Uhlokopská pneumokonióza
| Uhlokopská pneumokonióza | |
| Coalworker's pneumoconiosis | |
![]() Makroskopický obraz antrakosilikózy | |
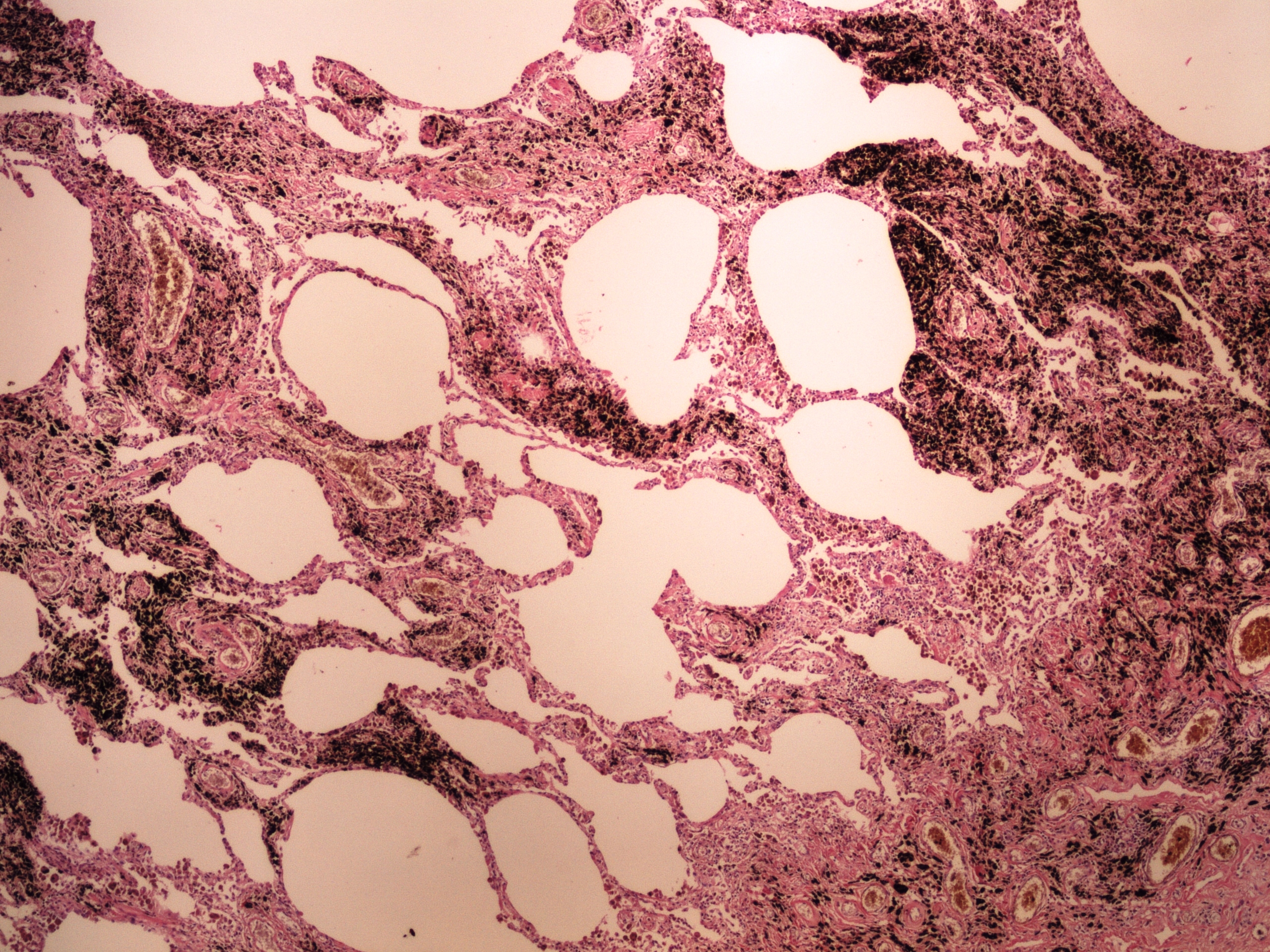
Mikroskopick obraz | |
| Rizikové faktory | expozice uhelnému prachu |
|---|---|
| Klasifikace a odkazy | |
| MKN | J60 |
| MeSH ID | [https://www.medvik.cz/bmc/link.do?id=D011009 D011009 D011009] |
| MedlinePlus | 000130 |
| Medscape | 297887 |
Uhlokopská pneumokonióza je profesionální onemocnění podmíněné dlouhodobou expozicí uhelnému prachu, který může obsahovat různou (obvykle ne příliš výraznou) příměs SiO2.
Etiopatogeneze a expozice[upravit | editovat zdroj]
Uhelný prach je za normálních okolností fagocytován makrofágy (ty se zbarví do černa a nazývají se pak koniofágy) a odstraňován ciliárním transportem nebo lymfou. Pokud se ovšem překročí kapacita těchto dvou posledně jmenovaných mechanismů, dojde k nadměrné fagocytóze a stimulaci zánětu, který může vést k fibrotickým změnám v plicích. Pokud je v uhelném prachu významnější obsah SiO2, dojde k aktivaci stejných mechanismů jako u silikózy a postižení plic se tak výrazně zhorší. Progredující onemocnění podobné silikóze vyvolá uhelný prach s obsahem SiO2 více než 15 %.
Profesionální expozice[upravit | editovat zdroj]
Ohroženi jsou především horníci zejména černouhelných hlubinných dolů (černé uhlí má větší podíl SiO2) při ručním ražení i při ražení kombajny. Onemocnění málokdy vzniká po kratší než dvacetileté expozici.
Patologický obraz[upravit | editovat zdroj]
Makroskopický[upravit | editovat zdroj]
- Typická je tetováž pleury, souběžná s průběhem žeber, pleura je jakoby mramorovaná, není ztluštělá,
- uzliny pouze mírně zvětšené.
Mikroskopický[upravit | editovat zdroj]
- Mezi iniciální změny patří cípatá makula (centriacinární nahromadění makrofágů s uhelným prachem), kolem které není nijak zvlášť velká fibrotizace, a proto není ani hmatatelná;
- perifokální emfyzém kolem makuly;
- v pokročilejších stádiích vznikají uzlíky (mají více kolagenu).
Vyšetřovací metody[upravit | editovat zdroj]
- Anamnéza – symptomy (kašel, dušnost), pracovní a sociální anamnéza,
- RTG plic,
- funkční vyšetření plic (spirometrie) - objevovat se budou obstrukční poruchy, případně poruchy kombinované (obstrukce+restrikce), RTG nález nemusí korelovat se spirometrií a se subjektivním popisem obtíží
- BAL – pokud potřebujeme průkaz anorganických částic.
Typy onemocnění[upravit | editovat zdroj]
Podobně jako silikóza se i uhlokopská pneumokonióza dělí na prostou a komplikovanou.
- Prostá uhlokopská pneumokonióza bývá asymptomatická, vyskytují se makuly a uzlíky do 10 mm.
- Komplikovaná uhlokopská pneumokonióza zahrnuje ve svém obraze kašel, námahovou a později i klidovou dušnost (podobá se silikóze). Mezi komplikace onemocnění patří CHOPN, tuberkulóza, nekróza ložiska (může se provalit do bronchu).
- Caplanův syndrom je koincidence uhlokopské pneumokoniózy s revmatoidní artritidou (revmatoidní faktor pozitivní).
Diferenciální diagnóza[upravit | editovat zdroj]
Často je velmi nesnadné odlišit toto onemocnění od silikózy (rozhoduje pracovní anamnéza), definitivní diagnózu odhalí až pitva a rozbor prachu. Dále ostatní diseminované plicní procesy jako sarkoidóza a tuberkulóza.
Terapie[upravit | editovat zdroj]
Kauzální léčba neexistuje, k dispozici je pouze symptomatická:
- bronchodilatancia při obstrukční dušnosti,
- oxygenoterapie,
- antibiotika při léčbě infektů,
- transplantace plic.
Posouzení profesionality[upravit | editovat zdroj]
- Hodnocení rtg dle Mezinárodní klasifikace pneumokonióz ILO (International Labour Organization),
- označení uzlíků – „p“ (do 1,5 mm), „q“ (1,5–3 mm), „r“ (3–10 mm),
- označení uzlů – „A“ (jedno ložisko 10–50 mm, nebo více ložisek nad 10 mm, jejichž součet není nad 50), „B“ (víc než A, celkově nepřesahující pravé horní plicní pole), „C“ (přesahuje ekvivalent horního pravého pole),
- označení četnosti – 1, 2, 3
- za nemoc z povolání považujeme p3, q2, q3, r2, r3 a všechny komplikované (A, B, C), ve spojení s tuberkulózou stačí "jedničky" (p1, q1, r1 a výše), dále popisujeme tzv. dynamickou formu, která se vyskytuje u jedinců mladších 40 let, kteří nepřesáhli 15 let (3000) směn v riziku expozice a přesto se u nich nachází minimálně p2, q1, r1 a výše.
Odkazy[upravit | editovat zdroj]
Související články[upravit | editovat zdroj]
Zdroj[upravit | editovat zdroj]
- BENEŠ, Jiří. Studijní materiály [online]. [cit. 24.02.2010]. <http://jirben.wz.cz>.
Použitá literatura[upravit | editovat zdroj]
- PELCLOVÁ, Daniela. Nemoci z povolání a intoxikace. 2. vydání. Praha : Karolinum, 2006. 207 s. ISBN 80-246-1183-X.
- ČEŠKA, Richard, et al. Interna. 1. vydání. Praha : Triton, 2010. 855 s. s. 494-495. ISBN 978-80-7387-423-0.


