zdroj]
- Hematogenní cestou – hlavně plíce, dále játra, mozek. Vzácně do kostí;
- Lymfogenně – do regionálních lymfatických uzlin (hilové, paraaortální).
Diagnostika[upravit | editovat zdroj]
- ultrazvukové vyšetření břicha;
- CT vyšetření břicha;
- RTG a CT plic k vyloučení metastáz;
- definitivní diagnóza je histologická (chirurgické řešení obvykle následuje až po chemoterapii)[2];
- hereditární formu je možné potvrdit cíleným molekulárně genetickým vyšetřením (v ČR je dostupné).
Léčba[upravit | editovat zdroj]
- Obvykle neoadjuvantní chemoterapie – 4 týdny;
- chirurgické odstranění celé ledviny s nádorem a regionálními uzlinami;
- chemoterapie – aktinomycin D, vinkristin, cyklofosfamid..;
- event. radioterapie[2];
- vysokodávková chemoterapie s následnou transplantací kostní dřeně – léčba recidiv po dosažení 2. nebo 3. remise.
Speciální přístup vyžaduje léčení bilaterálních nádorů:
- indikuje se nefrektomie více postižené ledviny a částečná nefrektomie na straně druhé;
- oboustranná nefrektomie s transplantací ledviny.
Prognóza[upravit | editovat zdroj]
- Daří se vyléčit 90 % dětí, pokud je nádor uvnitř ledviny;
- pokud je nádor oboustranně nebo rozšířen i mimo ledvinu, přežívá 60 % dětí.[2]
Souhrnné video[upravit | editovat zdroj]
Odkazy[upravit | editovat zdroj]
Související články[upravit | editovat zdroj]
Zdroj[upravit | editovat zdroj]
- ŠÍPEK, Antonín. Geneticky podmíněná nádorová onemocnění [online]. Poslední revize 8. 6. 2007, [cit. 4. 2. 2010]. <http://www.genetika-biologie.cz/hereditarni-nadorove-syndromy>.
Reference[upravit | editovat zdroj]
- ↑ a b KLEIBL, Zdeněk a Jan NOVOTNÝ. Hereditární nádorové syndromy. 1. vydání. Praha : Triton, 2003. 31 s. ISBN 80-7254-357-1.
- ↑ a b c d e f Klinika dětské onkologie FN Brno. Tumory ledvin - nefroblastom (Wilmsův nádor) [online]. [cit. 2011-01-02]. <https://www.fnbrno.cz/detska-nemocnice/klinika-detske-onkologie/informace-pro-pacienty/t2698>.


