Žaludek fundus (preparát)
Žaludek fundus B17[upravit | editovat zdroj]
Přehled[upravit | editovat zdroj]
Preparát 1[upravit | editovat zdroj]
Název: Žaludek fundus 50x H&E
Popis: Stěna žaludku je tvořena 4 vrstvami: sliznicí (lamina mucosa), podslizničním vazivem (lamina submucosa), svalovinou (lamina muscularis externa) a peritoneem (lamina serosa). Zde pouze sliznice, podslizniční vazivo a svalovina.
Preparát 2[upravit | editovat zdroj]
Název: Žaludek fundus PAS
Popis: Povrch žaludku (sliznice) je pokryt jednovrstevným cylindrickým epitelem, který produkuje mucin. Tyto buňky pokrývají nejen povrch ale i žaludeční jamky. Mucin na povrchu a v jamkách je v preparátu zbarven fuchsiově růžově. Pod žaludečními jamkami (foveolae gastricae) se nacházejí žaludeční žlázky, které do jamek ústí.
Preparát 3[upravit | editovat zdroj]
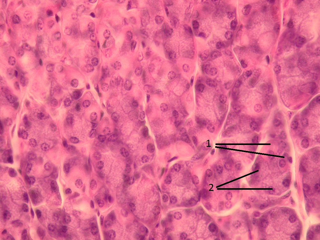
Název: Žaludek fundus - glandulae gastricae propriae
Popis: Žaludeční žlázky (glandulae gastriacae propriae) obsahují hlavní buňky, které produkují pepsinogen, krycí neboli parietální buňky produkující kyselinu solnou (HCl) a vnitřní faktor (pro resorpci vitamínu B12). Hlavní buňky jsou bazofilní (modré), parietální buňky mají červenou barvu a pyramidový tvar. Dalšími buňkami, které ale při barvení H&E nevidíme, jsou enteroendokrinní buňky a kmenové buňky. V oblasti krčku žlázky (při vyústění do jamky) nacházíme mucinosní buňky krčku.
Epitely[upravit | editovat zdroj]
Odkazy[upravit | editovat zdroj]
Modul Buněčné základy medicíny (3. LF)



